Wikipedia

Greenstick fracture

Also found in: Dictionary, Medical, Encyclopedia.
Greenstick fracture
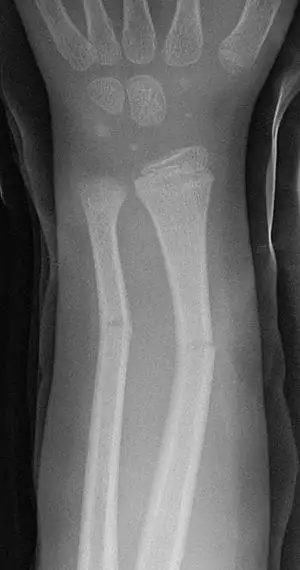
Gruenholzfraktur - Unterarmfraktur.jpg
Greenstick fractures on X-ray.
SpecialtyOrthopedics
Pediatrics

A greenstick fracture is a fracture in a young, soft bone in which the bone bends and breaks. Greenstick fractures occur most often during infancy and childhood when bones are soft. The name is by analogy with green (i.e., fresh) wood which similarly breaks on the outside when bent.

Signs and symptoms

Some clinical features of a greenstick fracture are similar to those of a standard long bone fracture – greenstick fractures normally cause pain at the injured area. As these fractures are specifically a pediatric problem, an older child will be protective of the fractured part and babies may cry inconsolably. As per a standard fracture, the area may be swollen and either red or bruised. Greenstick fractures are stable fractures as a part of the bone remains intact and unbroken so this type of fracture normally causes a bend to the injured part, rather than a distinct deformity, which is problematic. Symptoms include pain in the area and can start from overuse in that specific bone. This can be a very gradual chronic pain or pain from a specific injury.

Risk factors

The greenstick fracture pattern occurs as a result of bending forces. Activities with a high risk of falling are risk factors. Non-accidental injury more commonly causes spiral (twisting) fractures but a blow on the forearm or shin could cause a greenstick fracture. The fracture usually occurs in children and teens because their bones are flexible, unlike adults whose more brittle bones usually break.

Diagnosis

Projectional radiography is generally preferable.

Treatment

Removable splints result in better outcomes than casting in children with torus fractures of the distal radius.[1] If a person is doing better after 4 weeks, repeat X rays are not needed.[2]

Fossil record

Evidence for greenstick fractures found in the fossil record is studied by paleopathologists, specialists in ancient disease and injury. Greenstick fractures (willow breaks) have been reported in fossils of the large carnivorous dinosaur Allosaurus fragilis.[3]

Greenstick fractures are found in the fossil remains of Lucy, the most famous specimen of Australopithecus afarensis, discovered in Ethiopia in 1974. Analysis of bone fracture patterns, which include a large number of greenstick fractures in the forearms, lower limbs, pelvis, thorax and skull, suggest that Lucy died from a vertical fall and impact with the ground.[4]

References

  1. ^ Firmin F, Crouch R (July 2009). "Splinting versus casting of "torus" fractures to the distal radius in the paediatric patient presenting at the emergency department (ED): a literature review". Int Emerg Nurs. 17 (3): 173–8. doi:10.1016/j.ienj.2009.03.006. PMID 19577205.
  2. ^ "Five Things Physicians and Patients Should Question" (PDF). Choosing Wisely. Retrieved 15 February 2018.
  3. ^ Molnar, R. E., 2001, Theropod paleopathology: a literature survey: In: Mesozoic Vertebrate Life, edited by Tanke, D. H., and Carpenter, K., Indiana University Press, p. 337-363.
  4. ^ Kappelman, John; Ketcham, Richard; Pearce, Stephen; Todd, Lawrence; Akins, Wiley; Colbert, Matthew; Feseha, Mulugeta; Maisano, Jessica; Witzel, Adrienne (2016). "Perimortem fractures in Lucy suggest mortality from fall out of tall tree". Nature. 537 (7621): 503–507. Bibcode:2016Natur.537..503K. doi:10.1038/nature19332. PMID 27571283.

External links

This article is copied from an article on Wikipedia® - the free encyclopedia created and edited by its online user community. The text was not checked or edited by anyone on our staff. Although the vast majority of Wikipedia® encyclopedia articles provide accurate and timely information, please do not assume the accuracy of any particular article. This article is distributed under the terms of GNU Free Documentation License.

Copyright © 2003-2025 Farlex, Inc Disclaimer
All content on this website, including dictionary, thesaurus, literature, geography, and other reference data is for informational purposes only. This information should not be considered complete, up to date, and is not intended to be used in place of a visit, consultation, or advice of a legal, medical, or any other professional.