Wikipedia

Geophagia

Also found in: Dictionary, Medical, Encyclopedia.
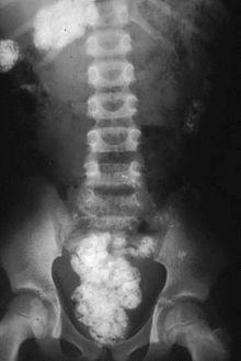
The silica in the soil that has been eaten by a woman shows up as white on this plain X-ray.

Geophagia (/ˌəˈf(i)ə/), also known as geophagy (/iˈɒfəi/),[1] is the intentional[2] practice of eating earth or soil-like substances such as clay, chalk, or termite mounds. It occurs in many non-human animals and has been documented in more than 100 primate species.[3] Geophagy also occurs in humans and is most commonly reported among children and pregnant women.[4] Human geophagia is a form of pica – the craving and purposive consumption of non-food items – and is classified as an eating disorder in the Diagnostic and Statistical Manual of Mental Disorders (DSM) if not socially or culturally appropriate.[5] Although its etiology remains unknown, geophagy has many potential adaptive health benefits as well as negative sequelae.[4][6]

Humans

Anthropological and historical evidence

Evidence for the likely origin of geophagy was found in the remains of early humans in Africa:

The oldest evidence of geophagy practised by humans comes from the prehistoric site at Kalambo Falls on the border between Zambia and Tanzania (Root-Bernstein & Root-Bernstein, 2000). Here, a calcium-rich white clay was found alongside the bones of Homo habilis (the immediate predecessor of Homo sapiens).

— Peter Abrahams, Geophagy and the Involuntary Ingestion of Soil[7]:446

Geophagia is nearly universal around the world in tribal and traditional rural societies (although apparently it has not been documented in Japan or Korea).[7] In the ancient world, several writers noted the phenomenon of geophagia. Pliny is said to have noted the ingestion of soil on Lemnos, an island of Greece, and the use of the soils from this island was noted until the 14th century.[7][8] The textbook of Hippocrates (460–377 BCE) mentions geophagia, and the famous medical textbook titled De Medicina edited by A. Cornelius Celsus (14–37 CE) seems to link anaemia to geophagia.[8]

A five-year-old girl in Peru with a desire to eat earth (geophagia). Wood engraving by E. Riou, 186-.

Early explorers in the Americas noted the existence of geophagy amongst Native Americans, including Gabriel Soares de Sousa, who in 1587 reported a tribe in Brazil using it in suicide,[7] and Alexander von Humboldt, who said that a tribe called the Otomacs ate large amounts of soil.[8] In Africa, David Livingstone wrote about slaves eating soil in Zanzibar,[8] and it is also thought that large numbers of slaves brought with them soil-eating practices when they were shipped to the New World as part of the transatlantic slave trade.[7] Slaves who practised geophagia were nicknamed "clay-eaters" because they were known to consume clay, as well as spices, ash, chalk, grass, plaster, paint, and starch.[9]

In more recent times, according to Dixie's Forgotten People: the South's Poor Whites, geophagia was common among poor whites in the Southeastern United States in the 19th and early 20th centuries, and was often ridiculed in popular literature. The literature also states, "Many men believed that eating clay increased sexual prowess, and some females claimed that eating clay helped pregnant women to have an easy delivery."[10] Geophagia among Southerners may have been caused by the high prevalence of hookworm disease, of which the desire to consume soil is a symptom.[11] Geophagia has become less prevalent as rural Americans assimilate into urban culture.[9] However, cooked, baked, and processed dirt and clay are sold in health food stores and rural flea markets in the American South.[12]

Contemporary practices

Several different rocks of clay-like material being sold at a local market in Kabwe, Zambia. These are usually purchased and consumed by pregnant women.

