Wikipedia

Wart

Also found in: Dictionary, Medical, Acronyms, Idioms, Encyclopedia.
Warts
Other namesVerrucae,[1] papillomas[2]
Dornwarzen.jpg
A large number of warts on the big toe
SpecialtyDermatology
SymptomsPainless, small, rough skin growth[1][3]
DurationMonths to years[1]
CausesHuman papillomavirus[1]
Risk factorsPublic showers, eczema[3]
Differential diagnosisCallus, seborrheic keratosis, squamous cell carcinoma[4]
PreventionAvoiding skin contact with infected individual, not walking barefoot in public areas
TreatmentSalicylic acid, cryotherapy[1], chemo based Fluorouracil or Bleomycin
FrequencyVery common[2]

Warts are typically small, rough, hard growths that are similar in color to the rest of the skin.[1][3] They typically do not result in other symptoms, except when on the bottom of the feet, where they may be painful.[3] While they usually occur on the hands and feet, they can also affect other locations.[1] One or many warts may appear.[3] They are not cancerous.[3]

Warts are caused by infection with a type of human papillomavirus (HPV).[1] Factors that increase the risk include use of public showers, working with meat, eczema and a weak immune system.[1][3] The virus is believed to enter the body through skin that has been damaged slightly.[1] A number of types exist, including "common warts", plantar warts, "filiform warts", and genital warts.[3] Genital warts are often sexually transmitted.[5]

Without treatment, most types of warts resolve in months to years.[1] A number of treatments may speed resolution including salicylic acid applied to the skin and cryotherapy.[1] In those who are otherwise healthy, they do not typically result in significant problems.[1] Treatment of genital warts differs from that of other types.[3]

Warts are very common, with most people being infected at some point in their lives.[2] The estimated current rate of non-genital warts among the general population is 1–13%.[1] They are more common among young people.[1] The estimated rate of genital warts in sexually active women is 12%.[5] Warts have been described at least as far back as 400 BC by Hippocrates.[4]

Types

A filiform wart on the eyelid.

A range of types of wart have been identified, varying in shape and site affected, as well as the type of human papillomavirus involved.[6][7] These include:

  • Common wart (verruca vulgaris), a raised wart with roughened surface, most common on hands, but can grow anywhere on the body. Sometimes known as a Palmer wart or Junior wart.
  • Flat wart (verruca plana), a small, smooth flattened wart, flesh-coloured, which can occur in large numbers; most common on the face, neck, hands, wrists and knees.
  • Filiform or digitate wart, a thread- or finger-like wart, most common on the face, especially near the eyelids and lips.
  • Genital wart (venereal wart, condyloma acuminatum, verruca acuminata), a wart that occurs on the genitalia.
  • Periungual wart, a cauliflower-like cluster of warts that occurs around the nails.
  • Plantar wart (verruca, verruca plantaris), a hard, sometimes painful lump, often with multiple black specks in the center; usually only found on pressure points on the soles of the feet.
  • Mosaic wart, a group of tightly clustered plantar-type warts, commonly on the hands or soles of the feet.

Cause

Warts are caused by the human papilloma virus (HPV). There are about 130 known types of human papilloma viruses.[8] HPV infects the squamous epithelium, usually of the skin or genitals, but each HPV type is typically only able to infect a few specific areas on the body. Many HPV types can produce a benign growth, often called a "wart" or "papilloma", in the area they infect. Many of the more common HPV and wart types are listed below.

  • Common warts – HPV types 2 and 4 (most common); also types 1, 3, 26, 29, and 57 and others.
  • Cancers and genital dysplasia – "high-risk" HPV types are associated with cancers, notably cervical cancer, and can also cause some vulvar, vaginal,[9] penile, anal[10] and some oropharyngeal cancers. "Low-risk" types are associated with warts or other conditions.[11][12]
  • High-risk: 16, 18 (cause the most cervical cancer); also 31, 33, 35, 39, 45, 52, 58, 59, and others.
  • Plantar warts (verruca) – HPV type 1 (most common); also types 2, 3, 4, 27, 28, and 58 and others.
  • Anogenital warts (condylomata acuminata or venereal warts) – HPV types 6 and 11 (most common); also types 42, 44 and others.[13]
  • Low-risk: 6, 11 (most common); also 13, 44, 40, 43, 42, 54, 61, 72, 81, 89, and others.
  • Verruca plana (flat warts) – HPV types 3, 10, and 28.
  • Butcher's warts – HPV type 7.
  • Heck's disease (focal epithelial hyperplasia) – HPV types 13 and 32.

