Wikipedia

Orthodontics

Also found in: Dictionary, Medical, Encyclopedia.
(redirected from orthodontist)
Orthodontist
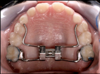
Brackets06.jpg
Occupation
NamesOrthodontist
Occupation type
Specialty
Activity sectors
Dentistry
Description
Education required
Dental degree, specialty training
Fields of
employment
Private practices, hospitals

Orthodontics[a][b] is a specialty of dentistry that deals with the diagnosis, prevention, and correction of malpositioned teeth and jaws, and misaligned bite patterns.[2] It can also focus on modifying facial growth, known as dentofacial orthopedics.

Abnormal alignment of the teeth and jaws is common. Nearly 50% of the population, according to the American Association of Orthodontics, has malocclusions severe enough to benefit from orthodontic treatment.: although this figure decreases to less than 10% according to the same AAO statement when referring to medically necessary orthodontics. There is a lack of strong scientific evidence for the health benefits of orthodontic treatment - a fact the academic journals and professional associations in the field of orthodontics were slow to admit.[3][4] Treatment can take several months to a few years, it involves the use of dental braces and other appliances to slowly move the teeth and jaws around. If the malocclusion is very severe, jaw surgery may be used. Treatment is usually started before a person reaches adulthood since bones can more easily be moved around in children.

History

Orthodontics as a modern science dates back to the mid 1800s.[5] Influential contributors to the field include Norman William Kingsley[5] (1829–1913) and Edward Angle[6] (1855–1930). Angle created the first simple system for classifying malocclusions, a system which is still used today.[5]

Until the mid 1970s, braces were made by wrapping metal around each tooth.[5] With advancements in adhesives it became possible to bond metal brackets to the teeth instead.[5]

Methods

Upper and lower jaw functional expanders

A typical treatment for incorrectly positioned teeth (malocclusion) takes about 1 to 3 years to complete, with braces being altered slightly every 4 to 10 weeks by the specialists called orthodontists.[7] Orthodontists are dental specialists who are University-trained in the prevention, diagnosis and treatment of dental and facial irregularities. They provide a wide range of treatment options to straighten crooked teeth, fix bad bites and align the jaws correctly.[8] Multiple methods exist for adjusting malocclusion. In growing patients there are more options for treating skeletal discrepancies, either promoting or restricting growth using functional appliances, orthodontic headgear or a reverse pull facemask. Most orthodontic work is started during the early permanent dentition stage before skeletal growth is completed. If skeletal growth has completed, jaw surgery can be an option. Sometimes teeth are extracted to aid the orthodontic treatment (teeth are extracted in about half of all the cases, most commonly the premolars).[9]

Orthodontic therapy can include the use of fixed or removable appliances. The majority of orthodontic therapy is delivered using appliances that are fixed in place,[10] for example with braces that are bonded to the teeth with adhesives. Fixed appliances can have a greater mechanical control of the teeth and the treatment outcome is greater with the use of fixed appliances.

Fixed appliances are, for example, used to rotate teeth that don't fit the arch shape of the other teeth, to move multiple teeth to different places, to change the angle of teeth, or to change the position of the root of the tooth. It is not preferable if the patient has poor oral hygiene (as that can result in decalcification, tooth decay, and other problems), if the patient isn't motivated (as treatment lasts several months and commitment to oral hygiene is required), or if the malocclusions are mild.

Braces

Dental braces.

Braces are usually placed on the front side of the teeth, but may also be placed on the side facing the tongue (called lingual braces). Brackets made out of stainless steel or porcelain are bonded to the center of the teeth using an adhesive. Wires are placed in a slot in the brackets which allows for controlled movement in all three dimensions.

Apart from wires, forces can be applied using elastic bands,[11] and springs may be used to push teeth apart or to close a gap. Several teeth may be tied together with ligatures and different kinds of hooks can be placed to allow for connecting an elastic band.[12][11]

Clear aligners are an alternative to braces, but insufficient evidence exists to determine their effectiveness.[13]

Treatment Duration

The time required for braces varies from person to person, depending on the severity of the problem; the amount of room available; the distance the teeth must travel; the health of the teeth, gums, and supporting bone; and how closely the patient follows instructions. On average, however, once the braces are put on, they usually remain in place for one to three years. After braces are removed, most patients will need to wear a retainer all the time for the first six months, then only during sleep for many years.[14]

Headgear

Orthodontic headgear—sometimes referred to as an "extra-oral appliance"—is a treatment approach that requires the patient to have a device strapped onto his or her head to help correct malocclusion—typically used when the teeth do not align properly. Headgear is most often used along with braces or other orthodontic appliances. While braces correct the position of teeth, orthodontic headgear—which as the name suggests is worn on or is strapped onto the patient's head—is most often added to orthodontic treatment to help alter the alignment of the jaw, although there are some situations in which such an appliance can help move teeth, particularly molars.

