Wikipedia

Cancer cell

Also found in: Dictionary, Medical, Legal, Financial, Encyclopedia.

Cancer cells are cells that divide relentlessly, forming solid tumors or flooding the blood with abnormal cells. Cell division is a normal process used by the body for growth and repair. A parent cell divides to form two daughter cells, and these daughter cells are used to build new tissue or to replace cells that have died because of aging or damage. Healthy cells stop dividing when there is no longer a need for more daughter cells, but cancer cells continue to produce copies. They are also able to spread from one part of the body to another in a process known as metastasis.[1]

Classification

There are different categories of cancer cell, defined according to the cell type from which they originate.[2]

Histology

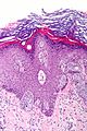
Histological features of normal cells and cancer cells

Cancer cells have distinguishing histological features visible under the microscope. The nucleus is often large and irregular, and the cytoplasm may also display abnormalities.[3]

Nucleus

The shape, size, protein composition, and texture of the nucleus are often altered in malignant cells. The nucleus may acquire grooves, folds or indentations, chromatin may aggregate or disperse, and the nucleolus can become enlarged. In normal cells, the nucleus is often round or ellipsoid in shape, but in cancer cells the outline is often irregular. Different combinations of abnormalities are characteristic of different cancer types, to the extent that nuclear appearance can be used as a marker in cancer diagnostics and staging.[4]

Causes

Cancer cells are created when the genes responsible for regulating cell division are damaged. Carcinogenesis is caused by mutation and epimutation of the genetic material of normal cells, which upsets the normal balance between proliferation and cell death. This results in uncontrolled cell division in the body. The uncontrolled and often rapid proliferation of cells can lead to benign or malignant tumours (cancer). Benign tumors do not spread to other parts of the body or invade other tissues. Malignant tumors can invade other organs, spread to distant locations (metastasis) and become life-threatening.

More than one mutation is necessary for carcinogenesis. In fact, a series of several mutations to certain classes of genes is usually required before a normal cell will transform into a cancer cell.[5]

Damage to DNA can be caused by exposure to radiation, chemicals, and other environmental sources, but mutations also accumulate naturally over time through uncorrected errors in DNA transcription, making age another risk factor. Oncoviruses can cause certain types of cancer, and genetics are also known to play a role.[6]

Stem cell research suggests that excess SP2 protein may turn stem cells into cancer cells.[7] However, a lack of particular co-stimulated molecules that aid in the way antigens react with lymphocytes can impair the natural killer cells' function, ultimately leading to cancer.[8]

Pathology

Cells playing roles in the immune system, such as T-cells, are thought to use a dual receptor system when they determine whether or not to kill sick or damaged human cells. If a cell is under stress, turning into tumors, or infected, molecules including MIC-A and MIC-B are produced so that they can attach to the surface of the cell.[8] These work to help macrophages detect and kill cancer cells.[9]

Discovery

Early evidence of human cancer can be interpreted from Egyptian papers (1538 BCE) and mummified remains.[10] In 2016, a 1.7 million year old osteosarcoma was reported by Edward John Odes (a doctoral student in Anatomical Sciences from Witwatersrand Medical School, South Africa) and colleagues, representing the oldest documented malignant hominin cancer.[11]

The understanding of cancer was significantly advanced during the Renaissance period and in to the Age of Discovery. Sir Rudolf Virchow, a German biologist and politician, studied microscopic pathology, and linked his observations to illness. He is described as "the founder of cellular pathology".[12] In 1845, Virchow and John Hughes Bennett independently observed abnormal increase in white blood cells in patients. Virchow correctly identified the condition as blood disease, and named it leukämie in 1847 (later anglicised to leukemia).[13][14][15] In 1857, he was the first to describe a type of tumour called chordoma that originated from the clivus (at the base of the skull).[16][17]

Telomerase

Cancer cells have unique features that make them "immortal" according to some researchers. The enzyme telomerase is used to extend the cancer cell's life span. While the telomeres of most cells shorten after each division, eventually causing the cell to die, telomerase extends the cell's telomeres. This is a major reason that cancer cells can accumulate over time, creating tumors.

