Wikipedia

Focal nodular hyperplasia

Also found in: Dictionary, Medical, Acronyms, Encyclopedia.
Focal nodular hyperplasia
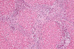
Focal nodular hyperplasia - intermed mag.jpg
Micrograph of focal nodular hyperplasia. H&E stain.
SpecialtyGastroenterology Edit this on Wikidata

Focal nodular hyperplasia (FNH) is a benign tumor of the liver (hepatic tumor), which is the second most prevalent tumor of the liver (the first is hepatic hemangioma). It is usually asymptomatic, rarely grows or bleeds, and has no malignant potential. This tumour was once often resected because it was difficult to distinguish from hepatic adenoma, but with modern multiphase imaging is usually now diagnosed by strict imaging criteria and not resected.

Presentation

Ultrasound of malformed vessels within the fibrous scar of FNH.
Liver tumor types by relative incidence in adults in the United States, with focal nodular hyperplasia at right.[1]

Focal nodular hyperplasia's most recognizable gross feature is a central stellate scar seen in 60–70% of cases. Microscopically, a lobular proliferation of bland-appearing hepatocytes with a bile ductular proliferation and malformed vessels within the fibrous scar is the most common pattern. Other patterns include telangiectatic, hyperplastic-adenomatous, and lesions with focal large-cell dysplasia.[2] Rarely, these lesions may be multiple or can occur as part of a syndrome with hemangiomas, epithelioid hemangioendothelioma, hepatic adenomas, fibrolamellar hepatocellular carcinoma, vascular malformations of the brain, meningiomas, and/or astrocytomas.[2]

Pathophysiology

FNH is not a true neoplasm; it is believed to result from localized hyperplastic hepatocyte response to an underlying congenital arteriovenous malformation. It consists of normal liver constituents in an abnormally organized pattern, grows in a stellate pattern and may display central necrosis when large.[3] Additionally evidence suggests that the incidence of FNH is related to oral contraceptive use.[4]

Diagnosis

Unenhanced CT or MRI usually does not show the difference in intensity between the FNH and surrounding liver except when there is marked liver steatosis that reduces the attenuation of the liver, causing FNH to be hyperattenuating when compared with the surrounding liver. In the arterial phase CT or MRI, there is a strong enhancement not followed by washout. The lesion presents a slight hyperintensity or isodensity on portal venous phase or delayed phase images. There is also a presence of a central scar and absence of a capsule for the FNH.[5]

Notes

  1. ^ Table 37.2 in: Sternberg, Stephen (2012). Sternberg's diagnostic surgical pathology. Place of publication not identified: LWW. ISBN 978-1-4511-5289-0. OCLC 953861627.
  2. ^ a b Nguyen, Bich N.; Fléjou, Jean-François; Terris, Benoit; Belghiti, Jacques; Degott, Claude (1999). "Focal Nodular Hyperplasia of the Liver". The American Journal of Surgical Pathology. 23 (12): 1441–54. doi:10.1097/00000478-199912000-00001. PMID 10584697.
  3. ^ Imaging in Focal Nodular Hyperplasia at eMedicine
  4. ^ Scalori, Astrid; Tavani, Alessandra; Gallus, Silvano; La Vecchia, Carlo; Colombo, Massimo (2002). "Oral contraceptives and the risk of focal nodular hyperplasia of the liver: A case-control study". American Journal of Obstetrics and Gynecology. 186 (2): 195–7. doi:10.1067/mob.2002.120277. PMID 11854634.
  5. ^ Dioguardi Burgio, Marco; Ronot, Maxime; Salvaggio, Giuseppe; Vilgrain, Valérie; Brancatelli, Giuseppe (December 2016). "Imaging of Hepatic Focal Nodular Hyperplasia: Pictorial Review and Diagnostic Strategy". Seminars in Ultrasound, CT and MRI. 37 (6): 511–524. doi:10.1053/j.sult.2016.08.001.

References

External links

Classification
External resources
This article is copied from an article on Wikipedia® - the free encyclopedia created and edited by its online user community. The text was not checked or edited by anyone on our staff. Although the vast majority of Wikipedia® encyclopedia articles provide accurate and timely information, please do not assume the accuracy of any particular article. This article is distributed under the terms of GNU Free Documentation License.

Copyright © 2003-2025 Farlex, Inc Disclaimer
All content on this website, including dictionary, thesaurus, literature, geography, and other reference data is for informational purposes only. This information should not be considered complete, up to date, and is not intended to be used in place of a visit, consultation, or advice of a legal, medical, or any other professional.