Whatever the purpose, orthodontic headgear works by exerting tension on the braces via hooks, a facebow, coils, elastic bands, metal orthodontic bands, and other attachable appliances directly into the patient's mouth. It is most effective for children and teenagers because their jaws are still developing and can be easily manipulated. (If an adult is fitted with headgear, it is usually to help correct the position of teeth that have shifted after other teeth have been extracted.) Thus Headgear is typically used to treat a number of jaw alignment or bite problems such as overbite and underbite.[15]

Palatal expansion

Palatal expansion can be achieved using either fixed or removable appliances.[16]

Jaw surgery

Jaw surgery may be required to fix severe malocclusions. The bone is broken during surgery and is stabilised with titanium (or bioresorbable) plates and screws to allow for healing to take place.[17] After surgery, regular orthodontic treatment is used to move the teeth into their final position.[18]

During treatment

To reduce pain during the orthodontic treatment, low level laser therapy (LLLT), vibratory devices, chewing adjuncts, brainwave musics or cognitive behavioral therapy can be used. However, the supporting evidence is of low quality and the results are inconclusive.[19]

Post treatment

After orthodontic treatment has completed, there is a tendency for teeth to return, or relapse, back to their pre-treatment positions. Over 50% of patients have some reversion to pre-treatment positions within 10 years following treatment.[20] To prevent relapse, the majority of patients will be offered a retainer once treatment has completed, and will benefit from wearing their retainers. Retainers can be either fixed or removable.

Removable retainers

Removable retainers are made from a clear plastic, and they are custom-fitted for the patient's mouth. It has a tight fit and holds all of the teeth in position. There are many types of brands for clear retainers including, Zendura Retainer, Essix Retainer and Vivera Retainer.[21] Hawley retainer is also a removable orthodontic appliance made from a combination of plastic and metal that is molded custom to fit the patient's mouth. Removable retainers will be worn for different periods of time depending on patient need to stabilise the dentition.[22]

Fixed retainers

Fixed retainers are a simple wire fixed to the tongue-facing part of the incisors using dental adhesive and can be specifically useful to prevent rotation in incisors. Other types of fixed retainers can include labial or lingual braces, with brackets fixed to the teeth.[22]

Training

There are several speciality areas in dentistry, but the speciality of orthodontics was the first to be recognized within dentistry.[23] Specifically, the American Dental Association recognized orthodontics as a speciality in the 1950s.[23] Each country has their own system for training and registering orthodontic specialists.

Australia

In Australia, to obtain an accredited three-year full-time university degree in orthodontics you will need to be a qualified dentist (complete an AHPRA registered general dental degree) with a minimum of two years clinical experience. There are several universities in Australia that offer orthodontic programs: University of Adelaide, University of Melbourne, University of Sydney, University of Queensland, University of Western Australia, University of Otago.[24] Orthodontic Courses are accredited by the Australian Dental Council and reviewed by the Australian Society of Orthodontists (ASO). Prospective applicants should obtain information from the relevant institution before applying for admission.[25] After completing a degree in orthodontics, specialists are required to be registered with the Australian Health Practitioners Regulation Agency (AHPRA) in order to practise.[26][27]

Bangladesh

Dhaka Dental College in Bangladesh is one of the many schools recognized by the Bangladesh Medical and Dental Council (BM&DC) that offer post-graduation orthodontic courses.[28][29] Before applying to any post-graduation training courses, an applicant must have completed the Bachelor of Dental Surgery (BDS) examination from any dental college.[28] After application, the applicant must take an admissions test held by the specific college.[28] When successful, selected candidates undergo training for six months.[30]

Canada

In Canada, obtaining a dental degree, such as a Doctor of Dental Surgery (DDS) or Doctor of Medical Dentistry (DMD), would be required before being accepted by a school for orthodontic training.[31] Currently, there are 10 schools in the country offering the orthodontic specialty.[31] Candidates should contact the individual school directly to obtain the most recent pre-requisites before entry.[31] The Canadian Dental Association expects orthodontists to complete at least two years of post-doctoral, specialty training in orthodontics in an accredited program, after graduating from their dental degree.

Pakistan

In Pakistan to be enrolled as a student or resident in postgraduation orthodontic course approved by Pakistan Medical and Dental Council, the dentist must graduate with a Bachelor of Dental Surgery (BDS) or equivalent degree. Pakistan Medical & Dental Council (PMDC) has a recognized program in Orthodontics[32] as Master in Dental Surgery (MDS) orthodontics and FCPS orthodontics as 4 years post graduate degree programs, the latter of which is conducted by CPSP Pakistan.

