Wikipedia

Phlegmasia cerulea dolens

Also found in: Dictionary, Medical, Acronyms.
Phlegmasia cerulea dolens
PCD2016.jpg
A person with a two hour history of phlegmasia cerulea dolens (left leg, right side of image)

Phlegmasia cerulea dolens (PCD) [literally: painful blue inflammation; not to be confused with preceding phlegmasia alba dolens] is an uncommon severe form of lower extremity deep venous thrombosis (DVT) that obstructs venous outflow. Upper extremity PCD is less common, occuring in under 10% of all cases.[1] PCD results from extensive thrombotic occlusion (blockage by a thrombus) of extremity vein(s), most commonly an iliofemoral DVT of the iliac vein and/or common femoral vein.[2][3] It is a medical emergency requiring immediate evaluation and treatment.

History

This phenomenon was first discovered by Fabricus Hildanius in the 16th century, and was officially termed "phlegmasia cerulea dolens" by Gregoire in 1938.[4][5] Phlegmasia originates from the Greek root phlegma (inflammation), cerulea originates from Latin root caeruleus (dark blue), and dolens originates from Latin word dolens (suffering).[6]

Background

Etiology

Risk factors, present in around 50% of documented cases, include malignancy, hyper-coagulable states, cardiac disease, venous stasis, venous insufficiency, May-Thurner syndrome (right iliac artery compressing the left iliac vein that runs beneath it), surgery, trauma, pregnancy, inferior vena cava (IVC) filter, hormone therapy, oral contraceptives, prolonged immobilization, inflammatory bowel disease, heart failure, and central venous cathetes. Etiology is unknown in ~10% of PCD cases.[7][8][9]

Epidemiology

PCD is most likely to occur in people in their 50s and 60s, but can occur as early as 6 months old. There is slight male predominance of around 1.5:1.[10][11]

Pathophysiology

When a thrombus occludes an extremity vein, pressure backs up in the venous system leading plasma fluid to leak out into the interstitium of the affected limb. This increases the pressure of that limb compartment, which can collapse the arteries and lead to acute ischemia, gangrene, hypovolemia, and hemodynamic instability.[12][13]

Symptoms

Primary symptoms

It is characterized by progressive lower extremity edema distal to the thigh, tight shiny skin, cyanosis (inadequate blood oxygenation), petechiae or purpura, and sudden severe pain of the affected limb in proportion to the level of venous blockage. Patients often have difficulty walking. Bilsters, bullae, paresthesias, an motor weakness may develop in severe cases, along with gangrene in ~50% of cases.[14][15] Distal pulses are palpable early on but may diminish over time, and doppler signal can be usually heard throughout disease progression.[16] The left limb is more commonly affected due to its vascular anatomy (the right internal iliac artery directly overlies the left iliac vein).[17][18]

Associated diseases

PCD is associated with an underlying malignancy in 20-40% of cases.[19] There is a high risk of massive pulmonary embolism, even under anticoagulation.[20]

Diagnosis

PCD is best diagnosed with contrast venography, but venous duplex ultrasonography is used more commonly in clinical practice. Magnetic resonance and computed tomography venography can also be used.[21]

Treatment

Treatment for PCD includes immediate anticoagulation, fluid resuscitation, bed rest, limb elevation above 60º, limb wrap to reduce pain and edema, and either catheter-based thrombolysis, percutaneous transluminal angioplasty, or surgical venous thrombectomy +/- fasciotomy to remove the blood clot.[22][23][24][25] Some people also suggest an IVC filter before thrombolysis.[26]

Prognosis

PCD is fully reversible if the causal venous thrombus is promptly removed.[27] In the 40-60% of people who go on to develop venous gangrene, there is a 20-50% risk of amputation and 20-40% mortality rate.[28][29] Following PCD resolution patients are more likely to develop venous insufficiency and post-thrombotic syndrome[30]

There is a grading system that has been established[31][32]:

  • Grade I = non-complicated (no blistering, strong sensory-motor function and strong distal pulses)
  • Grade II = impending venous gangrene (blistering, weak sensory-motor function and weak distal pulses)
  • Grade III = venous gangrene

Differential Diagnosis[33]

Additional images

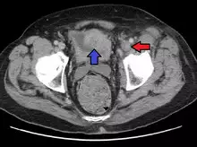
Deep vein thrombosis of the left external iliac in a person with bladder cancer resulting in this condition.

