Opportunistic infection | |
---|---|
![]() | |
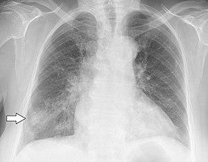
Chest X-ray of a patient who first had influenza and then developed Haemophilus influenzae pneumonia, presumably opportunistic | |
Specialty | Infectious disease ![]() |
An opportunistic infection is an infection caused by pathogens (bacteria, viruses, fungi, or protozoa) that take advantage of an opportunity not normally available, such as a host with a weakened immune system, an altered microbiota (such as a disrupted gut microbiota), or breached integumentary barriers. Many of these pathogens do not cause disease in a healthy host that has a normal immune system. However, a compromised immune system, which is seriously debilitated and has lowered resistance to infection, a penetrating injury, or a lack of competition from normal commensals presents an opportunity for the pathogen to infect.
Types of infections
A partial listing of opportunistic organisms includes:
- Aspergillus sp.
- Candida albicans
- Clostridium difficile
- Coccidioides immitis
- Cryptococcus neoformans
- Cryptosporidium
- Cytomegalovirus
- Geomyces destructans (bats)
- Histoplasma capsulatum
- Isospora belli
- Polyomavirus JC polyomavirus, the virus that causes Progressive multifocal leukoencephalopathy.
- Kaposi's Sarcoma caused by Human herpesvirus 8 (HHV8), also called Kaposi's sarcoma-associated herpesvirus (KSHV)
- Legionnaires' Disease (Legionella pneumophila)
- Microsporidium
- Mycobacterium avium complex (MAC) (Nontuberculosis Mycobacterium)
- Mycobacterium tuberculosis
- Pneumocystis jirovecii, previously known as Pneumocystis carinii f. hominis
- Pseudomonas aeruginosa
- Salmonella
- Staphylococcus aureus
- Streptococcus pneumoniae
- Streptococcus pyogenes
- Toxoplasma gondii
Causes
Immunodeficiency or immunosuppression can be caused by:
- Malnutrition
- Fatigue
- Recurrent infections
- Immunosuppressing agents for organ transplant recipients
- Advanced HIV infection
- Chemotherapy for cancer
- Genetic predisposition
- Skin damage
- Antibiotic treatment leading to disruption of the physiological microbiome, thus allowing some microorganisms to outcompete others and become pathogenic (e.g. disruption of intestinal microbiota may lead to Clostridium difficile infection)
- Medical procedures
- Pregnancy
- Aging
- Leukopenia (i.e. neutropenia and lymphocytopenia)
- Burns
The lack of or the disruption of normal vaginal microbiota allows the proliferation of opportunistic microorganisms and will cause the opportunistic infection - bacterial vaginosis.[1][2][3][4]
Prevention
Since opportunistic infections can cause severe disease, much emphasis is placed on measures to prevent infection. Such a strategy usually includes restoration of the immune system as soon as possible, avoiding exposures to infectious agents, and using antimicrobial medications ("prophylactic medications") directed against specific infections.[5]
Restoration of immune system
- In patients with HIV, starting antiretroviral therapy is especially important for restoration of the immune system and reducing the incidence rate of opportunistic infections[6][7]
- In patients undergoing chemotherapy, completion of and recovery from treatment is the primary method for immune system restoration. In a select subset of high risk patients, granulocyte colony stimulating factors (G-CSF) can be used to aid immune system recovery.[8][9]
Avoidance of infectious exposure
The following may be avoided as a preventative measure to reduce risk of infection:
- Eating undercooked meat or eggs, unpasteurized dairy products or juices
- Potential sources of tuberculosis (high risk healthcare facilities, regions with high rates of tuberculosis, patients with known tuberculosis)
- Any oral exposure to feces.[10]
- Contact with farm animals, especially those with diarrhea: source of Toxoplasma gondii, Cryptosporidium parvum
- Cat feces (e.g. cat litter): source of Toxoplasma gondii, Bartonella spp.
- Soil/dust in areas where there is known histoplasmosis, coccidiomycosis
- Reptiles, chicks, and ducklings that are a common source of Salmonella.
- Unprotected sexual intercourse with individuals with known sexually transmitted infections.
