Wikipedia

Cryptococcus

Also found in: Dictionary, Medical, Encyclopedia.
Cryptococcus
Cryptococcus neoformans using a light India ink staining preparation PHIL 3771 lores.jpg
Cryptococcus neoformans
Scientific classification e
Kingdom: Fungi
Division: Basidiomycota
Class: Tremellomycetes
Order: Tremellales
Family: Tremellaceae
Genus: Cryptococcus
Vuill.
Type species
Cryptococcus neoformans
Synonyms

Filobasidiella

Cryptococcus, sometimes informally called crypto, is a genus of fungi, which grow in culture as yeasts. The sexual forms or teleomorphs of Cryptococcus species are filamentous fungi in the genus Filobasidiella. The name Cryptococcus is used when referring to the yeast states of the fungi; it comes from the Greek for "hidden sphere" (literally "hidden berry"). A few of the species cause a disease called cryptococcosis.

General characteristics

The cells of these species are covered in a thin layer of glycoprotein capsular material that has a gelatin-like consistency, and that among other functions, serves to help extract nutrients from the soil. The C. neoformans capsule consists of several polysaccharides, of which the major one is the immunomodulatory polysaccharide called glucuronoxylomannan (GXM).[1] GXM is made up of the monosaccharides glucuronic acid, xylose and mannose and can also contain O-acetyl groups. The capsule is functioning as the major virulence factor in cryptococcal infection and disease.[2]

Taxonomy of Cryptococcus species

Modern molecular technologies increased the validity and readiness in classifying microorganisms in taxonomical level. Cryptococcus spp. has a huge diversity in subspecies level each with different molecular types based on their genetic differences, mainly due to different geographical distributions, molecular characteristics and ecological niches. [3]

Serotypes A, D and a hybrid of AD are found among Cryptococcus neoformans var grubii and Cryptococcus neoformans var neoformans. Serotypes B and C are mainly found in Cryptococcus gattii. There are also hybrids between Cryptococcus neoformans and Cryptococcus gattii. [4]

There are 9 major molecular types of pathogenic Cryptococcus spp. - (VNI, VNII, VNB, VNIII, and VNIV) grouped under C. neoformans isolates; (VGI, VGII, VGIII, and VGIV) grouped under C. gattii isolates. [5]

Infectious species

About 37 species of Cryptococcus are recognized, but the taxonomy of the group is currently being re-evaluated with up-to-date methods. The majority of species live in the soil and are not harmful to humans. Very common species include C. laurentii and C. albidus. Of all species, C. neoformans is the major human and animal pathogen. However, C. laurentii and C. albidus have been known to occasionally cause moderate-to-severe disease, to be specific meningitis, in human patients with compromised immunity (owing to HIV infection, cancer chemotherapy, metabolic immunosuppression, etc.).[6]

C. neoformans

C. neoformans is the most prominent medically important species. It is best known for causing a severe form of meningitis and meningoencephalitis in people with HIV/AIDS. It may also infect organ-transplant recipients and people receiving certain cancer treatments.[7] C. neoformans is found in the droppings of wild birds, often pigeons; when dust of the droppings is stirred up, it can infect humans or pets that inhale the dust.[7] Infected humans and animals do not transmit their infection to others; they are not infectious.[7] When plated on Niger or birdseed agar, C. neoformans produces melanin, which causes the colonies to have a brown color, and this melanin production is believed to be an important virulence factor.[8] C. neoformans produces extracellular vesicles that contain protein components associated with virulence.[9] These vesicles interact with the cell wall and their formation is changed upon mutations in genes responsible for capsule formation.[10][11]

The taxonomy of this species has been reviewed: it has been proposed that it be divided into two species - Cryptococcus neoformans and Cryptococcus deneoformans.[12]

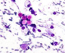
Field stain showing Cryptococcus species in lung tissue

C. gattii

C. gattii (formerly C. neoformans var gattii) is endemic to tropical parts of the continent of Africa and Australia. It is capable of causing disease (cryptococcosis) in nonimmunocompromised people. It has been isolated from eucalyptus trees in Australia. Since 1999, an outbreak of C. gattii infections has occurred in eastern Vancouver Island,[13] an area not generally thought to be endemic for this organism. Cases have since been described in the Pacific Northwest, in both Canada and the United States.[14]

The taxonomy of this species has been reviewed; it has been proposed that it be divided into five species - C. gattii, C. bacillisporus, 'C. deuterogattii, C. tetragattii, and C. decagattii.[12]

