Wikipedia

PP cell

Also found in: Dictionary, Medical, Legal, Financial, Encyclopedia.
PP cell
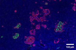
PP cells in Pancreatic Islet.png
PP cells (red), alpha cells (white) and beta cells (green) in PP cell rich area of Pancreatic Islet.
Details
LocationIslets of Langerhans of pancreas
FunctionPancreatic polypeptide production
Identifiers
THH3.04.02.0.00035
Anatomical terms of microanatomy

Pancreatic polypeptide cells (PP cells), or formerly as gamma cells, or F cells, are cells in the pancreatic islets (Islets of Langerhans) of the pancreas. The produce pancreatic polypeptide, after which they are named. They are very few in number and are polygonal in shape.

Structure

PP cells tend to located in the pancreatic islets, and are one of the rarer pancreatic cell types.[1] Some small clusters may also be found surrounded by exocrine pancreas.[2] They tend to be located in the duodenal part of the pancreas more medially.[2] They are polygonal in shape.[1]

PP cells have few granules.[3] They also have very few organelles.

Other animals

In cats and dogs, PP cells have large granules.[3] In rats, PP cells have few granules, similar to humans.

In dogs, some PP cells are located in the walls of the antrum of the stomach.[2]

See also

  • List of human cell types derived from the germ layers

References

  1. ^ a b Kerr, Jeffrey B. (2000). Atlas of functional histology. London: Harcourt Publishers. ISBN 0-7234-3072-1. OCLC 40347416.
  2. ^ a b c Kono, Tetsuya; Wang, Xiao-Ping; Fisher, William E.; Andersen, Dana K.; Brunicardi, F. Charles (2004-01-01), Martini, Luciano (ed.), "Pancreatic Polypeptide (PP)", Encyclopedia of Endocrine Diseases, New York: Elsevier, pp. 488–496, doi:10.1016/b0-12-475570-4/01055-6, ISBN 978-0-12-475570-3, retrieved 2021-02-03
  3. ^ a b Larsson, Lars-Inge (2004-01-01), Martini, Luciano (ed.), "GI Hormones and Endocrine Pancreas: Expressional Regulation", Encyclopedia of Endocrine Diseases, New York: Elsevier, pp. 173–176, ISBN 978-0-12-475570-3, retrieved 2021-02-03

External links

  • Media related to PP cell at Wikimedia Commons


This article is copied from an article on Wikipedia® - the free encyclopedia created and edited by its online user community. The text was not checked or edited by anyone on our staff. Although the vast majority of Wikipedia® encyclopedia articles provide accurate and timely information, please do not assume the accuracy of any particular article. This article is distributed under the terms of GNU Free Documentation License.

Copyright © 2003-2025 Farlex, Inc Disclaimer
All content on this website, including dictionary, thesaurus, literature, geography, and other reference data is for informational purposes only. This information should not be considered complete, up to date, and is not intended to be used in place of a visit, consultation, or advice of a legal, medical, or any other professional.