Prophylactic medications
Individuals at higher risk are often prescribed prophylactic medication to prevent an infection from occurring. A patient's risk level for developing an opportunistic infection is approximated using the patient's CD4 T-cell count and sometimes other markers of susceptibility. Common prophylaxis treatments include the following:[10]
Infection | When to Give Prophylaxis | Agent |
---|---|---|
Pneumocystis jirovecii | CD4 < 200 cells/mm3 or oropharyngeal candidasis (thrush) | TMP-SMX |
Toxoplasma gondii | CD4 < 100 cells/mm3 and positive Toxoplasma gondii IgG immunoassay | TMP-SMX |
Mycobacterium avium complex | CD4 < 50 | Azithromycin |
Treatment
Treatment depends on the type of opportunistic infection, but usually involves different antibiotics.
Veterinary treatment
Opportunistic infections caused by feline leukemia virus and feline immunodeficiency virus retroviral infections can be treated with lymphocyte T-cell immunomodulator.
References
- ^ Africa, Charlene; Nel, Janske; Stemmet, Megan (2014). "Anaerobes and Bacterial Vaginosis in Pregnancy: Virulence Factors Contributing to Vaginal Colonisation". International Journal of Environmental Research and Public Health. 11 (7): 6979–7000. doi:10.3390/ijerph110706979. ISSN 1660-4601. PMC 4113856. PMID 25014248.
- ^ Mastromarino, Paola; Vitali, Beatrice; Mosca, Luciana (2013). "Bacterial vaginosis: a review on clinical trials with probiotics" (PDF). New Microbiologica. 36 (3): 229–238. PMID 23912864.
- ^ Mastromarino, Paola; Vitali, Beatrice; Mosca, Luciana (2013). "Bacterial vaginosis: a review on clinical trials with probiotics" (PDF). New Microbiologica. 36 (3): 229–238. PMID 23912864.
- ^ Knoester, M.; Lashley, L. E. E. L. O.; Wessels, E.; Oepkes, D.; Kuijper, E. J. (2011). "First Report of Atopobium vaginae Bacteremia with Fetal Loss after Chorionic Villus Sampling". Journal of Clinical Microbiology. 49 (4): 1684–1686. doi:10.1128/JCM.01655-10. ISSN 0095-1137. PMC 3122803. PMID 21289141.
- ^ David Schlossberg (2015-04-23). Clinical Infectious Disease. Cambridge University Press. pp. 688–. ISBN 978-1-107-03891-2.
- ^ Ledergerber, B.; Egger, M.; Erard, V.; Weber, R.; Hirschel, B.; Furrer, H.; Battegay, M.; Vernazza, P.; Bernasconi, E. (Dec 15, 1999). "AIDS-related opportunistic illnesses occurring after initiation of potent antiretroviral therapy: the Swiss HIV Cohort Study". JAMA. 282 (23): 2220–2226. doi:10.1001/jama.282.23.2220. ISSN 0098-7484. PMID 10605973. Retrieved 2015-05-09.
- ^ Brooks, John T.; Kaplan, Jonathan E.; Holmes, King K.; Benson, Constance; Pau, Alice; Masur, Henry (Mar 1, 2009). "HIV-associated opportunistic infections--going, going, but not gone: the continued need for prevention and treatment guidelines". Clinical Infectious Diseases. 48 (5): 609–611. doi:10.1086/596756. ISSN 1537-6591. PMID 19191648. Retrieved 2015-05-09.
- ^ Freifeld, Alison G.; Bow, Eric J.; Sepkowitz, Kent A.; Boeckh, Michael J.; Ito, James I.; Mullen, Craig A.; Raad, Issam I.; Rolston, Kenneth V.; Young, Jo-Anne H. (Feb 15, 2011). "Clinical practice guideline for the use of antimicrobial agents in neutropenic patients with cancer: 2010 update by the infectious diseases society of america". Clinical Infectious Diseases. 52 (4): e56–93. doi:10.1093/cid/cir073. ISSN 1537-6591. PMID 21258094. Retrieved 2015-05-09.
- ^ Smith, Thomas J.; Khatcheressian, James; Lyman, Gary H.; Ozer, Howard; Armitage, James O.; Balducci, Lodovico; Bennett, Charles L.; Cantor, Scott B.; Crawford, Jeffrey (Jul 1, 2006). "2006 update of recommendations for the use of white blood cell growth factors: an evidence-based clinical practice guideline". Journal of Clinical Oncology. 24 (19): 3187–3205. doi:10.1200/JCO.2006.06.4451. ISSN 1527-7755. PMID 16682719. Retrieved 2015-05-09.
- ^ a b "Guidelines for the prevention and treatment of opportunistic infections in adults and adolescents with HIV: recommendations from the Centers for Disease Control and Prevention, the National Institutes of Health, and the HIV Medicine Association of the Infectious Diseases Society of America" (PDF). 26 May 2020. Retrieved 28 November 2020.
External links
Classification |
---|