See also

References

  1. ^ Greenberg, Jacques; Troutman, Douglas A.; Shubinets, Valeriy; Dougherty, Matthew J.; Calligaro, Keith D. (2016-02). "Phlegmasia Cerulea Dolens in the Upper Extremity: A Case Report and Systematic Review and Outcomes Analysis". Vascular and Endovascular Surgery. 50 (2): 98–101. doi:10.1177/1538574416631645. ISSN 1538-5744.
  2. ^ Rutherford's vascular surgery and endovascular therapy. Anton N. Sidawy, Bruce A. Perler (9th ed.). Philadelphia, PA. 2019. ISBN 978-0-323-58130-1. OCLC 1037557259.
  3. ^ Gardella, Layne; Faulk, JimBob (2020), "Phlegmasia Alba And Cerulea Dolens", StatPearls, Treasure Island (FL): StatPearls Publishing, PMID 33085284, retrieved 2021-02-11
  4. ^ Gardella, Layne; Faulk, JimBob (2020), "Phlegmasia Alba And Cerulea Dolens", StatPearls, Treasure Island (FL): StatPearls Publishing, PMID 33085284, retrieved 2021-02-11
  5. ^ Chinsakchai, Khamin; ten Duis, Kaj; Moll, Frans L.; de Borst, Gert J. (2011-01). "Trends in Management of Phlegmasia Cerulea Dolens". Vascular and Endovascular Surgery. 45 (1): 5–14. doi:10.1177/1538574410388309. ISSN 1538-5744.
  6. ^ Rutherford's vascular surgery and endovascular therapy. Anton N. Sidawy, Bruce A. Perler (9th ed.). Philadelphia, PA. 2019. ISBN 978-0-323-58130-1. OCLC 1037557259.
  7. ^ Greenberg, Jacques; Troutman, Douglas A.; Shubinets, Valeriy; Dougherty, Matthew J.; Calligaro, Keith D. (2016-02). "Phlegmasia Cerulea Dolens in the Upper Extremity: A Case Report and Systematic Review and Outcomes Analysis". Vascular and Endovascular Surgery. 50 (2): 98–101. doi:10.1177/1538574416631645. ISSN 1538-5744.
  8. ^ Chinsakchai, Khamin; ten Duis, Kaj; Moll, Frans L.; de Borst, Gert J. (2011-01). "Trends in Management of Phlegmasia Cerulea Dolens". Vascular and Endovascular Surgery. 45 (1): 5–14. doi:10.1177/1538574410388309. ISSN 1538-5744.
  9. ^ Gardella, Layne; Faulk, JimBob (2020), "Phlegmasia Alba And Cerulea Dolens", StatPearls, Treasure Island (FL): StatPearls Publishing, PMID 33085284, retrieved 2021-02-11
  10. ^ Chinsakchai, Khamin; ten Duis, Kaj; Moll, Frans L.; de Borst, Gert J. (2011-01). "Trends in Management of Phlegmasia Cerulea Dolens". Vascular and Endovascular Surgery. 45 (1): 5–14. doi:10.1177/1538574410388309. ISSN 1538-5744.
  11. ^ Gardella, Layne; Faulk, JimBob (2020), "Phlegmasia Alba And Cerulea Dolens", StatPearls, Treasure Island (FL): StatPearls Publishing, PMID 33085284, retrieved 2021-02-11
  12. ^ Gardella, Layne; Faulk, JimBob (2020), "Phlegmasia Alba And Cerulea Dolens", StatPearls, Treasure Island (FL): StatPearls Publishing, PMID 33085284, retrieved 2021-02-11
  13. ^ Chang, Grace; Yeh, James J. (2014-07). "Fulminant phlegmasia cerulea dolens with concurrent cholangiocarcinoma and a lupus anticoagulant: a case report and review of the literature". Blood Coagulation & Fibrinolysis: An International Journal in Haemostasis and Thrombosis. 25 (5): 507–511. doi:10.1097/MBC.0000000000000057. ISSN 1473-5733. PMID 24553060.
  14. ^ Gardella, Layne; Faulk, JimBob (2020), "Phlegmasia Alba And Cerulea Dolens", StatPearls, Treasure Island (FL): StatPearls Publishing, PMID 33085284, retrieved 2021-02-11
  15. ^ Rutherford's vascular surgery and endovascular therapy. Anton N. Sidawy, Bruce A. Perler (9th ed.). Philadelphia, PA. 2019. ISBN 978-0-323-58130-1. OCLC 1037557259.
  16. ^ Rutherford's vascular surgery and endovascular therapy. Anton N. Sidawy, Bruce A. Perler (9th ed.). Philadelphia, PA. 2019. ISBN 978-0-323-58130-1. OCLC 1037557259.
  17. ^ Chinsakchai, Khamin; ten Duis, Kaj; Moll, Frans L.; de Borst, Gert J. (2011-01). "Trends in Management of Phlegmasia Cerulea Dolens". Vascular and Endovascular Surgery. 45 (1): 5–14. doi:10.1177/1538574410388309. ISSN 1538-5744.
  18. ^ Gardella, Layne; Faulk, JimBob (2020), "Phlegmasia Alba And Cerulea Dolens", StatPearls, Treasure Island (FL): StatPearls Publishing, PMID 33085284, retrieved 2021-02-11
  19. ^ Gardella, Layne; Faulk, JimBob (2020), "Phlegmasia Alba And Cerulea Dolens", StatPearls, Treasure Island (FL): StatPearls Publishing, PMID 33085284, retrieved 2021-02-11