In Africa, kaolin, sometimes known as kalaba (in Gabon[13] and Cameroon[14]), calaba, and calabachop (in Equatorial Guinea), is eaten for pleasure or to suppress hunger.[14] Kaolin for human consumption is sold at most markets in Cameroon and is often flavoured with spices such as black pepper and cardamom.[15] Consumption is greatest among women, especially during pregnancy.[16][17] Another example of geophagia was reported in Mangaung, Free State Province in South Africa, where the practice was geochemically investigated.[18]

Haitian dirt biscuits being prepared

In Haiti, poor people are known to eat mud biscuits made from soil, salt, and vegetable shortening. These biscuits hold minimal nutritional value, but manage to keep the poor alive.[19] However, long-term consumption of the biscuits is reported to cause stomach pains and malnutrition, and is not recommended by doctors.[20]

Bentonite clay is available worldwide as a digestive aid; kaolin is also widely used as a digestive aid and as the base for some medicines. Attapulgite, another type of clay, is an active ingredient in many anti-diarrheal medicines.[9]

Animals

Geophagia is widespread in the animal kingdom. Galen, the Greek philosopher and physician, was the first to record the use of clay by sick or injured animals in the second century AD. This type of geophagia has been documented in "many species of mammals, birds, reptiles, butterflies and isopods, especially among herbivores".[21]

Birds

Parrots eating earth

Many species of South American parrots have been observed at clay licks,[22] and sulphur-crested cockatoos have been observed ingesting clays in Papua New Guinea.[23]

Analysis of soils consumed by wild birds show that they often prefer soils with high clay content, usually with the smectite clay families being well represented.[22]

The preference for certain types of clay or soil can lead to unusual feeding behaviour. For example, Peruvian Amazon rainforest parrots congregate not just at one particular bend of the Manu River but at one specific layer of soil which runs hundreds of metres horizontally along that bend. The parrots avoid eating the substrate in layers one metre above or below the preferred layer. These parrots regularly eat seeds and unripe fruits containing alkaloids and other toxins that render the seeds and fruits bitter and even lethal. Because many of these chemicals become positively charged in the acidic stomach, they bind to clay minerals which have negatively charged cation-exchange sites, and are thereby rendered safe. Their preferred soils have a much higher cation-exchange capacity than the adjacent, rejected layers of soils because they are rich in the minerals smectite, kaolin, and mica. The preferred soils surpass the pure mineral kaolinate and surpass or approach pure bentonite in their capacity to bind quinine and tannic acid.[21]

In vitro and in vivo tests of these soils and many others from southeastern Peru indicate that they also release nutritionally important quantities of minerals such as calcium and sodium. In the Manu River example cited above, the preferred soil bands had much higher levels of sodium than those that were not chosen. Repeated studies have shown that the soils consumed most commonly by parrots in South America have higher sodium contents than those that are not consumed.[24][25][22][26]

It is unclear which factor is driving avian geophagy.[27] However, evidence is mounting that sodium is the most important driver among parrots in southeastern Peru. Parrots are known to eat toxic foods globally, but geophagy is concentrated in very specific regions.[28] Researchers Lee et al. show that parrot geophagy in South America is positively correlated to a significant degree with distance from the ocean. This suggests that overall lack of sodium in the ecosystem, not variation in food toxicity, is a better predictor of the spatial distribution of geophagy. This work, coupled with the recent findings of consistently high sodium levels in consumed soils,[24][25][22][26] make it highly likely that sodium is the primary driver of avian geophagy among parrots (and possibly other taxa) in the western Amazon Basin. This supplemental nutrients hypothesis is further supported by peak geophagy occurring during the parrots' breeding season.[29]

Primates

There are several hypotheses about the importance of geophagia in bats and primates.[7]:436[30] Chimpanzees in Kibale National Park, Uganda, have been observed to consume soil rich in kaolinite clay shortly before or after consuming plants including Trichilia rubescens, which possesses antimalarial properties in the laboratory.[31]

Bats

There is debate over whether geophagia in bats is primarily for nutritional supplementation or detoxification. It is known that some species of bats regularly visit mineral or salt licks to increase mineral consumption. However, Voigt et al. demonstrated that both mineral-deficient and healthy bats visit salt licks at the same rate.[32] Therefore, mineral supplementation is unlikely to be the primary reason for geophagia in bats. Additionally, bat presence at salt licks increases during periods of high energy demand.[32] Voigt et al. concluded that the primary purpose for bat presence at salt licks is for detoxification purposes, compensating for the increased consumption of toxic fruit and seeds.[32] This was shown to be especially evident in lactating and pregnant bats, as their food intake increases to meet higher energy demands.

