Wikipedia

Palatine uvula

Also found in: Dictionary, Medical, Encyclopedia.
(redirected from uvula)
Uvula
LuettePalatineUvula.svg
The uvula is located in the human mouth
Details
Pronunciation/ˈjuːvjʊlə/
LocationMouth
Identifiers
Latinuvula palatina
MeSHD014609
TA98A05.2.01.004
TA22781
FMA55022
Anatomical terminology

The palatine uvula, usually referred to as simply the uvula, is a conic projection from the back edge of the middle of the soft palate, composed of connective tissue containing a number of racemose glands, and some muscular fibers.[1][2] It also contains many serous glands, which produce thin saliva.[3]

Structure

Muscle

The muscular part of the uvula (Latin: musculus uvulae) shortens and broadens the uvula. This changes the contour of the posterior part of the soft palate. This change in contour allows the soft palate to adapt closely to the posterior pharyngeal wall to help close the nasopharynx during swallowing.[4]

Its muscles are controlled by the pharyngeal branch of the vagus nerve.

Variation

The bifid uvula of a 24-year-old woman

A bifid or bifurcated uvula is a split or cleft uvula. Newborns with cleft palate often also have a split uvula. The bifid uvula results from incomplete fusion of the palatine shelves but it is considered only a slight form of clefting. Bifid uvulas have less muscle in them than a normal uvula, which may cause recurring problems with middle ear infections. While swallowing, the soft palate is pushed backwards, preventing food and drink from entering the nasal cavity. If the soft palate cannot touch the back of the throat while swallowing, food and drink can enter the nasal cavity.[5] Splitting of the uvula occurs infrequently but is the most common form of mouth and nose area cleavage among newborns. Bifid uvula occurs in about 2% of the general population,[6] although some populations may have a high incidence, such as Native Americans who have a 10% rate.[7]

Bifid uvula is a common symptom of the rare genetic syndrome Loeys–Dietz syndrome,[8] which is associated with an increased risk of aortic aneurysm.[9]

Function

During swallowing, the soft palate and the uvula move together to close off the nasopharynx, and prevent food from entering the nasal cavity.

It has also been proposed that the abundant amount of thin saliva produced by the uvula serves to keep the throat well lubricated.[3]

It has a function in speech as well. In many languages, the uvula is used to articulate a range of consonant sounds, known as uvular consonants. The voiced uvular trill, written [ʀ] in the International Phonetic Alphabet, is one example; it is used in French, Arabic and Hebrew, among other languages. Due to the large amount of saliva produced from glands in the uvula that are not present in other mammals it has been suggested that the uvula is an accessory speech organ.[10]

Stimulation of the uvula also causes the gag reflex to initiate. This is often a problem for people with uvula piercings, and a common method of inducing vomiting.

Clinical significance

Inflammation

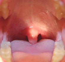
A swollen uvula with additional upper mouth ulcer in a run-down adult (common cold)

At times, the mucous membrane around the uvula may swell, causing the uvula to expand 3–5 times its normal size. This condition is known as uvulitis. When the uvula touches the throat or tongue, it can cause sensations like gagging or choking, although there is no foreign matter present. This can cause problems with breathing, talking, and eating.

There are many theories about what causes the uvula to swell, including dehydration (e.g. from arid weather); excessive smoking or other inhaled irritants; snoring; allergic reaction; or a viral or bacterial infection. An aphthous ulcer which has formed on the uvula can also cause swelling and discomfort.[11]

If the swelling is caused by dehydration, drinking fluids may improve the condition. If the cause is a bacterial infection, gargling salt water may help. However, it can also be a sign of other problems. Some people with a history of recurring uvulitis carry an epinephrine autoinjector to counteract symptoms of an attack. A swollen uvula is not normally life-threatening and subsides in a short time, typically within a day.

Snoring and sleep apnea

The uvula can also contribute to snoring or heavy breathing during sleep; having an elongated uvula can cause vibrations that lead to snoring. In some cases this can lead to sleep apnea, which may be treated by removal of the uvula or part of it if necessary, an operation known as uvulopalatopharyngoplasty (commonly referred to as UPPP, or UP3). However, this operation can also cause sleep apnea if scar tissue forms and the airspace in the velopharynx is decreased. The success of UPPP as a treatment for sleep apnea is unknown, but some research has shown 40–60% effectiveness in reducing symptoms.[12] Typically apnea subsides for the short term, but returns over the medium to long term, and sometimes is worse than it was before the UPPP.