Cancer stem cells and drug resistance

A diagram illustrating the distinction between cancer stem cell targeted and conventional cancer therapies

Scientists have discovered a molecule on the surface of tumors that appears to promote drug resistance—by converting the tumor cells back into a stem cell-like state.

When the tumor cells began to exhibit drug resistance, the cells were simultaneously transforming into a stem cell-like state, which made them impervious to the drugs. It appeared that the treatment itself was driving this transformation by activating a specific molecular pathway. Luckily, several existing drugs, such as Bortezomib for example, can attack this pathway and reverse the cellular transformation, thus ‘re-sensitizing’ the tumor to treatment.[18][19][20]

Treatment

In February 2019, medical scientists announced that iridium attached to albumin, creating a photosensitized molecule, can penetrate cancer cells and, after being irradiated with light (a process called photodynamic therapy), destroy the cancer cells.[21][22]

See also

References

  1. ^ "National Cancer Institute: is this cancer?". 2007-09-17. Retrieved 1 August 2016.
  2. ^ "Histological types of cancer - CRS - Cancer Research Society". www.crs-src.ca. Archived from the original on 2017-08-27. Retrieved 2016-08-02.
  3. ^ Baba, Alecsandru Ioan; Câtoi, Cornel (2007). TUMOR CELL MORPHOLOGY. The Publishing House of the Romanian Academy.
  4. ^ Zink, Daniele; Fische, Andrew H.; Nickerson, Jeffrey A. (1 October 2004). "Nuclear structure in cancer cells". Nature Reviews Cancer. 4 (9): 677–687. doi:10.1038/nrc1430. ISSN 1474-175X. PMID 15343274. S2CID 29052588.
  5. ^ Fearon ER; Vogelstein B (June 1990). "A genetic model for colorectal tumorigenesis". Cell. 61 (5): 759–67. doi:10.1016/0092-8674(90)90186-I. PMID 2188735. S2CID 22975880.
  6. ^ What causes cancer? : Cancer Research UK : CancerHelp UK. Cancerhelp.org.uk (2010-07-15). Retrieved on 2010-12-01.
  7. ^ Too much SP2 protein turns stem cells into 'EVIL TWIN' cancer cells. Sciencedaily.com (2010-10-27). Retrieved on 2010-12-01.
  8. ^ a b "The Innate Immune System: NK Cells". Community College of Baltimore County. Archived from the original on 2010-07-27. Retrieved 2010-12-01.
  9. ^ The Adaptive Immune System: Ways That Antibodies Help to Defend the Body - Antibody-Dependent Cellular Cytotoxicity (ADCC) Archived 2010-07-27 at the Wayback Machine. Student.ccbcmd.edu. Retrieved on 2010-12-01.
  10. ^ David, A. Rosalie; Zimmerman, Michael R. (2010-09-03). "Cancer: an old disease, a new disease or something in between?". Nature Reviews Cancer. 10 (10): 728–733. doi:10.1038/nrc2914. ISSN 1474-175X. PMID 20814420. S2CID 10492262.
  11. ^ Odes, Edward J.; Randolph-Quinney, Patrick S.; Steyn, Maryna; Throckmorton, Zach; Smilg, Jacqueline S.; Zipfel, Bernhard; Augustine, Tanya N.; Beer, Frikkie de; Hoffman, Jakobus W.; Franklin, Ryan D.; Berger, Lee R.; Sciences, School of Anatomical; Witwatersrand, University of the; Africa, South; Institute, Evolutionary Studies; Geosciences, School of; Witwatersrand, University of the; Africa, South; Sciences, School of Anatomical; Witwatersrand, University of the; Africa, South; Institute, Evolutionary Studies; Geosciences, School of; Witwatersrand, University of the; Africa, South; Sciences, School of Forensic and Applied; Lancashire, University of Central; Kingdom, United; Sciences, School of Anatomical; Witwatersrand, University of the; Africa, South; Institute, Evolutionary Studies; Geosciences, School of; Witwatersrand, University of the; Africa, South; Medicine, De Busk College of Osteopathic; University, Lincoln Memorial; Institute, Evolutionary Studies; Geosciences, School of; Witwatersrand, University of