Wikipedia

Lipofuscin

Also found in: Medical, Encyclopedia.
Confocal image of a spinal motor neuron showing stained lipofuscin granules in blue and yellow.
Micrograph showing a cluster of lipofuscin particles (arrow) in a nerve cell of the brain; toluidine blue stain; scale bar = 10 microns (0.01 millimeters)

Lipofuscin is the name given to fine yellow-brown pigment granules composed of lipid-containing residues of lysosomal digestion.[1][2] It is considered to be one of the aging or "wear-and-tear" pigments, found in the liver, kidney, heart muscle, retina, adrenals, nerve cells, and ganglion cells.[3]

Formation and turnover

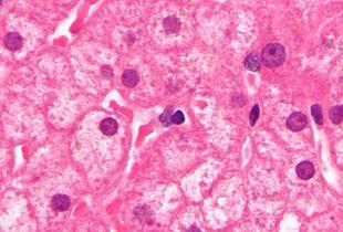
Micrograph showing lipofuscin, in brown/yellow, in a liver biopsy with ground glass hepatocytes; H&E stain

It appears to be the product of the oxidation of unsaturated fatty acids and may be symptomatic of membrane damage, or damage to mitochondria and lysosomes. Aside from a large lipid content, lipofuscin is known to contain sugars and metals, including mercury, aluminium, iron, copper and zinc.[4] Lipofuscin is also accepted as consisting of oxidized proteins (30–70%) as well as lipids (20–50%).[5] It is a type of lipochrome[6] and is specifically arranged around the nucleus.

The accumulation of lipofuscin-like material may be the result of an imbalance between formation and disposal mechanisms: Such accumulation can be induced in rats by administering a protease inhibitor (leupeptin); after a period of three months, the levels of the lipofuscin-like material return to normal, indicating the action of a significant disposal mechanism.[7] However, this result is controversial, as it is questionable if the leupeptin-induced material is true lipofuscin.[8][9] There exists evidence that "true lipofuscin" is not degradable in vitro;[10][11][12] whether this holds in vivo over longer time periods is not clear.

N-retinylidene-N-retinyl-ethanolamine (A2E, a lipofuscin example)

The ABCR -/- knockout mouse has delayed dark adaptation but normal final rod threshold relative to controls.[13] Bleaching the retina with strong light leads to formation of toxic cationic bis-pyridinium salt, N-retinylidene-N-retinyl-ethanolamine (A2E), which causes dry and wet age-related macular degeneration.[14] From this experiment, it was concluded that ABCR has a significant role in preventing formation of A2E in extracellular photoreceptor surfaces during bleach recovery.

Relation to diseases

Micrograph of heart muscle showing lipofuscin pigment, H&E stain

Lipofuscin accumulation in the eye, is a major risk factor implicated in macular degeneration, a degenerative disease,[15] and Stargardt disease, an inherited juvenile form of macular degeneration.

In the peripheral nervous system, abnormal accumulation of lipofuscin known as lipofuscinosis[1] is associated with a family of neurodegenerative disorders – neuronal ceroid lipofuscinoses, the most common of these is Batten disease.

Also, pathological accumulation of lipofuscin is implicated in Alzheimer's disease, Parkinson's disease, amyotrophic lateral sclerosis, certain lysosomal diseases, acromegaly, denervation atrophy, lipid myopathy, chronic obstructive pulmonary disease,[16] and centronuclear myopathy. Accumulation of lipofuscin in the colon is the cause of the condition melanosis coli.

On the other hand, myocardial lipofuscin accumulation more directly reflects chronological ageing rather than human cardiac pathology.[17]

Possible therapies

Calorie restriction,[4] vitamin E,[4] and increased glutathione appear to reduce or halt the production of lipofuscin.

The nootropic drug piracetam appears to significantly reduce accumulation of lipofuscin in the brain tissue of rats.[18]

Other possible treatments:

Wet macular degeneration can be treated using selective photothermolysis where a pulsed unfocused laser predominantly heats and kills lipofuscin-rich cells, leaving untouched healthy cells to multiply and fill in the gaps. The technique is also used as a skin treatment to remove tattoos, liverspots, and in general make skin appear younger. This ability to selectively target lipofuscin has opened up research opportunities in the field of anti-aging medicine.

A tetrahydropyridoether can remove lipofuscin from retinal pigment epithelial cells.[23] This opens up a new therapy option for the treatment of dry age-related macular degeneration and Stargardt disease, for which there is currently no treatment. The drug has now been granted orphan drug designation for the treatment of Stargardt disease by the European Medicines Agency.