Pathophysiology

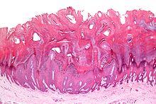
Common warts have a characteristic appearance under the microscope. They have thickening of the stratum corneum (hyperkeratosis), thickening of the stratum spinosum (acanthosis), thickening of the stratum granulosum, rete ridge elongation, and large blood vessels at the dermoepidermal junction.

Diagnosis

Micrograph (H&E stain) of a common wart (verruca vulgaris) showing the characteristic features (hyperkeratosis, acanthosis, hypergranulosis, rete ridge elongation, and large blood vessels at the dermoepidermal junction)

On dermatoscopic examination warts will commonly have fingerlike or knoblike extensions.[14]

Prevention

Gardasil 6 is an HPV vaccine aimed at preventing cervical cancers and genital warts. Gardasil is designed to prevent infection with HPV types 16, 18, 6, and 11. HPV types 16 and 18 currently cause about 70% of cervical cancer cases,[11][12] and also cause some vulvar, vaginal,[9] penile and anal cancers.[10] HPV types 6 and 11 are responsible for 90% of documented cases of genital warts.[15]

Gardasil 9, approved in 2014 protects against HPV types 6, 11, 16, 18, 31, 33, 45, 52, and 58.[16]

HPV vaccines do not currently protect against the virus strains responsible for plantar warts (verrucae).

Disinfection

The virus is relatively hardy and immune to many common disinfectants. Exposure to 90% ethanol for at least 1 minute, 2% glutaraldehyde, 30% Savlon, and/or 1% sodium hypochlorite can disinfect the pathogen.[17]

The virus is resistant to drying and heat, but killed by 100 °C (212 °F) and ultraviolet radiation.[17]

Treatment

There are many treatments and procedures associated with wart removal.[18] A review of various skin wart treatments concluded that topical treatments containing salicylic acid were more effective than placebo.[19] Cryotherapy appears to be as effective as salicylic acid, but there have been fewer trials.[19]

Medication

  • Salicylic acid can be prescribed by a dermatologist in a higher concentration than that found in over-the-counter products. Several over-the-counter products are readily available at pharmacies and supermarkets of roughly two types: adhesive pads treated with salicylic acid, and bottled concentrated salicylic acid solution.
  • Fluorouracil — Flurouracil cream, a chemotherapy agent sometimes used to treat skin cancer, can be used on particularly resistant warts, by blocking DNA production and repair.[20]
  • Imiquimod is a topical cream that helps the body's immune system fight the wart virus by encouraging interferon production. It has been approved by the U.S. Food and Drug Administration (FDA) for genital warts.[21]
  • Cantharidin, found naturally in the bodies of many members of the beetle family Meloidae, causes dermal blistering. It is used either by itself or compounded with podophyllin. Not FDA approved, but available through Canada or select US compounding pharmacies.
  • Bleomycin — A more potent chemotherapy drug, can be injected into deep warts, destroying the viral DNA. Bleomycin is notably not US FDA approved for this purpose. Possible side effects include necrosis of the digits, nail loss and Raynaud syndrome. The usual treatment is one or two injections.[22][23]
  • Dinitrochlorobenzene (DNCB), like salicylic acid, is applied directly to the wart. Studies show this method is effective with a cure rate of 80%. But DNCB must be used much more cautiously than salicylic acid; the chemical is known to cause genetic mutations, so it must be administered by a physician. This drug induces an allergic immune response resulting in inflammation that wards off the wart-causing virus.[24]
  • Cidofovir is an antiviral drug which is injected into HPV lesions within the larynx (laryngeal papillomatosis) as an experimental treatment.[25]
  • Verrutop verruca treatment is a topical solution made from a combination of organic acids, inorganic acids, and metal ions. This solution causes the production of nitrites which act to denature viral proteins and mummify the wart tissue. The difference between Verrutop and other acid treatments is that it does not damage the surrounding skin.
  • Another product available over-the-counter that can aid in wart removal is silver nitrate in the form of a caustic pencil, which is also available at drug stores. In a placebo-controlled study of 70 patients, silver nitrate given over nine days resulted in clearance of all warts in 43% and improvement in warts in 26% one month after treatment compared to 11% and 14%, respectively, in the placebo group.[26] The instructions must be followed to minimize staining of skin and clothing. Occasionally pigmented scars may develop.