the; Africa, South; Sciences, School of Radiation; Witwatersrand, University of the; Africa, South; Radiology, Department of; Hospital, Charlotte Maxeke Academic; Africa, South; Institute, Evolutionary Studies; Geosciences, School of; Witwatersrand, University of the; Africa, South; Palaeosciences, DST/NRF South African Centre of Excellence in; Witwatersrand, University of the; Africa, South; Sciences, School of Anatomical; Witwatersrand, University of the; Africa, South; Section, Radiography/Tomography; (NECSA), South African Nuclear Energy Corporation; Africa, South; Section, Radiography/Tomography; (NECSA), South African Nuclear Energy Corporation; Africa, South; Conservancy, Archaeological and Historical; Institute, Evolutionary Studies; Geosciences, School of; Witwatersrand, University of the; Africa, South; Palaeosciences, DST/NRF South African Centre of Excellence in; Witwatersrand, University of the; Africa, South (2016). "English". South African Journal of Science. 112 (7/8). doi:10.17159/sajs.2016/20150471. ISSN 1996-7489. Archived from the original on 2016-08-01. Retrieved 2016-08-01.
  12. ^ "History of cancer" (PDF). Archived from the original (PDF) on 2012-03-14. Retrieved 2010-11-30.
  13. ^ Degos, L (2001). "John Hughes Bennett, Rudolph Virchow... and Alfred Donné: the first description of leukemia". The Hematology Journal. 2 (1): 1. doi:10.1038/sj/thj/6200090. PMID 11920227.
  14. ^ Kampen, Kim R. (2012). "The discovery and early understanding of leukemia". Leukemia Research. 36 (1): 6–13. doi:10.1016/j.leukres.2011.09.028. PMID 22033191.
  15. ^ Mukherjee, Siddhartha (16 November 2010). The Emperor of All Maladies: A Biography of Cancer. Simon and Schuster. ISBN 978-1-4391-0795-9. Retrieved 6 September 2011.
  16. ^ Hirsch, Edwin F.; Ingals, Mary (1923). "Sacrococcygeal chordoma". JAMA: The Journal of the American Medical Association. 80 (19): 1369. doi:10.1001/jama.1923.02640460019007.
  17. ^ Lopes, Ademar; Rossi, Benedito Mauro; Silveira, Claudio Regis Sampaio; Alves, Antonio Correa (1996). "Chordoma: retrospective analysis of 24 cases". Sao Paulo Medical Journal. 114 (6): 1312–1316. doi:10.1590/S1516-31801996000600006. PMID 9269106.
  18. ^ Cancer stem cells linked to drug resistance
  19. ^ Tumor Cells Become Drug Resistant by Reverting to a Stem Cell-Like State
  20. ^ Laetitia Seguin, Shumei Kato, Aleksandra Franovic, et al., & David A. Cheresh (2014). An integrin β3–KRAS–RalB complex drives tumour stemness and resistance to EGFR inhibition. Nature Cell Biology doi:10.1038/ncb2953
  21. ^ University of Warwick (3 February 2019). "Simply shining light on dinosaur metal compound kills cancer cells". EurekAlert!. Retrieved 3 February 2019.
  22. ^ Zhang, Pingyu; et al. (2019). "Nucleus‐Targeted Organoiridium–Albumin Conjugate for Photodynamic Cancer Therapy". Angewandte Chemie. 58 (8): 2350–2354. doi:10.1002/anie.201813002. PMC 6468315. PMID 30552796.

External links

This article is copied from an article on Wikipedia® - the free encyclopedia created and edited by its online user community. The text was not checked or edited by anyone on our staff. Although the vast majority of Wikipedia® encyclopedia articles provide accurate and timely information, please do not assume the accuracy of any particular article. This article is distributed under the terms of GNU Free Documentation License.

Copyright © 2003-2025 Farlex, Inc Disclaimer
All content on this website, including dictionary, thesaurus, literature, geography, and other reference data is for informational purposes only. This information should not be considered complete, up to date, and is not intended to be used in place of a visit, consultation, or advice of a legal, medical, or any other professional.