Other uses

Lipofuscin quantification is used for age determination in various crustaceans such as lobsters and spiny lobsters.[24][25] Since these animals lack bony parts, they cannot be aged in the same way as bony fish, in which annual increments in the ear-bones or otoliths are commonly used. Age determination of fish and shellfish is a fundamental step in generating basic biological data such as growth curves, and is needed for many stock assessment methods. Several studies have indicated that quantifying the amount of lipofuscin present in the eye-stalks of various crustaceans can give an index of their age. This method has not yet been widely applied in fisheries management mainly due to problems in relating lipofuscin levels in wild-caught animals with accumulation curves derived from aquarium-reared animals.

See also

References

  1. ^ a b Alberts, Daniel Albert (2012). Dorland's illustrated medical dictionary (32nd ed.). Philadelphia, PA: Saunders/Elsevier. p. 1062. ISBN 978-1-4160-6257-8.
  2. ^ "Medical Definition of LIPOFUSCIN". www.merriam-webster.com.
  3. ^ Young B, Lowe JS, Stevens A, Heath JW. Wheater's Functional Histology: A Text and Atlas. 6th ed. Elsevier
  4. ^ a b c Chris Gaugler, "Lipofuscin Archived 2007-07-15 at the Wayback Machine", Stanislaus Journal of Biochemical Reviews May 1997
  5. ^ Double, KL; Dedov, VN; Fedorow, H; Kettle, E; Halliday, GM; Garner, B; Brunk, UT (June 2008). "The comparative biology of neuromelanin and lipofuscin in the human brain". Cellular and Molecular Life Sciences. 65 (11): 1669–82. doi:10.1007/s00018-008-7581-9. PMID 18278576. S2CID 6833509.
  6. ^ "lipochrome", The Free Dictionary, retrieved 2021-02-18
  7. ^ Katz, ML; Rice, LM; Gao, CL (1999). "Reversible accumulation of lipofuscin-like inclusions in the retinal pigment epithelium". Investigative Ophthalmology & Visual Science. 40 (1): 175–181. PMID 9888441.
  8. ^ Terman, Alexei; Brunk, Ulf T. (1999). "Is Lipofuscin Eliminated from Cells?". Investigative Ophthalmology and Visual Science. 40 (10): 2463–2464. PMID 10476822.
  9. ^ Davies, Sallyanne; Ellis, Steven (1999). "Lipofuscin Turnover". Investigative Ophthalmology and Visual Science. 40 (8): 1887–1888. PMID 10393067.
  10. ^ Terman, A, Brunk, UT (1998). "On the degradability and exocytosis of ceroid/lipofuscin in cultured rat cardiac myocytes". Mech Ageing Dev. 100 (2): 145–156. doi:10.1016/S0047-6374(97)00129-2. PMID 9541135. S2CID 34448638.
  11. ^ Terman, A; Brunk, UT (1998). "Ceroid/lipofuscin formation in cultured human fibroblasts: the role of oxidative stress and lysosomal proteolysis". Mech Ageing Dev. 104 (3): 277–291. doi:10.1016/s0047-6374(98)00073-6. PMID 9818731. S2CID 44822239.
  12. ^ Elleder, M; Drahota, Z; Lisá, V; Mares, V; Mandys, V; Müller, J; Palmer, DN (1995). "Tissue culture loading test with storage granules from animal models of neuronal ceroid-lipofuscinosis (Batten disease): testing their lysosomal degradability by normal and Batten cells". Am J Med Genet. 57 (2): 213–221. doi:10.1002/ajmg.1320570220. PMID 7668332.
  13. ^ Weng J, Mata NL, Azarian SM, Tzekov RT, Birch DG, Travis GH (July 1999). "Insights into the function of Rim protein in photoreceptors and etiology of Stargardt's disease from the phenotype in abcr knockout mice". Cell. 98 (1): 13–23. doi:10.1016/S0092-8674(00)80602-9. PMID 10412977. S2CID 18605680.
  14. ^ Maeda A, Maeda T, Golczak M, Palczewski K (September 2008). "Retinopathy in mice induced by disrupted all-trans-retinal clearance". The Journal of Biological Chemistry. 283 (39): 26684–93. doi:10.1074/jbc.M804505200. PMC 2546559. PMID 18658157.