Procedures

Liquid nitrogen spray tank
  • Keratolysis, of dead surface skin cells usually using salicylic acid, blistering agents, immune system modifiers ("immunomodulators"), or formaldehyde, often with mechanical paring of the wart with a pumice stone, blade etc.[27]
  • Electrodesiccation[28]
  • Cryosurgery or cryotherapy, which involves freezing the wart (generally with liquid nitrogen),[29] creating a blister between the wart and epidermal layer after which the wart and the surrounding dead skin fall off. An average of 3 to 4 treatments are required for warts on thin skin. Warts on calloused skin like plantar warts might take dozens or more treatments.[30]
  • Surgical curettage of the wart
  • Laser treatment – often with a pulse dye laser or carbon dioxide (CO2) laser. Pulse dye lasers (wavelength 582 nm) work by selective absorption by blood cells (specifically hemoglobin). CO2 lasers work by selective absorption by water molecules. Pulse dye lasers are less destructive and more likely to heal without scarring. CO2 laser works by vaporizing and destroying tissue and skin. Laser treatments can be painful, expensive (though covered by many insurance plans), and not extensively scarring when used appropriately. CO2 lasers will require local anaesthetic. Pulse dye laser treatment does not need conscious sedation or local anesthetic. It takes 2 to 4 treatments but can be many more for extreme cases. Typically, 10–14 days are required between treatments. Preventative measures are important.[30]
  • Infrared coagulator – an intense source of infrared light in a small beam like a laser. This works essentially on the same principle as laser treatment. It is less expensive. Like the laser, it can cause blistering pain and scarring.[31]
  • Intralesional immunotherapy with purified candida, MMR, and tuberculin (PPD) protein appears safe and effective.[32][33]
  • Duct tape occlusion therapy involves placing a piece of duct tape over the wart. The mechanism of action of this technique still remains unknown. Despite several trials, evidence for the efficacy of duct tape therapy is inconclusive.[34][35] Despite the mixed evidence for efficacy, the simplicity of the method and its limited side-effects leads some researchers to be reluctant to dismiss it.[36]
This image shows throat warts (papillomas) before treatment and during the treatment process. Left to right: warts prior to treatment, warts on day of silver nitrate treatment, warts two days after treatment, warts four days after treatment, warts six days after treatment, and warts remaining nine days after treatment.

Alternative medicine

Despite their appearance, toads do not cause warts

Daily application of the latex of Chelidonium majus is a traditional treatment.[37]

The acrid yellow sap of Greater Celandine is used as a traditional wart remedy.[38] The sap can be applied directly to the wart in a similar manner to concentrated salicylic acid solution, but in more modest quantities.

According to English folk belief, touching toads causes warts; according to a German belief, touching a toad under a full moon cures warts.[39] The most common Northern Hemisphere toads have glands that protrude from their skin that superficially resemble warts. Warts are caused by a virus, and toads do not harbor it.[40] A variety of traditional folk remedies and rituals claim to be able to remove warts.

In The Adventures of Tom Sawyer, Mark Twain has his characters discuss a variety of such remedies. Tom Sawyer proposes "spunk-water" (or "stump-water", the water collecting in the hollow of a tree stump) as a remedy for warts on the hand. You put your hand into the water at midnight and say:

Barley-corn, barley-corn, injun-meal shorts,
Spunk-water, spunk-water, swaller these warts

You then "walk away quick, eleven steps, with your eyes shut, and then turn around three times and walk home without speaking to anybody. Because if you speak the charm's busted." This is given as an example to Huckleberry Finn's planned remedy which involving throwing a dead cat into a graveyard as a devil or devils comes to collect a recently buried wicked person. Another remedy involved splitting a bean, drawing blood from the wart and putting it on one of the halves, and burying that half at a crossroads at midnight. The theory of operation is that the blood on the buried bean will draw away the wart.[41] Twain is recognized as an early collector and recorder of genuine American folklore.[42]

Similar practices are recorded elsewhere. In Louisiana, one remedy for warts involves rubbing the wart with a potato, which is then buried; when the "buried potato dries up, the wart will be cured".[43] Another remedy similar to Twain's is reported from Northern Ireland, where water from a specific well on Rathlin Island is credited with the power to cure warts.[44]

History

A ~7 mm plantar wart surgically removed from the sole of a person's foot after other treatments failed.