C. albidus

C. albidus has been isolated from the air, dry moss in Portugal, grasshoppers in Portugal, and tubercular lungs.[15] The colonies on a macroscopic level are cream-color to pale pink, with the majority of colonies being smooth with a mucoid appearance. Some of the colonies have been found to be rough and wrinkled, but this is a rare occurrence.[16] This species is very similar to C. neoformans, but can be differentiated because it is phenol oxidase-negative, and, when grown on Niger or birdseed agar, C. neoformans produces melanin, causing the cells to take on a brown color, while the C. albidus cells stay cream-colored.[8][17] On a microscopic level, C. albidus has an ovoid shape, and when viewed with India ink, a capsule is apparent. This species also reproduces through budding. The formation of pseudohyphae has not been seen. C. albidus is able to use glucose, citric acid, maltose, sucrose, trehalose, salicin, cellobiose, and inositol, as well as many other compounds, as sole carbon sources. This species is also able to use potassium nitrate as a nitrogen source. C. albidus produces urease, as is common for Cryptococcus species.[18] C. albidus is very easily mistaken for other Cryptococcus species, as well as species from other genera of yeast, so should be allowed to grow for a minimum of 7 days before attempting to identify this species.

While this species is most frequently found in water and plants and is also found on animal and human skin, it is not a frequent human pathogen. Cases of C. albidus infection have increased in humans during the past few years, and it has caused ocular and systemic disease in those with immunoincompetent systems, for example, patients with AIDS, leukemia, or lymphoma.[16][17] While systemic infections have been found with increasing regularity in humans, it is still relatively rare in animals. The administration of amphotericin B in animals has been successful, but in humans, the treatment usually has poor results.[8]

C. albidus var. albidus is a variety of C. albidus that has been considered unique. It differs from C. neoformans because of its ability to assimilate lactose, but not galactose. This species is also considered unique because its strains have a maximum temperature range from between 25 and 37°C. This is important because it violates van Uden’s rule, which states that the yeast strains of a particular species cannot have their maximum growth temperature vary by more than 5°C.[19] However, some debate exists as to whether or not this maximum temperature range for the strains of C. albidus is accurate, because other research has shown that C. albidus var. albidus strains cannot grow at 37°C.[17] Another variety, 'C. albidus var. diffluens is different from C. neoformans in that it can assimilate melibiose, but not galactose.[8]

C. uniguttulatus

C. uniguttulatus (Filobasidium uniguttulatus is a teleomorph) was the first non-neoformans Cryptococcus to infect a human. It was isolated from ventricular fluid from a patient having had a neurosurgical procedure. This species was found to be very sensitive to amphotericin B at the minimum inhibitory dose. This species was first isolated from a human nail.

Noninfectious species

  • Cryptococcus adeliensis
  • Cryptococcus aerius
  • Cryptococcus albidosimilis
  • Cryptococcus antarcticus
  • Cryptococcus aquaticus
  • Cryptococcus ater
  • Cryptococcus bhutanensis
  • Cryptococcus consortionis
  • Cryptococcus curvatus
  • Cryptococcus mangaliensis
  • Cryptococcus phenolicus
  • Cryptococcus skinneri
  • Cryptococcus terreus
  • Cryptococcus vishniacci

