Wikipedia

Tailor's bunion

Also found in: Dictionary, Medical, Encyclopedia.
Tailor's bunion
Other namesBunionette or Digitus quintus varus
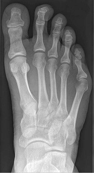
Schneiderballen 41M - CR ap - 001.jpg
Radiograph showing a tailor's bunion
SpecialtyPodiatry

Tailor's bunion is a condition caused as a result of inflammation of the fifth metatarsal bone at the base of the little toe.[1]

It is usually characterized by inflammation, pain and redness of the little toe.

Often a tailor's bunion is caused by a faulty mechanical structure of the foot. The fifth metatarsal bone starts to protrude outward, while the little toe moves inward. This change in alignment creates an enlargement on the outside of the foot.

It is mostly similar to a bunion (the same type of ailment affecting the big toe). It is called Tailor's Bunion because in past centuries, tailors sat cross-legged,[2] and this was thought to cause this protrusion on the outside aspect of the foot.

Treatment

Non-surgical therapies include:[1]

  • Shoe modifications: wearing shoes that have a wide toe box, and avoiding those with pointed toes or high heels.
  • Oral nonsteroidal anti-inflammatory drugs may help in relieving the pain and inflammation.
  • Injections of corticosteroid are commonly used to treat the inflammation.
  • Bunionette pads placed over the affected area may help reduce pain.
  • An ice pack may be applied to reduce pain and inflammation.

Surgery is often considered when pain continues for a long period with no improvement in these non-surgical therapies.

Diagnosis

Tailor's bunion is easily diagnosed because the protrusion is visually apparent. X-rays may be ordered to help the surgeon find out the severity of the deformity.

See also

  • Tailor's muscle

References

  1. ^ a b "Tailor's Bunion". footphysicians.com. Retrieved December 31, 2009.
  2. ^ "A Patient's Guide to Bunionette (Tailor's Bunion)". Medical Multimedia Group. July 22, 2002. Retrieved May 3, 2015.
This article is copied from an article on Wikipedia® - the free encyclopedia created and edited by its online user community. The text was not checked or edited by anyone on our staff. Although the vast majority of Wikipedia® encyclopedia articles provide accurate and timely information, please do not assume the accuracy of any particular article. This article is distributed under the terms of GNU Free Documentation License.

Copyright © 2003-2025 Farlex, Inc Disclaimer
All content on this website, including dictionary, thesaurus, literature, geography, and other reference data is for informational purposes only. This information should not be considered complete, up to date, and is not intended to be used in place of a visit, consultation, or advice of a legal, medical, or any other professional.