Surviving ancient medical texts show that warts were a documented disease since at least the time of Hippocrates, who lived ca. 460 – c. 370 BC. In the book De Medecia by the Roman physician Aulus Cornelius Celsus, who lived c. 25 BC – c. 50 AD, different types of warts were described. Celsus described myrmecia, today recognized as plantar wart, and categorized acrochordon (a skin tag) as wart. In the 13th century warts were described in books published by the surgeons William of Saliceto and Lanfranc of Milan. The word verruca to describe a wart was introduced by the physician Daniel Sennert, who described warts in his 1636 book Hypomnemata physicae.[45]

But the cause of warts was disputed in the medical profession. In the early 18th century the physician Daniel Turner, who published the first book on dermatology, suggested that warts were caused by damaged nerves close to the skin. Mid 18th century the surgeon John Hunter popularized the belief that warts were caused by a bacterial syphilis infection. The surgeon Benjamin Bell documented that warts were caused by a disease entirely unrelated to syphilis and established a causal link between warts and cancer. In the 19th century the chief physician of Verona hospital established a link between warts and cervical cancer. But in 1874 it was noted by the dermatologist Ferdinand Ritter von Hebra that while various theories were advanced by the medical profession, the "influences causing warts are still very obscure".[46]

In 1907 the physician Giuseppe Ciuffo was the first to demonstrate that warts were caused by a virus infection. In 1976 the virologist Harald zur Hausen was the first to discover that warts were caused by the human papillomavirus (HPV). His continuous research established the evidence necessary to develop a HPV vaccine, which first became available in 2006.[47]