United States

Similar to Canada, there are several colleges and universities in the United States that offer orthodontic programs. Every school has a different enrollment process, but every applicant is required to have graduated with a DDS or DMD from an accredited dental school.[33][34] Entrance into an accredited orthodontics program is extremely competitive, and begins by passing a national or state licensing exam.[35]

The program generally lasts for two to three years, and by the final year, graduates are to complete the written American Board of Orthodontics (ABO) exam.[35] This exam is also broken down into two components: a written exam and a clinical exam.[35] The written exam is a comprehensive exam that tests for the applicant's knowledge of basic sciences and clinical concepts.[35] The clinical exam, however, consists of a Board Case Oral Examination (BCOE), a Case Report Examination (CRE), and a Case Report Oral Examination (CROE).[35] Once certified, certification must then be renewed every ten years.[35] Orthodontic programs can award the Master of Science degree, Doctor of Science degree, or Doctor of Philosophy degree depending on the school and individual research requirements.[36]

United Kingdom

Throughout the United Kingdom, there are several Orthodontic Specialty Training Registrar posts available.[37] The program is full-time for three years, and upon completion, trainees graduate with a degree at the Masters or Doctorate level.[37] Training may take place within hospital departments that are linked to recognized dental schools.[37] Obtaining a Certificate of Completion of Specialty Training (CCST) allows an orthodontic specialist to be registered under the General Dental Council (GDC).[37] An orthodontic specialist can provide care within a primary care setting, but to work at a hospital as an orthodontic consultant, higher level training is further required as a post-CCST trainee.[37] To work within a university setting, as an academic consultant, completing research toward obtaining a PhD is also required.[37]

See also

Notes

  1. ^ Formerly referred to as orthodontia
  2. ^ "Orthodontics" is derived from the Greek orthos ("correct", "straight") and -odont ("tooth").[1]

