Wikipedia

Throat

Also found in: Dictionary, Medical, Legal, Financial, Idioms, Encyclopedia.
Throat
Throat Diagram.png
The human throat.
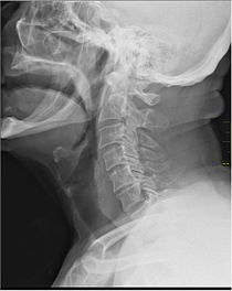
Medical X-Ray imaging EJE04 nevit.jpg
X-ray showing the throat, seen as a dark band to the front of the spine.
Details
Identifiers
Latingula
jugulum
FMA228738
Anatomical terminology

In vertebrate anatomy, the throat is the front part of the neck, positioned in front of the vertebra. It contains the pharynx and larynx. An important section of it is the epiglottis, separating the esophagus from the trachea (windpipe), preventing food and drinks being inhaled into the lungs. The throat contains various blood vessels, pharyngeal muscles, the nasopharyngeal tonsil, the tonsils, the palatine uvula, the trachea, the esophagus, and the vocal cords.[1][2] Mammal throats consist of two bones, the hyoid bone and the clavicle. The "throat" is sometimes thought to be synonymous for the fauces.[3]

It works with the mouth, ears and nose, as well as a number of other parts of the body. Its pharynx is connected to the mouth, allowing speech to occur, and food and liquid to pass down the throat. It is joined to the nose by the nasopharynx at the top of the throat, and to the ear by its Eustachian tube.[4] The throat's trachea carries inhaled air to the bronchi of the lungs. The esophagus carries food through the throat to the stomach.[5] Adenoids and tonsils help prevent infection and are composed of lymph tissue. The larynx contains vocal cords, the epiglottis (preventing food/liquid inhalation), and an area known as the subglottic larynx, in children it is the narrowest section of the upper part of the throat.[6] [7]

Jugulum

The Jugulum is a low part of the throat, located slightly above the breast.[8] The term Jugulum is reflected both by the internal and external jugular veins, which pass through the Jugulum.

References

  1. ^ "pharynx | Definition, Location, Function, Structure, & Facts". Encyclopedia Britannica. Retrieved 2020-09-01.
  2. ^ "Larynx | anatomy". Encyclopedia Britannica. Retrieved 2020-09-01.
  3. ^ "throat" at Dorland's Medical Dictionary
  4. ^ "eustachian tube | Definition, Anatomy, & Function". Encyclopedia Britannica. Retrieved 2020-09-01.
  5. ^ "Esophagus | anatomy". Encyclopedia Britannica. Retrieved 2020-09-01.
  6. ^ "Throat anatomy and physiology". Children's Hospital of Philadelphia. Retrieved 7 August 2015.
  7. ^ "Laryngeal Stenosis: Background, Problem, Epidemiology". 2020-02-19.
  8. ^ Farlex dictionary, citing: Webster's Revised Unabridged Dictionary, published 1913 by C. & G. Merriam Co.

See also

This article is copied from an article on Wikipedia® - the free encyclopedia created and edited by its online user community. The text was not checked or edited by anyone on our staff. Although the vast majority of Wikipedia® encyclopedia articles provide accurate and timely information, please do not assume the accuracy of any particular article. This article is distributed under the terms of GNU Free Documentation License.

Copyright © 2003-2025 Farlex, Inc Disclaimer
All content on this website, including dictionary, thesaurus, literature, geography, and other reference data is for informational purposes only. This information should not be considered complete, up to date, and is not intended to be used in place of a visit, consultation, or advice of a legal, medical, or any other professional.