References

Data related to Cryptococcus (Tremellaceae) at Wikispecies

  1. ^ Grijpstra J, Tefsen B, van Die I, de Cock H (November 2009). "The Cryptococcus neoformans cap10 and cap59 mutant strains, affected in glucuronoxylomannan synthesis, differentially activate human dendritic cells". FEMS Immunology and Medical Microbiology. 57 (2): 142–50. doi:10.1111/j.1574-695X.2009.00587.x. PMID 19694810.
  2. ^ Casadevall A and Perfect JR (1998) Cryptococcus neoformans. American Society for Microbiology, ASM Press, Washington DC, 1st edition.
  3. ^ Cogliati M (2013). "Global Molecular Epidemiology of Cryptococcus neoformans and Cryptococcus gattii: An Atlas of the Molecular Types". Scientifica. 2013: 675213. doi:10.1155/2013/675213. PMC 3820360. PMID 24278784.
  4. ^ Idnurm A, Bahn YS, Nielsen K, Lin X, Fraser JA, Heitman J (October 2005). "Deciphering the model pathogenic fungus Cryptococcus neoformans". Nature Reviews. Microbiology. 3 (10): 753–64. doi:10.1038/nrmicro1245. PMID 16132036. S2CID 1578754.
  5. ^ Springer DJ, Billmyre RB, Filler EE, Voelz K, Pursall R, Mieczkowski PA, Larsen RA, Dietrich FS, May RC, Filler SG, Heitman J (August 2014). "Cryptococcus gattii VGIII isolates causing infections in HIV/AIDS patients in Southern California: identification of the local environmental source as arboreal". PLOS Pathogens. 10 (8): e1004285. doi:10.1371/journal.ppat.1004285. PMC 4140843. PMID 25144534.
  6. ^ Cheng MF, Chiou CC, Liu YC, Wang HZ, Hsieh KS (April 2001). "Cryptococcus laurentii fungemia in a premature neonate". Journal of Clinical Microbiology. 39 (4): 1608–11. doi:10.1128/JCM.39.4.1608-1611.2001. PMC 87980. PMID 11283097.
  7. ^ a b c "What is Cryptococcus infection (cryptococcosis)?". Center for Disease Control and Prevention. April 28, 2010. Retrieved 8 March 2012.
  8. ^ a b c d Labrecque O., Sylvestre D. and Messier S. (2005) Systemic Cryptococcus albidus infection in a Doberman Pinscher. J Vet Diagn Invest 17:598-600
  9. ^ Rodrigues ML, Nakayasu ES, Oliveira DL, Nimrichter L, Nosanchuk JD, Almeida IC, Casadevall A (January 2008). "Extracellular vesicles produced by Cryptococcus neoformans contain protein components associated with virulence". Eukaryotic Cell. 7 (1): 58–67. doi:10.1128/EC.00370-07. PMC 2224146. PMID 18039940.
  10. ^ Tefsen B, Grijpstra J, Ordonez S, Lammers M, van Die I, de Cock H (2013). "Deletion of the CAP10 gene of Cryptococcus neoformans results in a pleiotropic phenotype with changes in expression of virulence factors". Research in Microbiology. 165 (6): 399–410. doi:10.1016/j.resmic.2014.04.001. PMID 24751576.
  11. ^ Wolf JM, Espadas-Moreno J, Luque-Garcia JL, Casadevall A (December 2014). "Interaction of Cryptococcus neoformans extracellular vesicles with the cell wall". Eukaryotic Cell. 13 (12): 1484–93. doi:10.1128/EC.00111-14. PMC 4248683. PMID 24906412.
  12. ^ a b Sugita T, Cho O, Takashima M (2017) Current status of taxonomy of pathogenic yeasts. Med Mycol J 58(3):J77-J81
  13. ^ Lindberg J, Hagen F, Laursen A, Stenderup J, Boekhout T (January 2007). "Cryptococcus gattii risk for tourists visiting Vancouver Island, Canada". Emerging Infectious Diseases. 13 (1): 178–9. doi:10.3201/eid1301.060945. PMC 2725802. PMID 17370544.
  14. ^ MacDougall L, Kidd SE, Galanis E, Mak S, Leslie MJ, Cieslak PR, Kronstad JW, Morshed MG, Bartlett KH (January 2007). "Spread of Cryptococcus gattii in British Columbia, Canada, and detection in the Pacific Northwest, USA". Emerging Infectious Diseases. 13 (1): 42–50. doi:10.3201/eid1301.060827. PMC 2725832. PMID 17370514.
  15. ^ Fonseca A, Scorzetti G, Fell JW (January 2000). "Diversity in the yeast Cryptococcus albidus and related species as revealed by ribosomal DNA sequence analysis". Canadian Journal of Microbiology. 46 (1): 7–27. doi:10.1139/w99-108. PMID 10696468.
  16. ^ a b "Cryptococcus albidus". Dr. Fungus. Archived from the original on 2010-11-06.
  17. ^ a b c (2006) 0609-1 Cryptococcus albidus. Cmpt Mycol Plus
  18. ^ "Cryptococcus albidus". Mycology Online. The University of Adelaide. Archived from the original on 2004-06-30.
  19. ^ Thomas-Hall S, Watson K, Scorzetti G (November 2002). "Cryptococcus statzelliae sp. nov. and three novel strains of Cryptococcus victoriae, yeasts isolated from Antarctic soils". International Journal of Systematic and Evolutionary Microbiology. 52 (Pt 6): 2303–8. doi:10.1099/00207713-52-6-2303. PMID 12508901.
This article is copied from an article on Wikipedia® - the free encyclopedia created and edited by its online user community. The text was not checked or edited by anyone on our staff. Although the vast majority of Wikipedia® encyclopedia articles provide accurate and timely information, please do not assume the accuracy of any particular article. This article is distributed under the terms of GNU Free Documentation License.

Copyright © 2003-2025 Farlex, Inc Disclaimer
All content on this website, including dictionary, thesaurus, literature, geography, and other reference data is for informational purposes only. This information should not be considered complete, up to date, and is not intended to be used in place of a visit, consultation, or advice of a legal, medical, or any other professional.