Wikipedia

Nodule (medicine)

Nodule
Nodules.svg
SpecialtyDermatology

In medicine, nodules are small firm lumps, usually greater than 1 cm in diameter.[1][2] If filled with fluid they are referred to as cysts.[2] Smaller (less than 0.5 cm) raised soft tissue bumps may be termed papules.[3]

The evaluation of a skin nodule includes a description of its appearance, its location, how it feels to touch and any associated symptoms which may give clues to an underlying medical condition.[4]

Nodules in skin include dermatofibroma[5] and pyogenic granuloma.[6] Nodules may form on tendons and muscles in response to injury,[7] and are frequently found on vocal cords.[8] They may occur in organs such as the lung,[9] or thyroid,[10] or be a sign in other medical conditions such as rheumatoid arthritis.[11]

Characteristics

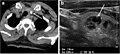
Nodules are small firm lumps usually greater than 1 cm in diameter, found in skin and other organs.[1][2] If filled with fluid they are usually softer and referred to as cysts.[2] Smaller (less than 0.5 cm) raised soft tissue bumps may be termed papules.[3]

Evaluation

The evaluation of a skin nodule includes a description of its appearance, its location, how it feels to touch and any associated symptoms which may give clues to an underlying medical condition.[4]

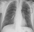
Often discovered unintentionally on a chest x-ray, a single nodule in the lung requires assessment to exclude cancer.[9]

Conditions

Nodules may form on tendons and muscles in response to injury,[7] and are frequently found on vocal cords,[8] They occur in conditions including endometriosis,[12] neurofibomatosis,[6] and in rheumatoid arthritis.[11] They may also feature in Kaposi's sarcoma[13] and gonorrhea.[14]

Other examples

Reference

  1. ^ a b Mosby (2013). Mosby's Medical Dictionary - E-Book. Elsevier. pp. 1235–1236. ISBN 978-0-323-11258-1.
  2. ^ a b c d Oakley, Amanda. "Terminology in dermatology | DermNet NZ". dermnetnz.org. Retrieved 13 January 2021.
  3. ^ a b Potter, Patricia A.; Perry, Anne Griffin; Stockert, Patricia; Hall, Amy (2014-03-25). Essentials for Nursing Practice - E-Book. Elsevier Health Sciences. ISBN 978-0-323-18881-4.
  4. ^ a b Evangelisto, Amy; Werth, Victoria; Schumacher, H. Ralph (October 2006). "What is that nodule? A diagnostic approach to evaluating subcutaneous and cutaneous nodules". Journal of Clinical Rheumatology: Practical Reports on Rheumatic & Musculoskeletal Diseases. 12 (5): 230–240. doi:10.1097/01.rhu.0000240034.72958.2f. ISSN 1076-1608. Retrieved 14 January 2021.
  5. ^ a b Linton, Christina P. (March 2011). "Essential Morphologic Terms and Definitions". Journal of the Dermatology Nurses' Association. 3 (2): 102–103. doi:10.1097/JDN.0b013e318211c6f0. ISSN 1945-760X. Retrieved 13 January 2021.
  6. ^ a b c d e "Dermal and subcutaneous lesions | DermNet NZ". dermnetnz.org. Retrieved 13 January 2021.
  7. ^ a b Ashton-Miller, James A. (1999). "Response of Muscle and Tendon to Injury and Overuse". National Academies Press (US). Retrieved 13 January 2021.
  8. ^ a b "BRITISH VOICE ASSOCIATION : Vocal nodules". www.britishvoiceassociation.org.uk. Retrieved 13 January 2021.
  9. ^ a b Kikano, George E.; Fabien, Andre; Schilz, Robert (15 December 2015). "Evaluation of the Solitary Pulmonary Nodule". American Family Physician. 92 (12): 1084–1091. ISSN 0002-838X. Retrieved 14 January 2021.
  10. ^ a b Britton, K. E.; Gilday, David L.; Maisey, Michael (2013-12-11). Clinical Nuclear Medicine. Springer. ISBN 978-1-4899-3358-4.
  11. ^ a b "Rheumatoid nodules in rheumatoid arthritis (RA)". NRAS. Retrieved 13 January 2021.
  12. ^ Nisenblat V, Bossuyt PM, Farquhar C, Johnson N, Hull ML (February 2016). "Imaging modalities for the non-invasive diagnosis of endometriosis". The Cochrane Database of Systematic Reviews. 2. doi:10.1002/14651858.cd009591.pub2. PMC 7100540. PMID 26919512. painful palpable nodules
  13. ^ Massi, Daniela; Luzar, Boštjan; Alos, Llucia (2016). "15. Common skin tumours of the head and neck". In Cardesa, Antonio; Slootweg, Pieter J.; Gale, Nina; Franchi, Alessandro (eds.). Pathology of the Head and Neck. Springer. p. 737. ISBN 978-3-662-49670-1.
  14. ^ Berg, Dale; Worzala, Katherine (2006). "3. Female genitourinary examination". Atlas of Adult Physical Diagnosis. Lippincott Williams & Wilkins. p. 55. ISBN 978-0-7817-4190-3.
  15. ^ "New York Thyroid Center: Thyroid Nodules". Archived from the original on 2010-09-17.
  16. ^ Ost D, Fein AM, Feinsilver SH; Fein; Feinsilver (June 2003). "Clinical practice. The solitary pulmonary nodule". New England Journal of Medicine. 348 (25): 2535–42. doi:10.1056/NEJMcp012290. PMID 12815140.

External links

This article is copied from an article on Wikipedia® - the free encyclopedia created and edited by its online user community. The text was not checked or edited by anyone on our staff. Although the vast majority of Wikipedia® encyclopedia articles provide accurate and timely information, please do not assume the accuracy of any particular article. This article is distributed under the terms of GNU Free Documentation License.

Copyright © 2003-2025 Farlex, Inc Disclaimer
All content on this website, including dictionary, thesaurus, literature, geography, and other reference data is for informational purposes only. This information should not be considered complete, up to date, and is not intended to be used in place of a visit, consultation, or advice of a legal, medical, or any other professional.