Wikipedia

Langhans giant cell

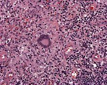
Granulation tissue with a poorly formed granuloma to the left of centre. Within this area there is a multinucleate giant cell of the Langhans type. The patient had a healing mycobacterial infection of the skin (M. ulcerans infection).

Langhans giant cells are large cells found in granulomatous conditions.

They are formed by the fusion of epithelioid cells (macrophages), and contain nuclei arranged in a horseshoe-shaped pattern in the cell periphery.[1]

Although traditionally their presence was associated with tuberculosis, they are not specific for tuberculosis or even for mycobacterial disease. In fact, they are found in nearly every form of granulomatous disease, regardless of etiology.

Terminology

Langhans giant cells are named after Theodor Langhans (1839–1915), a German pathologist.[2]

They should not be confused with Langerhans cells, which are mononuclear epidermal dendritic cells derived (like Langhans cells) from monocytes and named after Paul Langerhans. (The islets of Langerhans are also named after Paul Langerhans.)

Causes

In 2012, a research paper showed that when activated CD4+ T cells and monocytes are in close contact, interaction of CD40-CD40L between these two cells and subsequent IFNγ secretion by the T cells causes upregulation and secretion of fusion-related molecule DC-STAMP (dendritic cell-specific transmembrane protein) by the monocytes, which results in LGC formation.[3]

Clinical significance

Langhans giant cells are often found in transbronchial lung biopsies or lymph node biopsies in patients suffering from sarcoidosis.[4]

References

  1. ^ "Pulmonary Pathology". Retrieved 2008-11-21.
  2. ^ Pritchard J, Foley P, Wong H (September 2003). "Langerhans and Langhans: what's misleading in a name?". Lancet. 362 (9387): 922. doi:10.1016/S0140-6736(03)14323-1. PMID 13678997.
  3. ^ Sakai H, Okafuji I, Nishikomori R, et al. (January 2012). "The CD40-CD40L axis and IFN-γ play critical roles in Langhans giant cell formation". Int. Immunol. 24 (1): 5–15. doi:10.1093/intimm/dxr088. PMID 22058328.
  4. ^ Sam, Amir H.; James T.H. Teo (2010). Rapid Medicine. Wiley-Blackwell. ISBN 1405183233.

External links

This article is copied from an article on Wikipedia® - the free encyclopedia created and edited by its online user community. The text was not checked or edited by anyone on our staff. Although the vast majority of Wikipedia® encyclopedia articles provide accurate and timely information, please do not assume the accuracy of any particular article. This article is distributed under the terms of GNU Free Documentation License.

Copyright © 2003-2025 Farlex, Inc Disclaimer
All content on this website, including dictionary, thesaurus, literature, geography, and other reference data is for informational purposes only. This information should not be considered complete, up to date, and is not intended to be used in place of a visit, consultation, or advice of a legal, medical, or any other professional.