Impact on health

Clay minerals have been reported to have beneficial microbiological effects, such as protecting the stomach against toxins, parasites, and pathogens.[33][34] Humans are not able to synthesize vitamin B12 (cobalamin), so geophagia may be a behavioral adaption to obtain it from bacteria in the soil.[35] Mineral content in soils may vary by region, but many contain high levels of calcium, copper, magnesium, iron, and zinc, minerals that are critical for developing fetuses which can cause metallic, soil, or chewing ice cravings in pregnant women. To the extent that these cravings, and subsequent mineral consumption (as well as in the case of cravings for ice, or other cold neck vasoconstricting food which aid in increasing brain oxygen levels by restricting neck veins) are therapeutically effective decreasing infant mortality, those genetic predispositions and the associated environmental triggers, are likely to be found in the infant as well. Likewise, multigenerationally impoverished villages or other homogenous socioeconomic closed genetic communities are more likely to have rewarded gene expression of soil or clay consumption cravings, by increasing the likelihood of survival through multiple pregnancies for both sexes.[34][36]

There are obvious health risks in the consumption of soil that is contaminated by animal or human feces; in particular, helminth eggs, such as Ascaris, which can stay viable in the soil for years, can lead to helminth infections.[37][38] Tetanus poses a further risk.[37] Lead poisoning is also associated with soil ingestion,[39] as well as health risks associated with zinc exposure can be problematic among people who eat soils on a regular basis.[18] Gestational geophagia has been associated with various homeostatic disruptions and oxidative damage.[40]

See also

  • Medicinal clay includes internal use.
  • Ampo (snack)

