Wikipedia

Calcaneus

Also found in: Dictionary, Medical, Encyclopedia.
(redirected from heel bone)
Calcaneus
Subtalar Joint.PNG
The calcaneus forms the bony part of the heel. It forms a joint with the talus bone, the subtalar joint.
Calcaneus animation01.gif
Bones of the foot, with the calcaneus shown in red
Details
Identifiers
LatinCalcaneus, Calcaneum, Os calcis
MeSHD002111
TA98A02.5.11.001
TA21468
FMA24496
Anatomical terms of bone

In humans and many other primates, the calcaneus (/kælˈkniəs/; from the Latin calcaneus or calcaneum, meaning heel[1]) or heel bone is a bone of the tarsus of the foot which constitutes the heel. In some other animals, it is the point of the hock.

Structure

In humans, the calcaneus is the largest of the tarsal bones and the largest bone of the foot. The talus bone, calcaneus, and navicular bone are considered the proximal row of tarsal bones.[2] In the calcaneus, several important structures can be distinguished:[2]

The half of the bone closest to the heel is the calcaneal tuberosity. On its lower edge on either side are its lateral and medial processes (serving as the origins of the abductor hallucis and abductor digiti minimi). The Achilles tendon is inserted into a roughened area on its superior side, the cuboid bone articulates with its anterior side, and on its superior side are three articular surfaces for the articulation with the talus bone. Between these superior articulations and the equivalents on the talus is the tarsal sinus (a canal occupied by the interosseous talocalcaneal ligament). At the upper and forepart of the medial surface of the calcaneus, below the middle talar facet, there is a horizontal eminence, the talar shelf (also sustentaculum tali), which gives attachment to the plantar calcaneonavicular (spring) ligament, tibiocalcaneal ligament, and medial talocalcaneal ligament. This eminence is concave above, and articulates with the middle calcaneal articular surface of the talus; below, it is grooved for the tendon of the flexor hallucis longus; its anterior margin gives attachment to the plantar calcaneonavicular ligament, and its medial margin to a part of the deltoid ligament of the ankle-joint.

On the lateral side is commonly a tubercle called the calcaneal tubercle (or trochlear process). This is a raised projection located between the tendons of the peroneus longus and brevis. It separates the two oblique grooves of the lateral surface of the calcaneus (for the tendons of the peroneal muscles).

Its chief anatomical significance is as a point of divergence of the previously common pathway shared by the distal tendons of peroneus longus and peroneus brevis en route to their distinct respective attachment sites. [2]

The calcaneus is part of two joints: the proximal intertarsal joint and the talocalcaneal joint. The point of the calcaneus is covered by the calcanean bursa.

Development

In the calcaneus, an ossification center, is developed during the 4th7th week of fetal development. [2]

Function

Three muscles insert on the calcaneus: the gastrocnemius, soleus, and plantaris. These muscles are part of the posterior compartment of the leg and aid in walking, running and jumping. Their specific functions include plantarflexion of the foot, flexion of the knee, and steadying the leg on the ankle during standing. The calcaneus also serves as origin for several short muscles that run along the sole of the foot and control the toes.

Muscle attachments (seen from above)
Muscle attachments (seen from below)
Muscle Direction Attachment[3]
Gastrocnemius Insertion Calcaneal tubercle through the achilles tendon
Soleus Insertion Calcaneal tubercle through the achilles tendon
Plantaris Insertion Calcaneal tubercle either directly or through the achilles tendon
Extensor digitorum brevis Origin Dorsal side of calcaneus
Abductor hallucis Origin Medial process of calcaneus
Extensor hallucis brevis Origin Dorsal side of calcaneus
Abductor digiti minimi Origin Calcaneal tubercle
Flexor digitorum brevis Origin Calcaneal tubercle
Quadratus plantae Origin Lateral and medial processes of calcaneus

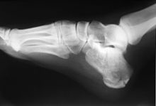
Clinical significance

Calcaneus fracture X-ray

Normally the tibia sits vertically above the calcaneus (pes rectus). If the calcaneal axis between these two bones is turned medially the foot is in an everted position (pes valgus), and if it is turned laterally the foot is in an inverted position (pes varus).[4]

Disease

The talar shelf is typically involved in subtalar or talocalcaneal tarsal coalition.

See also

  • Calcar
  • Bohler's angle
  • Sanders classification

Additional images

Notes

  1. ^ Mosby’s Medical, Nursing and Allied Health Dictionary, Fourth Edition, Mosby-Year Book Inc., 1994, p. 242
  2. ^ a b c d Platzer (2004), p 216
  3. ^ Bojsen-Møller, Finn; Simonsen, Erik B.; Tranum-Jensen, Jørgen (2001). Bevægeapparatets anatomi [Anatomy of the Locomotive Apparatus] (in Danish) (12th ed.). pp. 364–367. ISBN 978-87-628-0307-7.
  4. ^ Thieme Atlas of Anatomy (2006), p 410

References

  • Platzer, Werner (2004). Color Atlas of Human Anatomy, Vol. 1: Locomotor System (5th ed.). Thieme. ISBN 3-13-533305-1.
  • Thieme Atlas of Anatomy: General Anatomy and Musculoskeletal System. Thieme. 2006. ISBN 1-58890-419-9.
  • Saladin, Kenneth (2012). Anatomy and Physiology, The Unity of Form and Function. McGraw Hill. pp. 270–271. ISBN 978-0-07-337825-1.
  • "Calcaneus (Heel Bone) Fractures". American Academy of Orthopaedic Surgeons. Retrieved 13 Dec 2012.

External links

This article is copied from an article on Wikipedia® - the free encyclopedia created and edited by its online user community. The text was not checked or edited by anyone on our staff. Although the vast majority of Wikipedia® encyclopedia articles provide accurate and timely information, please do not assume the accuracy of any particular article. This article is distributed under the terms of GNU Free Documentation License.

Copyright © 2003-2025 Farlex, Inc Disclaimer
All content on this website, including dictionary, thesaurus, literature, geography, and other reference data is for informational purposes only. This information should not be considered complete, up to date, and is not intended to be used in place of a visit, consultation, or advice of a legal, medical, or any other professional.