Wikipedia

Gradenigo's syndrome

Also found in: Dictionary, Medical, Encyclopedia.
Gradenigo's syndrome
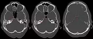
Apicitis petrosa 85jm - CT axial KF 3 Schichten - 001 - Annotation.jpg
Apicitis petrosa as seen in computed tomography
SpecialtyOtorhinolaryngology Edit this on Wikidata

Gradenigo's syndrome, also called Gradenigo-Lannois syndrome,[1][2] is a complication of otitis media and mastoiditis involving the apex of the petrous temporal bone. It was first described by Giuseppe Gradenigo in 1904.[3]

Symptoms

Components of the syndrome include:

  • retroorbital pain due to pain in the area supplied by the ophthalmic branch of the trigeminal nerve (fifth cranial nerve),
  • abducens nerve palsy (sixth cranial nerve)[4]
  • otitis media

Other symptoms can include photophobia, excessive lacrimation, fever, and reduced corneal sensitivity. The syndrome is classically caused by the spread of an infection into the petrous apex of the temporal bone.

Diagnosis

The constellation of symptoms was first described as a consequence of severe, advanced ear infection which has spread to a central portion of the temporal bone of the skull. This type of presentation was common prior to development of antibiotic treatments, and is now a rare complication.

In persons with longstanding ear infection and typical symptoms, medical imaging such as CT or MRI of the head may show changes that confirm disease involvement of the petrous apex of temporal bone.

Treatment

The medical treatment is done with antibiotics: ceftriaxone plus metronidazole (which covers anaerobic bacteria). In more severe cases, a paracentesis (aspiration of fluids) or mastoidectomy may be needed.

Eponym

It is named after Count Giuseppe Gradenigo, an Italian Otolaryngologist, and Maurice Lannois.[5]

References

  1. ^ Devic M, Boucher M, Raveau M (April 1966). "[Some cases of Gradenigo-Lannois syndrome]". Journal de Médecine de Lyon. 47 (96): 537–47. PMID 4286558.
  2. ^ Bléry M, Chagnon S, Picard A, Babin C (November 1980). "[Cranial osteitis: a report on four cases, including a Gradenigo-Lannois syndrome (author's transl)]". Journal de Radiologie. 61 (11): 677–81. PMID 7452536.
  3. ^ Pedroso JL, de Aquino CC, Abrahão A, de Oliveira RA, Pinto LF, Bezerra ML, Gonçalves Silva AB, de Macedo FD, de Melo Mendes AV, Barsottini OG (February 2011). "Gradenigo's Syndrome: Beyond the Classical Triad of Diplopia, Facial Pain and Otorrhea". Case Reports in Neurology. 3 (1): 45–7. doi:10.1159/000324179. PMC 3072192. PMID 21490711.
  4. ^ Motamed M, Kalan A (September 2000). "Gradenigo's syndrome". Postgraduate Medical Journal. 76 (899): 559–60. doi:10.1136/pmj.76.899.559. PMC 1741722. PMID 10964120.
  5. ^ synd/738 at Who Named It?

External links

Classification
This article is copied from an article on Wikipedia® - the free encyclopedia created and edited by its online user community. The text was not checked or edited by anyone on our staff. Although the vast majority of Wikipedia® encyclopedia articles provide accurate and timely information, please do not assume the accuracy of any particular article. This article is distributed under the terms of GNU Free Documentation License.

Copyright © 2003-2025 Farlex, Inc Disclaimer
All content on this website, including dictionary, thesaurus, literature, geography, and other reference data is for informational purposes only. This information should not be considered complete, up to date, and is not intended to be used in place of a visit, consultation, or advice of a legal, medical, or any other professional.