Wikipedia

Large cell

Also found in: Dictionary, Medical.
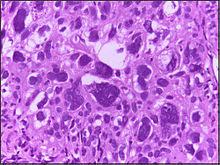
Micrograph showing large cells. H&E stain.

Large cell is a term used in oncology. It does not refer to a particular type of cell; rather it refers to cells that are larger than would be normally expected for that type. It is frequently used when describing lymphoma and lung cancer.

It was more frequently used in the past than it is used today, when doctors often could tell little about a cell other than its size, and it was used for classification systems such as the "Working Formulation" for lymphoma. As such, the term lives on in the names of many conditions, even when the size of the cell is no longer one of the most important diagnostic criteria.

The phrase giant cell is also frequently used, especially with carcinoma.

Giant cell tumors include giant-cell tumor of bone and giant-cell tumor of the tendon sheath.[1]

See also

  • Anaplastic large-cell lymphoma
  • Buttock cell
  • Nosology

References

  1. ^ Giant+Cell+Tumors at the US National Library of Medicine Medical Subject Headings (MeSH)

External links


This article is copied from an article on Wikipedia® - the free encyclopedia created and edited by its online user community. The text was not checked or edited by anyone on our staff. Although the vast majority of Wikipedia® encyclopedia articles provide accurate and timely information, please do not assume the accuracy of any particular article. This article is distributed under the terms of GNU Free Documentation License.

Copyright © 2003-2025 Farlex, Inc Disclaimer
All content on this website, including dictionary, thesaurus, literature, geography, and other reference data is for informational purposes only. This information should not be considered complete, up to date, and is not intended to be used in place of a visit, consultation, or advice of a legal, medical, or any other professional.