Wikipedia

Ignicoccus

Ignicoccus
Urzwerg.jpg
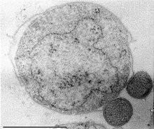
Ignicoccus hospitalis (with two smaller, symbiotic Nanoarchaeum equitans)
Scientific classification
Domain:
Kingdom:
Phylum:
Class:
Order:
Family:
Genus:
Ignicoccus

Huber, Burggraf, Mayer, Wyschkony, Rachel & Stetter, 2000
Species
  • I. islandicus
  • I. pacificus
  • I. hospitalis

Ignicoccus is a genus of Archaea living in marine hydrothermal vents. They were discovered in Kolbeinsey Ridge north of Iceland and in the Pacific Ocean (at 9 degrees N, 104 degrees W) in 2000 (Huber et al., 2000).

Systematics

According to the comparisons of 16S rRNA genes, Ignicoccus represents a new, deeply branching lineage within the family of the Desulfurococcaceae (Huber et al., 2002). Three species are known, I. islandicus, I. pacificus and I. hospitalis strain KIN4I.

Cell structure

The archaea of the genus Ignicoccus have tiny coccoid cells with a diameter of about 2 µm, that exhibit a smooth surface, an outer membrane and no S-layer.

They have a previously unknown cell envelope structure—a cytoplasmic membrane, a periplasmic space (with a variable width of 20 to 400 nm, containing membrane-bound vesicles), and an outer membrane (approximately 10 nm wide, resembling the outer membrane of gram-negative bacteria). The latter contains numerous tightly, irregularly packed single particles (about 8 nm in diameter) and pores with a diameter of 24 nm, surrounded by tiny particles, arranged in a ring (with a diameter of 130 nm) and clusters of up to eight particles (each particle 12 nm in diameter) (Rachel et al. 2002).

The two layers of membrane previously reported is actually a type of endomembrane system consisting of cytoplasmic protutions. In I. hospitalis, these structures harbor the endosymbiotic archaeon Nanoarchaeum equitans.[1]

Physiology

Ignicocci live in a temperature range of 70–98 °C (optimum around 90 °C). They gain energy by reduction of elemental sulfur to hydrogen sulfide using molecular hydrogen as the electron donor (Huber et al., 2002). A unique symbiosis with (or parasitism by) Nanoarchaeum equitans has also been reported (Huber et al., 2002).

References

  1. ^ Heimerl T, Flechsler J, Pickl C, Heinz V, Salecker B, Zweck J, Wanner G, Geimer S, Samson RY, Bell SD, Huber H, Wirth R, Wurch L, Podar M, Rachel R (13 June 2017). "A Complex Endomembrane System in the Archaeon Ignicoccus hospitalis Tapped by Nanoarchaeum equitans". Frontiers in Microbiology. 8: 1072. doi:10.3389/fmicb.2017.01072. PMC 5468417. PMID 28659892.

Further reading

  • Huber, Harald; Kueper, Ulf; Daxer, Stefanie; Rachel, Reinhard (August 2012). "The unusual cell biology of the hyperthermophilic Crenarchaeon Ignicoccus hospitalis". Antonie van Leeuwenhoek. 102 (2): 203–219. doi:10.1007/s10482-012-9748-5. PMID 22653377. S2CID 7732441.
  • Nass, Bastian; Poll, Uwe; Langer, Julian David; Kreuter, Lydia; Kuper, Ulf; Flechsler, Jennifer; Heimerl, Thomas; Rachel, Rachel; Huber, Harald; Kletzin, Arnulf (2014). "Three multihaem cytochromes c from the hyperthermophilic archaeon Ignicoccus hospitalis: purification, properties and localization". Microbiology. 160 (Pt_6): 1278–1289. doi:10.1099/mic.0.077792-0. PMID 24705227.

External links

This article is copied from an article on Wikipedia® - the free encyclopedia created and edited by its online user community. The text was not checked or edited by anyone on our staff. Although the vast majority of Wikipedia® encyclopedia articles provide accurate and timely information, please do not assume the accuracy of any particular article. This article is distributed under the terms of GNU Free Documentation License.

Copyright © 2003-2025 Farlex, Inc Disclaimer
All content on this website, including dictionary, thesaurus, literature, geography, and other reference data is for informational purposes only. This information should not be considered complete, up to date, and is not intended to be used in place of a visit, consultation, or advice of a legal, medical, or any other professional.