  15. ^ John Lacey, "Harvard Medical signs agreement with Merck to develop potential therapy for macular degeneration", 23-May-2006
  16. ^ Joakim Allaire; François Maltais; Pierre LeBlanc; Pierre-Michel Simard; François Whittom; Jean-François Doyon; Clermont Simard; Jean Jobin (2002). "Lipofuscin accumulation in the vastus lateralis muscle in patients with chronic obstructive pulmonary disease". Muscle and Nerve. 25 (3): 383–389. doi:10.1002/mus.10039. PMID 11870715. S2CID 22309073.
  17. ^ Kakimoto, Yu; Okada, Chisa; Kawabe, Noboru; Sasaki, Ayumi; Tsukamoto, Hideo; Nagao, Ryoko; Osawa, Motoki (2019). "Myocardial lipofuscin accumulation in ageing and sudden cardiac death". Scientific Reports. 9 (1): 3304. Bibcode:2019NatSR...9.3304K. doi:10.1038/s41598-019-40250-0. ISSN 2045-2322. PMC 6397159. PMID 30824797.
  18. ^ Paula-Barbosa, M.; et al. (1991). "The effects of Piracetam on lipofuscin of the rat cerebellar and hippocampa; neurons after long-term alcohol treatment and withdrawal". Alcoholism: Clinical and Experimental Research. 15 (5): 834–838. doi:10.1111/j.1530-0277.1991.tb00610.x. PMID 1755517.
  19. ^ Roy, D; Pathak, DN; Singh, R (1983). "Effect of centrophenoxine on the antioxidative enzymes in various regions of the aging rat brain". Exp Gerontol. 18 (3): 185–97. doi:10.1016/0531-5565(83)90031-1. PMID 6416880. S2CID 29129359.
  20. ^ Amenta F, Ferrante F, et al., Reduced lipofuscin accumulation in senescent rat brain by long-term acetyl-L-carnitine treatment. Arch Gerontol Geriatr. 1989 Sep-Oct;9(2):147-53.
  21. ^ Huang, SZ; Luo, YJ; Wang, L; Cai, KY (Jan 2005). "Effect of ginkgo biloba extract on livers in aged rats". World J Gastroenterol. 11 (1): 132–5. doi:10.3748/wjg.v11.i1.132. PMC 4205372. PMID 15609412.
  22. ^ Shen, Li-Rong; Parnell, Laurence D.; Ordovas, Jose M.; Lai, Chao-Qiang (January 2013). "Curcumin and aging". BioFactors (Oxford, England). 39 (1): 133–140. doi:10.1002/biof.1086. ISSN 1872-8081. PMID 23325575. S2CID 39360837.
  23. ^ Julien, S; Schraermeyer, U (Oct 2012). "Lipofuscin can be removed from the retinal pigment epithelium of monkeys". Neurobiol Aging. 33 (10): 2390–7. doi:10.1016/j.neurobiolaging.2011.12.009. PMID 22244091. S2CID 22829613.
  24. ^ Ingebrigt Uglem, Mark Belchier & Terje Svåsand (2005). "Age determination of European lobsters (Homarus gammarus L.) by histological quantification of lipofuscin". Journal of Crustacean Biology. 25 (1): 95–99. doi:10.1651/c-2448. JSTOR 1549930.
  25. ^ Kerry E. Maxwell; Thomas R. Matthews; Matt R. J. Sheehy; Rodney D. Bertelsen; Charles D. Derby (2007). "Neurolipofuscin is a measure of age in Panulirus argus, the Caribbean spiny lobster, in Florida". The Biological Bulletin. 213 (1): 55–66. doi:10.2307/25066618. JSTOR 25066618. PMID 17679720. S2CID 8522101.

20. Young B, Lowe JS, Stevens A, Heath JW. Wheater's Functional Histology: A Text and Atlas. 6th ed. Elsevier

External links for general reviews

This article is copied from an article on Wikipedia® - the free encyclopedia created and edited by its online user community. The text was not checked or edited by anyone on our staff. Although the vast majority of Wikipedia® encyclopedia articles provide accurate and timely information, please do not assume the accuracy of any particular article. This article is distributed under the terms of GNU Free Documentation License.

Copyright © 2003-2025 Farlex, Inc Disclaimer
All content on this website, including dictionary, thesaurus, literature, geography, and other reference data is for informational purposes only. This information should not be considered complete, up to date, and is not intended to be used in place of a visit, consultation, or advice of a legal, medical, or any other professional.