Wikipedia

Sinoatrial nodal artery

Also found in: Medical.
(redirected from Sinuatrial nodal artery)
Sinoatrial nodal artery
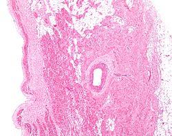
Sinoatrial node 2 low mag.jpg
Low magnification micrograph of a sinoatrial node (central on image), surrounding the sinuatrial nodal artery (on lumen in the image). H&E stain.
Cardiac vessels.png
Details
Identifiers
LatinRamus nodi sinuatrialis arteriae coronariae dextrae
TA98A12.2.03.104
A12.2.03.212
TA24133
FMA3823
Anatomical terminology

The sinoatrial nodal artery (or sinuatrial nodal artery or sinoatrial artery) is an artery of the heart which supplies the sinoatrial node, the natural pacemaker center of the heart, and arises from the right coronary artery in around 60% of people. In about 40% of cases, the sinoatrial artery is a branch of the left circumflex coronary artery.[1] In less than 1% of humans, the artery has an anomalous origin directly from the coronary sinus, descending aorta, or distal right coronary artery.

In more than 50% of human hearts, the artery actually courses close to the superior posterior aspect of the interatrial septum.[2] The origin of the sinoatrial node artery is not related to coronary artery dominance, which means the side (right or left) that provides the circulation to the back of the heart. In contrast, the atrioventricular nodal branch, that is the artery that brings blood to the atrioventricular node, depends on coronary artery dominance.

The sinoatrial node surrounds the sinoatrial artery, which can run centrally (in 70% of individuals) or off-center within the node.[3]

A left S-shaped sinoatrial artery, originating from the proximal left circumflex or LCx artery, has been described as a common variant in approximately 10% of human hearts.[4] This artery is larger than normal and supplies a good part of the left atrium, but also right-sided structures like part of the sinoatrial node and the atrioventricular nodal areas. In this variant, the artery courses in the sulcus between the left superior pulmonary vein and the left atrial appendage where it could be susceptible to injury during catheter or surgical ablation procedures on the left atrium, especially for atrial fibrillation ablation or open-heart cardiac surgery.

Additional images

References

  1. ^ Pejković, B; Krajnc, I; et al. (July 2008). "Anatomical Aspects of the Arterial Blood Supply to the Sinoatrial and Atrioventricular Nodes of the Human Heart". Journal of International Medical Research. 36 (4): 691–698. doi:10.1177/147323000803600410.
  2. ^ Click, Roger L.; Holmes, David R.; et al. (March 1989). "Anomalous coronary arteries: location, degree of atherosclerosis and effect on survival—a report from the coronary artery surgery study". Journal of the American College of Cardiology. 13 (3): 531–537. doi:10.1016/0735-1097(89)90588-3.
  3. ^ Sánchez-Quintana, D.; Anderson, R. H.; et al. (1 October 2002). "The terminal crest: morphological features relevant to electrophysiology". Heart. 88 (4): 406–411. doi:10.1136/heart.88.4.406.
  4. ^ Saremi, Farhood; Channual, Stephanie; et al. (June 2008). "MDCT of the S-Shaped Sinoatrial Node Artery". American Journal of Roentgenology. 190 (6): 1569–1575. doi:10.2214/AJR.07.3127.
This article is copied from an article on Wikipedia® - the free encyclopedia created and edited by its online user community. The text was not checked or edited by anyone on our staff. Although the vast majority of Wikipedia® encyclopedia articles provide accurate and timely information, please do not assume the accuracy of any particular article. This article is distributed under the terms of GNU Free Documentation License.

Copyright © 2003-2025 Farlex, Inc Disclaimer
All content on this website, including dictionary, thesaurus, literature, geography, and other reference data is for informational purposes only. This information should not be considered complete, up to date, and is not intended to be used in place of a visit, consultation, or advice of a legal, medical, or any other professional.