Velopharyngeal insufficiency

In a small number of people, the uvula does not close properly against the back of the throat, causing a condition known as velopharyngeal insufficiency. This causes "nasal" (or more properly "hyper-nasal") speech, where extra air comes down the nose, and the speaker is unable to say certain consonants, such as pronouncing 'b' like 'm'.

Nasal regurgitation

During swallowing, the soft palate and the uvula move superiorly to close off the nasopharynx, preventing food from entering the nasal cavity. When this process fails, the result is called nasal regurgitation. It is common in people with VPI, the myositides, and neuromuscular disease. Regurgitation of fluids in this way may also occur if a particularly high volume of liquid is regurgitated, or during vigorous coughing, for example being caused by the accidental inhalation of water. Due to the action of coughing preventing the uvula from blocking the nasopharynx, liquid may be expelled back through the nose.

Society and culture

A child's swollen uvula with tonsils

In some parts of Africa, including Ethiopia and Eritrea, the uvula or a section of it is ritually removed by a traditional healer.[13] In this case, the uvula may be noticeably shortened. It is not thought to contribute to velopharyngeal inadequacy, except in cases where the tonsils have also been removed.[14]

History

Etymology

In Latin, ūvula means 'little grape', the diminutive form of ūva 'grape' (of unknown origin). A swollen uvula was called "ūva."[15]

See also

References

  1. ^ "eMedicine Definition". Archived from the original on 2008-02-16. Retrieved 2008-05-03.
  2. ^ Ten Cate's Oral Histology, Nanci, Elsevier, 2007, page 321
  3. ^ a b Back, GW; Nadig, S; Uppal, S; Coatesworth, AP (December 2004). "Why do we have a uvula?: literature review and a new theory". Clinical Otolaryngology and Allied Sciences. 29 (6): 689–93. doi:10.1111/j.1365-2273.2004.00886.x. PMID 15533161.
  4. ^ Illustrated Anatomy of the Head and Neck, Fehrenbach and Herring, Elsevier, 2012, page 108
  5. ^ "Split Uvula: Is It a Problem?". Retrieved 23 September 2007.
  6. ^ Shu, M.D., Jennifer (April 12, 2010). "Will a bifid uvula cause any problems?". CNN. Retrieved 2010-08-07.
  7. ^ McMillan, Julia A.; Feigin, Ralph D.; DeAngelis, Catherine; Jones, M. Douglas (2006). Oski's pediatrics: principles & practice (4th ed.). Lippincott Williams & Wilkins. p. 469. ISBN 978-0-7817-3894-1.
  8. ^ "Loeys-Dietz Syndrom Foundation". Archived from the original on 5 August 2012. Retrieved 25 March 2010.
  9. ^ Vilacosta, Isidre; Godoy, Victoria Cañadas (2008). "Bifid Uvula and Aortic Aneurysm". New England Journal of Medicine. 359 (2): e2. doi:10.1056/NEJMicm070582. PMID 18614778.
  10. ^ Finkelstein Y, Meshorer A, Talmi Y, Zohar Y, Brenner J, Gal R (1992). "The riddle of the uvula". Otolaryngol Head Neck Surg. 107 (3): 444–50. doi:10.1177/019459989210700318. PMID 1408233. S2CID 25135787.
  11. ^ Biblo LA, Gilbert IA (May 1983). "Aphthous ulcer of the uvula and the painful burp". N. Engl. J. Med. 308 (19): 1168. doi:10.1056/NEJM198305123081922. PMID 6835348.
  12. ^ Lehnert, Paul (3 August 2005). "Uvulopalatopharyngoplasty for obstructive sleep apnea". Retrieved 26 October 2006.
  13. ^ Ethiopian Refugees
  14. ^ Hartley B, Rowe-Jones J (1994). "Uvulectomy to prevent throat infections". J Laryngol Otol. 108 (1): 65–6. doi:10.1017/s0022215100125873. PMID 8133174.
  15. ^ The American Heritage Dictionary of the English Language (4th ed.). Boston: Houghton Mifflin. 2000. p. 1896. ISBN 978-0618082308.

External links

This article is copied from an article on Wikipedia® - the free encyclopedia created and edited by its online user community. The text was not checked or edited by anyone on our staff. Although the vast majority of Wikipedia® encyclopedia articles provide accurate and timely information, please do not assume the accuracy of any particular article. This article is distributed under the terms of GNU Free Documentation License.

Copyright © 2003-2025 Farlex, Inc Disclaimer
All content on this website, including dictionary, thesaurus, literature, geography, and other reference data is for informational purposes only. This information should not be considered complete, up to date, and is not intended to be used in place of a visit, consultation, or advice of a legal, medical, or any other professional.