Wikipedia

Superficial spreading melanoma

Also found in: Dictionary, Medical, Encyclopedia.
Superficial spreading melanoma
Other namesSuperficially spreading melanoma[1]
Skin Tumors-450.jpg
SpecialtyDermatology

Superficial spreading melanoma (SSM) is usually characterized as the most common form of cutaneous melanoma[2] in Caucasians. The average age at diagnosis is in the fifth decade, and it tends to occur on sun-exposed skin, especially on the backs of males and lower limbs of females.

Signs and symptoms

Often, this disease evolves from a precursor lesion, usually a dysplastic nevus. Otherwise it arises in previously normal skin. A prolonged radial growth phase, where the lesion remains thin, may eventually be followed by a vertical growth phase where the lesion becomes thick and nodular. As the risk of spread varies with the thickness, early SSM is more frequently cured than late nodular melanoma.

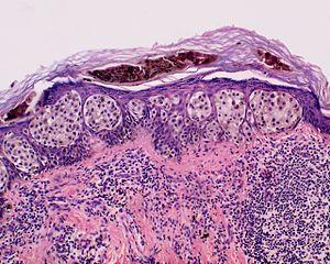
Histopathology

The microscopic hallmarks are:

  • Large melanocytic cells with nest formation along the dermo-epidermal junction.
  • Invasion of the upper epidermis in a pagetoid fashion (discohesive single cell growth).
  • The pattern of rete ridges is often effaced.
  • Invasion of the dermis by atypical, pleomorphic melanocytes
  • Absence of the 'maturation' typical of naevus cells
  • Mitoses

Treatment

Treatment is by excisional biopsy, wide local excision and possibly sentinel node biopsy. Spread of disease to local lymph nodes or distant sites (typically brain, bone, skin and lung) marks a decidedly poor prognosis.

See also

References

  1. ^ James, William D.; Berger, Timothy G.; et al. (2006). Andrews' Diseases of the Skin: clinical Dermatology. Saunders Elsevier. ISBN 0-7216-2921-0.
  2. ^ Forman SB, Ferringer TC, Peckham SJ, et al. (June 2008). "Is superficial spreading melanoma still the most common form of malignant melanoma?". J. Am. Acad. Dermatol. 58 (6): 1013–20. doi:10.1016/j.jaad.2007.10.650. PMID 18485983.

External links

Classification
This article is copied from an article on Wikipedia® - the free encyclopedia created and edited by its online user community. The text was not checked or edited by anyone on our staff. Although the vast majority of Wikipedia® encyclopedia articles provide accurate and timely information, please do not assume the accuracy of any particular article. This article is distributed under the terms of GNU Free Documentation License.

Copyright © 2003-2025 Farlex, Inc Disclaimer
All content on this website, including dictionary, thesaurus, literature, geography, and other reference data is for informational purposes only. This information should not be considered complete, up to date, and is not intended to be used in place of a visit, consultation, or advice of a legal, medical, or any other professional.