Wikipedia

Fibrocartilage callus

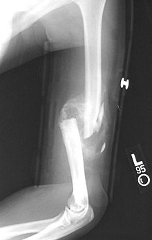
Comminuted midshaft humerus fracture with callus formation.

A fibrocartilage callus is a temporary formation of fibroblasts and chondroblasts which forms at the area of a bone fracture as the bone attempts to heal itself. The cells eventually dissipate and become dormant, lying in the resulting extracellular matrix that is the new bone. The callus is the first sign of union visible on x-rays, usually 3 weeks after the fracture. Callus formation is slower in adults than in children, and in cortical bones than in cancellous bones.[1]

See also

References

  1. ^ Mirhadi, Sara; Ashwood, Neil; Karagkevrekis, Babis (2013). "Factors influencing fracture healing". Trauma. 15 (2): 140–155. CiteSeerX 10.1.1.834.3328. doi:10.1177/1460408613486571. S2CID 73325632.
  • Morgan, Elise F., et al. “Overview of Skeletal Repair (Fracture Healing and Its Assessment).” Methods in Molecular Biology Skeletal Development and Repair, 2014, pp. 13–31. doi:10.1007/978-1-62703-989-5_2

External links

This article is copied from an article on Wikipedia® - the free encyclopedia created and edited by its online user community. The text was not checked or edited by anyone on our staff. Although the vast majority of Wikipedia® encyclopedia articles provide accurate and timely information, please do not assume the accuracy of any particular article. This article is distributed under the terms of GNU Free Documentation License.

Copyright © 2003-2025 Farlex, Inc Disclaimer
All content on this website, including dictionary, thesaurus, literature, geography, and other reference data is for informational purposes only. This information should not be considered complete, up to date, and is not intended to be used in place of a visit, consultation, or advice of a legal, medical, or any other professional.