Other animals

References

  1. ^ a b c d e f g h i j k l m n o Loo, SK; Tang, WY (12 June 2014). "Warts (non-genital)". BMJ Clinical Evidence. 2014. PMC 4054795. PMID 24921240.
  2. ^ a b c "Papillomas (Warts) – National Library of Medicine". PubMed Health. Archived from the original on 2017-09-10. Retrieved 2016-11-06.
  3. ^ a b c d e f g h i "Warts: Overview". U.S. National Library of Medicine. 30 July 2014. Archived from the original on 10 September 2017.
  4. ^ a b Bope, Edward T.; Kellerman, Rick D. (2012). Conn's Current Therapy 2012. Elsevier Health Sciences. p. 275. ISBN 978-1455733057. Archived from the original on 2016-11-07.
  5. ^ a b W Buck, Henry (13 August 2010). "Warts (genital)". BMJ Clinical Evidence. 2010. PMC 3217761. PMID 21418685.
  6. ^ Anderson, Keith; Keith, Jeff; Novak, Patricia D.; Elliot, Michelle A. (2005). Mosby's Medical, Nursing & Allied Health Dictionary (5th ed.). C.V. Mosby. ISBN 978-0-323-03736-5. Archived from the original on 2017-01-07.
  7. ^ "MedlinePlus: Warts". 2010. Archived from the original on 2013-05-16.
  8. ^ De Villiers EM, Fauquet C, Broker TR, Bernard HU, Zur Hausen H (Jun 2004). "Classification of papillomaviruses". Virology. 324 (1): 17–27. doi:10.1016/j.virol.2004.03.033. PMID 15183049.
  9. ^ a b "FDA Approves Expanded Uses for Gardasil to Include Preventing Certain Vulvar and Vaginal Cancers". FDA. 2008-09-12. Archived from the original on 2010-03-06.
  10. ^ a b Cortez, Michelle Fay; Pettypiece, Shannon (2008-11-13). "Merck Cancer Shot Cuts Genital Warts, Lesions in Men". Bloomberg News. Retrieved 2013-05-17.
  11. ^ a b Lowy DR, Schiller JT (2006). "Prophylactic human papillomavirus vaccines". J. Clin. Invest. 116 (5): 1167–73. doi:10.1172/JCI28607. PMC 1451224. PMID 16670757.
  12. ^ a b Muñoz N, Bosch FX, Castellsagué X, Díaz M, de Sanjose S, Hammouda D, Shah KV, Meijer CJ (2004-08-20). "Against which human papillomavirus types shall we vaccinate and screen? The international perspective". Int J Cancer. 111 (2): 278–85. doi:10.1002/ijc.20244. PMID 15197783. S2CID 20679802.
  13. ^ Kumar, Vinay; Abbas, Abul K.; Fausto, Nelson; Mitchell, Richard (2007). "Chapter 19 The Female Genital System and Breast". Robbins Basic Pathology (8 ed.). Philadelphia: Saunders. ISBN 978-1-4160-2973-1.
  14. ^ Dong, Huiting (2011). "Dermatoscopy of genital warts". Journal of the American Academy of Dermatology. 64 (5): 859–864. doi:10.1016/j.jaad.2010.03.028. PMID 21429619 – via Elsevier Science Direct.
  15. ^ Steinbrook, Robert (2006). "The Potential of Human Papillomavirus Vaccines". New England Journal of Medicine. 354 (11): 1109–12. doi:10.1056/NEJMp058305. PMID 16540608.
  16. ^ "Prescribing information Gardasil 9" (PDF). Food and Drug Administration. 2015. Archived (PDF) from the original on 2016-10-10.
  17. ^ a b Human Papillomavirus Archived 2015-08-23 at the Wayback Machine. Public Health Agency of Canada
  18. ^ Lipke MM (2006). "An armamentarium of wart treatments". Clin Med Res. 4 (4): 273–93. doi:10.3121/cmr.4.4.273. PMC 1764803. PMID 17210977.
  19. ^ a b Kwok CS, Gibbs S, Bennett C, Holland R, Abbott R (Sep 12, 2012). Gibbs S (ed.). "Topical treatments for cutaneous warts". The Cochrane Database of Systematic Reviews. 9 (9): CD001781. doi:10.1002/14651858.CD001781.pub3. PMID 22972052. Archived from the original on 2013-07-04.
  20. ^ Salk, RS; Grogan, KA; Chang, TJ (May 2006). "Topical 5% 5-fluorouracil cream in the treatment of plantar warts: a prospective, randomized, and controlled clinical study". Journal of drugs in dermatology. 5 (5): 418–24. PMID 16703777.
  21. ^ Barclay L (2011-06-04). "Short-Acting Imiquimod Cream Approved for Genital Warts". Medscape. Archived from the original on 18 August 2011. Retrieved 10 August 2011.
  22. ^ Soni, Prasoon; Khandelwal, Kanika; Aara, Naushin; Ghiya, Bhikam C; Mehta, Rajesh D; Bumb, Ram A (2011). "Efficacy of Intralesional Bleomycin in Palmo-plantar and Periungual Warts". Journal of Cutaneous and Aesthetic Surgery. 4 (3): 188–191. doi:10.4103/0974-2077.91250. PMC 3263129. PMID 22279384.
  23. ^ Champion, R. H., et al. (1998). Rook's Textbook of Dermatology. Blackwell Science, p. 1044, ISBN 0-632-06429-3
  24. ^ "Treating Warts". British Medical Journal. 2002-08-31. Archived from the original on 2010-11-03. Retrieved 2013-05-17.
  25. ^ Soma, Marlene A; Albert, David M (2008). "Cidofovir: to use or not to use?". Current Opinion in Otolaryngology & Head and Neck Surgery. 16 (1): 86–90. doi:10.1097/MOO.0b013e3282f43408. PMID 18197029. S2CID 22895067.
  26. ^ Sterling JC, Handfield-Jones S, Hudson PM (2001). "Guidelines for the management of cutaneous warts" (PDF). British Journal of Dermatology. 144 (1): 4–11. doi:10.1046/j.1365-2133.2001.04066.x. PMID 11167676. S2CID 20179474. Archived from the original (PDF) on 2012-03-03.
