Wikipedia

Pneumonolysis

Also found in: Medical.
(redirected from plombage)
Pneumonolysis
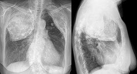
Oleothorax bei Tuberkulose 80jw - Roe ap und seitlich - 001.jpg
X-ray in an elderly woman after Pneumonolysis
MeSHD011025

Pneumonolysis, sometimes referred to as plombage, is the separation of an adherent lung from the pleura, to permit collapse of the lung. It was formerly used to treat tuberculosis before effective medications were developed.[1]

The underlying theory of the treatment was the belief that if the diseased lobe of the lung was physically forced to collapse, it would heal quickly. There were positive results in tuberculosis therapy following plombage in the decades of the 1930s, 1940s and early-1950s. However, with the introduction of drugs which were effective in destroying the tuberculosis bacterium (Mycobacterium tuberculosis), plombage treatment fell into disfavor. In addition, complications of plombage began to appear in patients who had been so treated. These complications included hemorrhage, infection and fistulization (abnormal opening between two hollow organs) of the bronchus, aorta, esophagus and skin.

The technique involved surgically creating a cavity underneath the ribs in the upper part of the chest wall and filling this space with some inert material. A variety of substances were typically used and included air, olive or mineral oil, gauze, paraffin wax, rubber sheeting or bags and Lucite balls. The inserted material would force the upper lobe of the lung to collapse.

References

  1. ^ Principles and Practice of Surgery (7 ed.). Elsevier. 2018. pp. 409–428.

External links

  • Media related to Pneumonolysis at Wikimedia Commons
This article is copied from an article on Wikipedia® - the free encyclopedia created and edited by its online user community. The text was not checked or edited by anyone on our staff. Although the vast majority of Wikipedia® encyclopedia articles provide accurate and timely information, please do not assume the accuracy of any particular article. This article is distributed under the terms of GNU Free Documentation License.

Copyright © 2003-2025 Farlex, Inc Disclaimer
All content on this website, including dictionary, thesaurus, literature, geography, and other reference data is for informational purposes only. This information should not be considered complete, up to date, and is not intended to be used in place of a visit, consultation, or advice of a legal, medical, or any other professional.