References

  1. ^ Ziegler, J. (1997). "Geophagia: a vestige of paleonutrition?". Tropical Medicine and International Health. 2 (7): 609–611. doi:10.1046/j.1365-3156.1997.d01-359.x. PMID 9270727. S2CID 71822543.
  2. ^ Fack, Vinciane, Shanee, Sam, Drubbel, Regine Vercauteren, Vercauteren, Martine, Meunier, Helene. Geophagy in the yellow-tailed woolly monkey (Lagothrix flavicauda) at La Esperanza, Peru: Site characterization and soil composition. Primates. 2020;61(3):507-518. doi:10.1007/s10329-020-00802-9.
  3. ^ Pebsworth, Paula A.; Huffman, Michael A.; Lambert, Joanna E.; Young, Sera L. (January 2019). "Geophagy among nonhuman primates: A systematic review of current knowledge and suggestions for future directions". American Journal of Physical Anthropology. 168 (S67): 164–194. doi:10.1002/ajpa.23724. ISSN 0002-9483. PMID 30508222.
  4. ^ a b Young, Sera L. (2012, 2011). Craving earth : understanding pica : the urge to eat clay, starch, ice, and chalk (Pbk. ed.). New York: Columbia University Press. ISBN 978-0-231-14609-8. OCLC 806349461.
  5. ^ Diagnostic and statistical manual of mental disorders : DSM-5. American Psychiatric Association., American Psychiatric Association. DSM-5 Task Force. (5th ed.). Arlington, VA: American Psychiatric Association. 2013. ISBN 978-0-89042-554-1. OCLC 830807378.
  6. ^ Young, Sera L.; Miller, Joshua D. (February 2019). "Medicine Beneath Your Feet: A Biocultural Examination of the Risks and Benefits of Geophagy". Clays and Clay Minerals. 67 (1): 81–90. Bibcode:2019CCM....67...81Y. doi:10.1007/s42860-018-0004-6. ISSN 0009-8604. S2CID 132319907.
  7. ^ a b c d e f Abrahams PW (2013). "Geophagy and the Involuntary Ingestion of Soil". In Selinus O (ed.). Essentials of Medical Geology. Springer. pp. 433–454. doi:10.1007/978-94-007-4375-5_18. ISBN 978-94-007-4374-8.
  8. ^ a b c d Woywodt, A; Kiss, A (2002). "Geophagia: the history of earth-eating". Journal of the Royal Society of Medicine. 95 (3): 143–6. doi:10.1258/jrsm.95.3.143. PMC 1279487. PMID 11872770.
  9. ^ a b c Henry J, Kwong AM (2003). "Why is geophagy treated like dirt?". Deviant Behavior. 24 (4): 353–71. doi:10.1080/713840222. S2CID 144401343.
  10. ^ Flynt, Wayne (2004). Dixie's forgotten people: the South's poor whites. Indiana University Press. p. 40. ISBN 978-0-253-34513-4.
  11. ^ Schmidt GD, Roberts LS (2009). "Nematodes: Trichinellida and Dioctophymatida, Enoplean Parasites". In Janovy, John Jr. (ed.). Foundations of Parasitology (Eighth ed.). McGrawHill. p. 425. ISBN 978-0-07-302827-9.
  12. ^ ABC News, "Experts claim habit of eating dirt may be beneficial for some" Archived 2012-09-30 at the Wayback Machine, October 4, 2005 (accessed 17 December 2009)
  13. ^ Karine Boucher, Suzanne Lafage. "Le lexique français du Gabon: K." Le Français en Afrique: Revue du Réseau des Observatoires du Français Contemporain en Afrique. 2000.
  14. ^ a b Franklin Kamtche. "Balengou : autour des mines." Archived March 4, 2012, at the Wayback Machine (Balengou: around the mines) Le Jour. 12 January 2010. (in French)
  15. ^ "The people who can't stop eating dirt". BBC News. 16 June 2016.
  16. ^ Callahan GN (2003). "Eating dirt". Emerging Infect. Dis. 9 (8): 1016–21. doi:10.3201/eid0908.ad0908. PMC 3020602. PMID 12971372.
  17. ^ "Why Kenyan women crave stones". 2008-09-18. Retrieved 2019-03-16.
  18. ^ a b Ekosse, Georges-Ivo E.; Ngole-Jeme, Veronica M.; Diko, Makia L. (2017-05-25). "Environmental Geochemistry of Geophagic Materials from Free State Province in South Africa". Open Geosciences. 9 (1): 9. Bibcode:2017OGeo....9....9E. doi:10.1515/geo-2017-0009. ISSN 2391-5447.
  19. ^ Schmidt, Benno; Ayer, Ara, eds. (22 March 2009). "Dirt Poor Haitians Eat Mud Cookies To Survive". Huffington Post. Retrieved 9 August 2015.
  20. ^ Jonathan M. Katz. "Poor Haitians Resort to Eating Dirt". National Geographic. Archived from the original on 14 February 2010. Retrieved 2015-03-21.
  21. ^ a b Diamond JM (1999). "Evolutionary biology. Dirty eating for healthy living". Nature. 400 (6740): 120–1. Bibcode:1999Natur.400..120D. doi:10.1038/22014. PMID 10408435. S2CID 4404459.
  22. ^ a b c d Brightsmith DJ, Taylor J, Phillips TD (2008). "The roles of soil characteristics and toxin adsorption in avian geophagy". Biotropica. 40 (6): 766–74. doi:10.1111/j.1744-7429.2008.00429.x.
  23. ^ Symes CT, Hughes, JC, Mack AL, Marsden SJ (2006). "Geophagy in birds of Crater Mountain wildlife management area, Papua New Guinea" (PDF). Journal of Zoology. 268 (1): 87–96. doi:10.1111/j.1469-7998.2005.00002.x.
  24. ^ a b Emmons, Louise H.; Stark, Nellie M. (1979-01-01). "Elemental Composition of a Natural Mineral Lick in Amazonia". Biotropica. 11 (4): 311–313. doi:10.2307/2387925. JSTOR 2387925.