  27. ^ Warts Archived 2008-05-17 at the Wayback Machine at About.com
  28. ^ Stone KM, Becker TM, Hadgu A, Kraus SJ (1990). "Treatment of external genital warts: A randomised clinical trial comparing podophyllin, cryotherapy, and electrodesiccation". Genitourinary Medicine. 66 (1): 16–19. doi:10.1136/sti.66.1.16. PMC 1194434. PMID 2179111.
  29. ^ "Cryotherapy for Warts". WebMD. Archived from the original on 2016-07-09.
  30. ^ a b Bacelieri R, Johnson SM (2005). "Cutaneous warts: An evidence-based approach to therapy". American Family Physician. 72 (4): 647–52. PMID 16127954. Archived from the original on 2014-04-21.
  31. ^ Halasz CL (1994). "Treatment of common warts using the infrared coagulator". The Journal of Dermatologic Surgery and Oncology. 20 (4): 252–56. doi:10.1111/j.1524-4725.1994.tb01620.x. PMID 8163746.
  32. ^ Aldahan, AS; Mlacker, S; Shah, VV; Kamath, P; Alsaidan, M; Samarkandy, S; Nouri, K (May 2016). "Efficacy of intralesional immunotherapy for the treatment of warts: A review of the literature". Dermatologic Therapy. 29 (3): 197–207. doi:10.1111/dth.12352. PMID 26991521. S2CID 40536366.
  33. ^ Salman, Samer (2019). "Intralesional Immunotherapy for the Treatment of Warts: A Network Meta-analysis". Journal of the American Academy of Dermatology. 80 (4): 922–930.e4. doi:10.1016/j.jaad.2018.07.003. PMID 30003983. S2CID 51617793 – via Elsevier Science Direct.
  34. ^ Loo, SK; Tang, WY (12 June 2014). "Warts (non-genital)". BMJ Clinical Evidence. 2014. PMC 4054795. PMID 24921240.
  35. ^ Kwok CS; Gibbs S; Bennett C; Holland R; Abbott R (12 Sep 2012). "Topical treatments for cutaneous warts". Cochrane Database Syst Rev. 9 (9): CD001781. doi:10.1002/14651858.CD001781.pub3. PMID 22972052.
  36. ^ Stubbings A, Wacogne I (September 2011). "Question 3. What is the efficacy of duct tape as a treatment for verruca vulgaris?". Archives of Disease in Childhood. 96 (9): 897–99. doi:10.1136/archdischild-2011-300533. PMID 21836182. S2CID 206853952.
  37. ^ Gilca, Marilena, et al. « Chelidonium majus–an integrative review: traditional knowledge versus modern findings » Forschende Komplementärmedizin/Research in Complementary Medicine2010; 17(5): 241-248.
  38. ^ Greater Celandine For Warts Archived 2014-07-17 at the Wayback Machine. botanical-online.com
  39. ^ Ley, Willy (December 1963). "The Names of the Constellations". For Your Information. Galaxy Science Fiction. pp. 90–99.
  40. ^ Clark, Josh. "Do toads cause warts?". science.howstuffworks.com. p. 2. Archived from the original on October 16, 2012. Retrieved October 20, 2012.
  41. ^ Mark Twain, The Adventures of Tom Sawyer, ch. 6
  42. ^ LeMaster, J. R. (1993) The Mark Twain Encyclopedia (Taylor and Francis, pp. 293–94 Archived 2017-01-07 at the Wayback Machine, ISBN 0-8240-7212-X.
  43. ^ Webb, Julie Yvonne (1971). "Louisiana Voodoo and Superstitions Relating to Health". HSMHA Health Reports. 86 (4): 291, 296–97. doi:10.2307/4594154. JSTOR 4594154. PMC 1937133. PMID 4324337.
  44. ^ Ballard LM (2009). "An approach to traditional cures in Ulster". The Ulster Medical Journal. 78 (1): 26–33. PMC 2629017. PMID 19252727.
  45. ^ Karamanou, Marianna; Agapitos, Emmanovil; Kousoulis, Antonis; Androutsos, George (17 August 2010). "From the humble wart to HPV: a fascinating story throughout centuries". Oncology Reviews. 4 (3): 133–135. doi:10.1007/s12156-010-0060-1. S2CID 72238300.
  46. ^ Karamanou, Marianna; Agapitos, Emmanovil; Kousoulis, Antonis; Androutsos, George (17 August 2010). "From the humble wart to HPV: a fascinating story throughout centuries". Oncology Reviews. 4 (3): 133–135. doi:10.1007/s12156-010-0060-1. S2CID 72238300.
  47. ^ Karamanou, Marianna; Agapitos, Emmanovil; Kousoulis, Antonis; Androutsos, George (17 August 2010). "From the humble wart to HPV: a fascinating story throughout centuries". Oncology Reviews. 4 (3): 133–135. doi:10.1007/s12156-010-0060-1. S2CID 72238300.

External links

Classification
External resources
This article is copied from an article on Wikipedia® - the free encyclopedia created and edited by its online user community. The text was not checked or edited by anyone on our staff. Although the vast majority of Wikipedia® encyclopedia articles provide accurate and timely information, please do not assume the accuracy of any particular article. This article is distributed under the terms of GNU Free Documentation License.

Copyright © 2003-2025 Farlex, Inc Disclaimer
All content on this website, including dictionary, thesaurus, literature, geography, and other reference data is for informational purposes only. This information should not be considered complete, up to date, and is not intended to be used in place of a visit, consultation, or advice of a legal, medical, or any other professional.