Wikipedia

Nodular fasciitis

Also found in: Dictionary, Medical, Encyclopedia.
Nodular fasciitis
Other namesNodular pseudosarcomatous fasciitis,[1] Pseudosarcomatous fasciitis,[2] and subcutaneous pseudosarcomatous fibromatosis,[1]:992
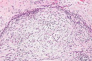
Nodular fasciitis - high mag.jpg
Micrograph of nodular fasciitis showing the haphazard arrangement of cells (tissue culture-like pattern). H&E stain.
SpecialtyRheumatology Edit this on Wikidata

Nodular fasciitis, is a benign[3] soft tissue lesion most commonly found in the superficial fascia. The lesion commonly occurs in the first three decades of life. Upper extremities and trunk are the most common affected anatomical areas. Previous history of trauma may be present. Clinically and histologically, nodular fasciitis may be mistaken for a sarcoma.[1]

Cause

Until recently, nodular fasciitis have been considered a reactive process of uncertain cause.[4] However, recent findings indicate that nodular fasciitis is a self-limited clonal neoplastic process (see below). Clinically, nodular fasciitis presents as a subcutaneous "growth" over a period of 3–6 weeks that eventually regresses. The lesion usually reaches a size of 2–3 cm. Larger lesions are unusual. Local recurrence has been described after simple surgical excision but it is rare.

Histology

  • Histologically vast array of patterns.
  • Short S-shaped fascicles, inflammation, accelerated mitotic index with normal mitoses.
  • Essentially spindle cell proliferation.
  • Stroma is rich in collagen and/or myxoid ground substance.

Treatment

Surgical excision is usually curative. Intralesional application of steroids has been used to induce regression. Because recurrence is rare, even when there is incomplete excision, in case of recurrence initial diagnosis of nodular fasciitis should be revisited.[5]

See also

  • Leiomyosarcoma
  • List of cutaneous conditions
  • Inflammatory myofibroblastic tumour

References

  1. ^ a b c Freedberg IM, Eisen AZ, Wolff K, Austen KF, Goldsmith LA, Katz SI, eds. (2003). Fitzpatrick's Dermatology in General Medicine. 1–2. New York: McGraw-Hill. pp. 3328 pages. ISBN 978-0-07-138076-8.
  2. ^ Rapini RP, Bolognia JL, Jorizzo JL (2007). Dermatology: 2-Volume Set. St. Louis: Mosby. ISBN 978-1-4160-2999-1.
  3. ^ Sailon AM, Cappuccino G, Hameed M, Fleegler EJ (July 2008). "Nodular fasciitis of the hand over the metacarpophalangeal joint: a case report". ePlasty. 8: e38. PMC 2491338. PMID 18725954.
  4. ^ Oliveira AM, Chou MM (January 2014). "USP6-induced neoplasms: the biologic spectrum of aneurysmal bone cyst and nodular fasciitis". Human Pathology. 45 (1): 1–11. doi:10.1016/j.humpath.2013.03.005. PMID 23769422.
  5. ^ Horvai TE, Link TM (2012). Bone and soft tissue pathology (1st ed.). Philadelphia, Pa.: Elsevier/Saunders. ISBN 978-1-4377-2520-9.

External links

Classification
This article is copied from an article on Wikipedia® - the free encyclopedia created and edited by its online user community. The text was not checked or edited by anyone on our staff. Although the vast majority of Wikipedia® encyclopedia articles provide accurate and timely information, please do not assume the accuracy of any particular article. This article is distributed under the terms of GNU Free Documentation License.

Copyright © 2003-2025 Farlex, Inc Disclaimer
All content on this website, including dictionary, thesaurus, literature, geography, and other reference data is for informational purposes only. This information should not be considered complete, up to date, and is not intended to be used in place of a visit, consultation, or advice of a legal, medical, or any other professional.