  20. ^ John T. Owings (December 2005). "Management of Venous Thromboembolism". ACS Surgery. American College of Surgeons. Archived from the original on January 27, 2012. Retrieved January 16, 2012.
  21. ^ Chinsakchai, Khamin; ten Duis, Kaj; Moll, Frans L.; de Borst, Gert J. (2011-01). "Trends in Management of Phlegmasia Cerulea Dolens". Vascular and Endovascular Surgery. 45 (1): 5–14. doi:10.1177/1538574410388309. ISSN 1538-5744.
  22. ^ Chinsakchai, Khamin; ten Duis, Kaj; Moll, Frans L.; de Borst, Gert J. (2011-01). "Trends in Management of Phlegmasia Cerulea Dolens". Vascular and Endovascular Surgery. 45 (1): 5–14. doi:10.1177/1538574410388309. ISSN 1538-5744.
  23. ^ Rutherford's vascular surgery and endovascular therapy. Anton N. Sidawy, Bruce A. Perler (9th ed.). Philadelphia, PA. 2019. ISBN 978-0-323-58130-1. OCLC 1037557259.
  24. ^ Gardella, Layne; Faulk, JimBob (2020), "Phlegmasia Alba And Cerulea Dolens", StatPearls, Treasure Island (FL): StatPearls Publishing, PMID 33085284, retrieved 2021-02-11
  25. ^ Chang, Grace; Yeh, James J. (2014-07). "Fulminant phlegmasia cerulea dolens with concurrent cholangiocarcinoma and a lupus anticoagulant: a case report and review of the literature". Blood Coagulation & Fibrinolysis: An International Journal in Haemostasis and Thrombosis. 25 (5): 507–511. doi:10.1097/MBC.0000000000000057. ISSN 1473-5733. PMID 24553060.
  26. ^ Chinsakchai, Khamin; ten Duis, Kaj; Moll, Frans L.; de Borst, Gert J. (2011-01). "Trends in Management of Phlegmasia Cerulea Dolens". Vascular and Endovascular Surgery. 45 (1): 5–14. doi:10.1177/1538574410388309. ISSN 1538-5744.
  27. ^ Rutherford's vascular surgery and endovascular therapy. Anton N. Sidawy, Bruce A. Perler (9th ed.). Philadelphia, PA. 2019. ISBN 978-0-323-58130-1. OCLC 1037557259.
  28. ^ Gardella, Layne; Faulk, JimBob (2020), "Phlegmasia Alba And Cerulea Dolens", StatPearls, Treasure Island (FL): StatPearls Publishing, PMID 33085284, retrieved 2021-02-16
  29. ^ Chinsakchai, Khamin; ten Duis, Kaj; Moll, Frans L.; de Borst, Gert J. (2011-01). "Trends in Management of Phlegmasia Cerulea Dolens". Vascular and Endovascular Surgery. 45 (1): 5–14. doi:10.1177/1538574410388309. ISSN 1538-5744.
  30. ^ Gardella, Layne; Faulk, JimBob (2020), "Phlegmasia Alba And Cerulea Dolens", StatPearls, Treasure Island (FL): StatPearls Publishing, PMID 33085284, retrieved 2021-02-11
  31. ^ Chinsakchai, Khamin; ten Duis, Kaj; Moll, Frans L.; de Borst, Gert J. (2011-01). "Trends in Management of Phlegmasia Cerulea Dolens". Vascular and Endovascular Surgery. 45 (1): 5–14. doi:10.1177/1538574410388309. ISSN 1538-5744.
  32. ^ Chang, Grace; Yeh, James J. (2014-07). "Fulminant phlegmasia cerulea dolens with concurrent cholangiocarcinoma and a lupus anticoagulant: a case report and review of the literature". Blood Coagulation & Fibrinolysis: An International Journal in Haemostasis and Thrombosis. 25 (5): 507–511. doi:10.1097/MBC.0000000000000057. ISSN 1473-5733. PMID 24553060.
  33. ^ Gardella, Layne; Faulk, JimBob (2020), "Phlegmasia Alba And Cerulea Dolens", StatPearls, Treasure Island (FL): StatPearls Publishing, PMID 33085284, retrieved 2021-02-11

External links

Classification
External resources
This article is copied from an article on Wikipedia® - the free encyclopedia created and edited by its online user community. The text was not checked or edited by anyone on our staff. Although the vast majority of Wikipedia® encyclopedia articles provide accurate and timely information, please do not assume the accuracy of any particular article. This article is distributed under the terms of GNU Free Documentation License.

Copyright © 2003-2025 Farlex, Inc Disclaimer
All content on this website, including dictionary, thesaurus, literature, geography, and other reference data is for informational purposes only. This information should not be considered complete, up to date, and is not intended to be used in place of a visit, consultation, or advice of a legal, medical, or any other professional.