  25. ^ a b Powell, Luke L.; Powell, Thomas U.; Powell, George V. N.; Brightsmith, Donald J. (2009-05-01). "Parrots Take it with a Grain of Salt: Available Sodium Content May Drive Collpa (Clay Lick) Selection in Southeastern Peru". Biotropica. 41 (3): 279–282. doi:10.1111/j.1744-7429.2009.00514.x. ISSN 1744-7429.
  26. ^ a b Brightsmith, Donald J.; Muñoz-Najar, Romina Aramburú (2004-12-01). "Avian Geophagy and Soil Characteristics in Southeastern Peru". Biotropica. 36 (4): 534–543. doi:10.1111/j.1744-7429.2004.tb00348.x. ISSN 1744-7429.
  27. ^ Brightsmith, Donald J.; Taylor, John; Phillips, Timothy D. (2008-11-01). "The Roles of Soil Characteristics and Toxin Adsorption in Avian Geophagy". Biotropica. 40 (6): 766–774. doi:10.1111/j.1744-7429.2008.00429.x. ISSN 1744-7429.
  28. ^ Lee, Alan T. K.; Kumar, Sunil; Brightsmith, Donald J.; Marsden, Stuart J. (2010-06-01). "Parrot claylick distribution in South America: do patterns of "where" help answer the question "why"?". Ecography. 33 (3): 503–513. doi:10.1111/j.1600-0587.2009.05878.x. ISSN 1600-0587.
  29. ^ Brightsmith, D. J.; Hobson, E. A.; Martinez, G. (2018). "Food availability and breeding season as predictors of geophagy in Amazonian parrots". Ibis. 160 (1): 101–111. doi:10.1111/ibi.12515.
  30. ^ Krishnamani R, Mahaney WC (2000). "Geophagy among primates: adaptive significance and ecological consequences" (PDF). Animal Behaviour. 59 (5): 899–915. doi:10.1006/anbe.1999.1376. PMID 10860518. S2CID 43702331.
  31. ^ Klein N, Fröhlich F, Krief S (2008). "Geophagy: soil consumption enhances the bioactivities of plants eaten by chimpanzees". Naturwissenschaften. 95 (4): 325–31. Bibcode:2008NW.....95..325K. doi:10.1007/s00114-007-0333-0. PMID 18188538. S2CID 3181001.
  32. ^ a b c Voigt CC, Capps KA, Dechmann DK, Michener RH, Kunz TH (2008). "Nutrition or Detoxification: Why Bats Visit Mineral Licks of the Amazonian Rainforest". PLOS ONE. 3 (4): e2011. Bibcode:2008PLoSO...3.2011V. doi:10.1371/journal.pone.0002011. PMC 2292638. PMID 18431492.
  33. ^ Williams LB, Haydel SE (2010). "Evaluation of the medicinal use of clay minerals as antibacterial agents". Int Geol Rev. 52 (7/8): 745–70. Bibcode:2010IGRv...52..745W. doi:10.1080/00206811003679737. PMC 2904249. PMID 20640226.
  34. ^ a b Lallanilla, Marc, ed. (3 October 2005). "Eating Dirt: It Might Be Good for You". ABC News. Retrieved 9 August 2015.
  35. ^ Henry JM, Cring FD (2012). "Geophagy An Anthropological Perspective". In Brevik EC, Burgess LC (eds.). Soils and Human Health. CRC Press. pp. 179–198. doi:10.1201/b13683-12. ISBN 9781439844540.
  36. ^ University of Chicago Press Journals, ed. (4 June 2011). "Eating dirt can be good for the belly, researchers find". ScienceDaily. Retrieved 9 August 2015.
  37. ^ a b Bisi-Johnson MA, Obi CL, Ekosse GE (2010). "Microbiological and health related perspectives of geophagia: an overview". African Journal of Biotechnology. 9 (36): 5784–91.
  38. ^ Brooker SJ, Bundy DAP (2014). "55 - Soil-transmitted Helminths (Geohelminths)", in Manson's Tropical Infectious Diseases (Twenty-Third Edition), edited by Farrar, J et al., W.B. Saunders London, pp. 766–94 ISBN 9780702051012, doi:10.1016/B978-0-7020-5101-2.00056-X
  39. ^ Cook A, Ljung K, Watkins R (2011). "Human Health and the State of the Pedosphere", in Encyclopedia of Environmental Health, edited by Nriagu, J.O. Elsevier, Burlington, pp. 108–15, ISBN 9780444522726. doi:10.1016/B978-0-444-52272-6.00158-6
  40. ^ Agomuo, EN; Amadi, PU; Adumekwe, C (22 January 2019). "Gestational Geophagia Affects Nephrocardiac Integrity, ATP-Driven Proton Pumps, the Renin-Angiotensin-Aldosterone System, and F2-Isoprostane Status". Medical Sciences. 7 (2): 13. doi:10.3390/medsci7020013. PMC 6409520. PMID 30678242.

Further reading

  • Cooper, D. W. (2000). "Clay Eating Parrots". Parrots Magazine. 36.
  • Wiley, Andrea S. (2003). "Geophagy". In Katz, Solomon H. (ed.). Encyclopedia of Food and Culture. 2. New York: Charles Scribner's Sons. pp. 120–121.

External links

This article is copied from an article on Wikipedia® - the free encyclopedia created and edited by its online user community. The text was not checked or edited by anyone on our staff. Although the vast majority of Wikipedia® encyclopedia articles provide accurate and timely information, please do not assume the accuracy of any particular article. This article is distributed under the terms of GNU Free Documentation License.

Copyright © 2003-2025 Farlex, Inc Disclaimer
All content on this website, including dictionary, thesaurus, literature, geography, and other reference data is for informational purposes only. This information should not be considered complete, up to date, and is not intended to be used in place of a visit, consultation, or advice of a legal, medical, or any other professional.