References

  1. ^ "Definition of orthodontics | Dictionary.com". www.dictionary.com. Retrieved 2019-08-28.
  2. ^ "What is orthodontics?// Useful Resources: FAQ and Downloadable eBooks". Orthodontics Australia. Retrieved 2020-08-13.
  3. ^ "Evidence and Orthodontics: Does Your Child Really Need Braces?". Undark Magazine. 2020-07-20. Retrieved 2020-07-27.
  4. ^ "Controversial report finds no proof that dental braces work". British Dental Journal. 226 (2): 91. 2019-01-01. doi:10.1038/sj.bdj.2019.65. ISSN 1476-5373. S2CID 59222957.
  5. ^ a b c d e "A Brief History of Orthodontic Braces – ArchWired". www.archwired.com. 17 July 2019.
  6. ^ Peck S (November 2009). "A biographical portrait of Edward Hartley Angle, the first specialist in orthodontics, part 1". The Angle Orthodontist. 79 (6): 1021–7. doi:10.2319/021009-93.1. PMID 19852589.
  7. ^ Fleming PS, Fedorowicz Z, Johal A, El-Angbawi A, Pandis N, et al. (The Cochrane Collaboration) (June 2015). "Surgical adjunctive procedures for accelerating orthodontic treatment". The Cochrane Database of Systematic Reviews. John Wiley & Sons, Ltd (6): CD010572. doi:10.1002/14651858.cd010572. PMC 6464946. PMID 26123284.
  8. ^ "What is an Orthodontist?". Orthodontics Australia. 5 December 2019.
  9. ^ Dardengo C, Fernandes LQ, Capelli Júnior J (February 2016). "Frequency of orthodontic extraction". Dental Press Journal of Orthodontics. 21 (1): 54–9. doi:10.1590/2177-6709.21.1.054-059.oar. PMC 4816586. PMID 27007762.
  10. ^ "Child Dental Health Survey 2013, England, Wales and Northern Ireland". digital.nhs.uk. Retrieved 2018-03-08.
  11. ^ a b "Elastics For Braces: Rubber Bands in Orthodontics". Orthodontics Australia. 2019-12-15. Retrieved 2020-12-13.
  12. ^ Mitchell L (2013). An Introduction to Orthodontics. Oxford Medical Publications. pp. 220–233.
  13. ^ Rossini G, Parrini S, Castroflorio T, Deregibus A, Debernardi CL (September 2015). "Efficacy of clear aligners in controlling orthodontic tooth movement: a systematic review". The Angle Orthodontist. 85 (5): 881–9. doi:10.2319/061614-436.1. PMID 25412265. S2CID 10787375. The quality level of the studies was not sufficient to draw any evidence-based conclusions.
  14. ^ "Dental Braces and Retainers".
  15. ^ Millett DT, Cunningham SJ, O'Brien KD, Benson PE, de Oliveira CM (February 2018). "Orthodontic treatment for deep bite and retroclined upper front teeth in children". The Cochrane Database of Systematic Reviews. 2: CD005972. doi:10.1002/14651858.CD005972.pub4. PMC 6491166. PMID 29390172.
  16. ^ "[1]
  17. ^ Agnihotry A, Fedorowicz Z, Nasser M, Gill KS, et al. (The Cochrane Collaboration) (October 2017). Zbigniew F (ed.). "Resorbable versus titanium plates for orthognathic surgery". The Cochrane Database of Systematic Reviews. John Wiley & Sons, Ltd. 10: CD006204. doi:10.1002/14651858.cd006204. PMC 6485457. PMID 28977689.
  18. ^ "British Orthodontic Society > Public & Patients > Your Jaw Surgery". www.bos.org.uk. Retrieved 2019-08-28.
  19. ^ Fleming PS, Strydom H, Katsaros C, MacDonald L, Curatolo M, Fudalej P, Pandis N (December 2016). Cochrane Oral Health Group (ed.). "Non-pharmacological interventions for alleviating pain during orthodontic treatment". The Cochrane Database of Systematic Reviews. 12: CD010263. doi:10.1002/14651858.CD010263.pub2. PMC 6463902. PMID 28009052.
  20. ^ Yu Y, Sun J, Lai W, Wu T, Koshy S, Shi Z (September 2013). "Interventions for managing relapse of the lower front teeth after orthodontic treatment". The Cochrane Database of Systematic Reviews (9): CD008734. doi:10.1002/14651858.CD008734.pub2. PMID 24014170.
  21. ^ "Clear Retainers | Maintain Your Hard to Get Smile with Clear Retainers". Retrieved 2020-01-13.
  22. ^ a b Littlewood SJ, Millett DT, Doubleday B, Bearn DR, Worthington HV, et al. (The Cochrane Collaboration) (January 2016). "Retention procedures for stabilising tooth position after treatment with orthodontic braces". The Cochrane Database of Systematic Reviews. John Wiley & Sons, Ltd (1): CD002283. doi:10.1002/14651858.cd002283. PMC 7138206. PMID 26824885.
  23. ^ a b Christensen GJ (March 2002). "Orthodontics and the general practitioner". Journal of the American Dental Association. 133 (3): 369–71. doi:10.14219/jada.archive.2002.0178. PMID 11934193.
  24. ^ "How to become an orthodontist". Orthodontics Australia. 26 September 2017.
  25. ^ "Studying orthodontics". Australian Society of Orthodontists. 26 September 2017.
  26. ^ "Specialties and Specialty Fields". Australian Health Practitioners Regulation Agency.
  27. ^ "Medical Specialties and Specialty Fields". Medical Board of Australia.
  28. ^ a b c "Dhaka Dental College". Dhaka Dental College. Archived from the original on October 28, 2017. Retrieved October 28, 2017.
  29. ^ "List of recognized medical and dental colleges". Bangladesh Medical & Dental Council (BM&DC). Retrieved October 28, 2017.
  30. ^ "Orthodontic Facts - Canadian Association of Orthodontists". Canadian Association of Orthodontists. Retrieved 26 October 2017.
  31. ^ a b c "FAQ: I Want To Be An Orthodontist - Canadian Association of Orthodontists". Canadian Association of Orthodontists. Retrieved 26 October 2017.
  32. ^ "Orthodontics (Dental Braces)". Royal Dental Care. Retrieved 2020-08-16.
  33. ^ "RCDC - Eligibility". The Royal College of Dentists of Canada. Retrieved 26 October 2017.
  34. ^ "Accredited Orthodontic Programs - AAO Members". www.aaoinfo.org.
  35. ^ a b c d e f "About Board Certification". American Board of Orthodontists. Retrieved 26 October 2017.
  36. ^ "Accredited Orthodontic Programs | AAO Members". American Association of Orthodontists. Retrieved 26 October 2017.
  37. ^ a b c d e f https://www.bos.org.uk/Portals/0/Public/docs/Careers/guidelines-on-orthodontic-specialty-training.pdf "Orthodontic Specialty Training in the UK" (PDF). British Orthodontic Society. British Orthodontic Society. Retrieved 28 October 2017.
This article is copied from an article on Wikipedia® - the free encyclopedia created and edited by its online user community. The text was not checked or edited by anyone on our staff. Although the vast majority of Wikipedia® encyclopedia articles provide accurate and timely information, please do not assume the accuracy of any particular article. This article is distributed under the terms of GNU Free Documentation License.

Copyright © 2003-2025 Farlex, Inc Disclaimer
All content on this website, including dictionary, thesaurus, literature, geography, and other reference data is for informational purposes only. This information should not be considered complete, up to date, and is not intended to be used in place of a visit, consultation, or advice of a legal, medical, or any other professional.