Wikipedia

Nucleated red blood cell

Also found in: Dictionary, Medical, Encyclopedia.
(redirected from normoblast)
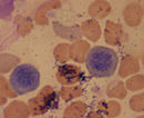
A human peripheral blood smear; NRBCs are visible as larger cells with dark centers.

A nucleated red blood cell (NRBC), also known by several other names, is a red blood cell that contains a cell nucleus. Almost all vertebrate organisms have hemoglobin-containing cells in their blood, and with the exception of mammals, all of these red blood cells are nucleated.[1] In mammals, NRBCs occur in normal development as precursors to mature red blood cells in erythropoiesis, the process by which the body produces red blood cells. NRBCs are normally found in the bone marrow of humans of all ages and in the blood of fetuses and newborn infants.[2][3] After infancy, RBCs normally contain a nucleus only during the very early stages of the cell's life, and the nucleus is ejected as a normal part of cellular differentiation before the cell is released into the bloodstream. Thus, if NRBCs are identified on an adult's complete blood count or peripheral blood smear, it suggests that there is a very high demand for the bone marrow to produce RBCs, and immature RBCs are being released into circulation. Possible pathologic causes include anemia, myelofibrosis, thalassemia, miliary tuberculosis, cancers involving bone marrow (myelomas, leukemias, lymphomas), and in chronic hypoxemia.[4]

Nomenclature

Several names are used for nucleated RBCs—erythroblast, normoblast, and megaloblast—with one minor variation in word sense. [5] [6] [7] [8] The name normoblast always refers to normal, healthy cells that are the immediate precursors of normal, healthy, mature (anucleate) RBCs. The name megaloblast always refers to abnormally developed precursors. Often the name erythroblast is used synonymously with normoblast, but at other times it is considered a hypernym. In the latter sense, there are two types of erythroblasts: normoblasts as cells that develop as expected, and megaloblasts as unusually large erythroblasts that are associated with illness.

Healthy development

There are four stages in the normal development of a normoblast.:

Illustration Description Image
Proerythroblast.png Pronormoblast
Basophilic erythroblast.png Basophilic normoblast Prorubricyte.jpg
Polychromatic erythroblast.png Polychromatic normoblast (also polychromatophilic) Rubricyte.jpg
Orthochromatic erythroblast.png Orthochromatic normoblast (also orthochromatophilic) Metarubricyte.jpg

Pathogenesis

A megaloblast is an unusually large erythroblast that can be associated with vitamin B12 deficiency (caused by pernicious anemia or dietary insufficiency), folic acid deficiency, or both (such anemias are collectively called megaloblastic anemias). This kind of anemia leads to macrocytes (abnormally large red cells) and the condition called macrocytosis. The cause of this cellular gigantism is an impairment in DNA replication that delays nuclear maturation and cell division. Because RNA and cytoplasmic elements are synthesized at a constant rate despite the cells' impaired DNA synthesis, the cells show nuclear-cytoplasmic asynchrony.

Additional images

See also

References

  1. ^ Hartenstein, V (2006). "Blood cells and blood cell development in the animal kingdom" (PDF). Annu Rev Cell Dev Biol. 22: 677–712. doi:10.1146/annurev.cellbio.22.010605.093317. PMID 16824014. Retrieved October 28, 2016.
  2. ^ Greer, JP; Arber, DA; Glader, BE; List, AF; Means, RM; Rodgers, GM (19 November 2018). "Chapter 1: Examination of the Blood and Bone Marrow, sec. "Nucleated Red Blood Cell Counts"". Wintrobe's Clinical Hematology (14th ed.). Wolters Kluwer Health. ISBN 978-1-4963-6713-6.
  3. ^ Kottke-Marchant, K; Davis, B (6 June 2012). Laboratory Hematology Practice. John Wiley & Sons. p. 294. ISBN 978-1-4443-9857-1.
  4. ^ Blood Smear: Details on RBCs, WBCs
  5. ^ "Erythroblast" at Dorland's Medical Dictionary
  6. ^ "Normoblast" at Dorland's Medical Dictionary
  7. ^ "Megaloblast" at Dorland's Medical Dictionary
  8. ^ Normoblasts at the US National Library of Medicine Medical Subject Headings (MeSH)

External links

This article is copied from an article on Wikipedia® - the free encyclopedia created and edited by its online user community. The text was not checked or edited by anyone on our staff. Although the vast majority of Wikipedia® encyclopedia articles provide accurate and timely information, please do not assume the accuracy of any particular article. This article is distributed under the terms of GNU Free Documentation License.

Copyright © 2003-2025 Farlex, Inc Disclaimer
All content on this website, including dictionary, thesaurus, literature, geography, and other reference data is for informational purposes only. This information should not be considered complete, up to date, and is not intended to be used in place of a visit, consultation, or advice of a legal, medical, or any other professional.