Calretinin, also known as calbindin 2 (formerly 29 kDa calbindin), is a calcium-binding protein involved in calcium signaling.[5] In humans, the calretinin protein is encoded by the CALB2 gene.[6][7]
Function
This gene encodes an intracellular calcium-binding protein belonging to the troponin C superfamily. Members of this protein family have six EF-hand domains which bind calcium. This protein plays a role in diverse cellular functions, including message targeting and intracellular calcium buffering.[6]
Calretinin is abundantly expressed in neurons including retina (which gave it the name)[5] and cortical interneurons.[8] Expression was found in different neurons than that of the similar vitamin D-dependent calcium-binding protein, calbindin-28kDa.[5]
Calretinin has an important role as a modulator of neuronal excitability including the induction of long-term potentiation.[9] Loss of expression of calretinin in hippocampal interneurons has been suggested to be relevant in temporal lobe epilepsy.[10]
It is expressed in a number of other locations including hair follicles.[11]
Clinical significance
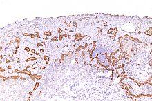
Calretinin is a diagnostic marker for some human diseases, including Hirschsprung disease and some cancers.
Mesothelioma
Using immunohistochemistry, calretinin can be demonstrated in both benign mesothelium and in malignant mesothelioma[12][13] and can be used to help differentiate different lung tumours.[14] Antibodies to calretinin can also be used to distinguish between different types of brain tumour, demonstrating only those with neuronal rather than glial, differentiation.[15] Furthermore, the essential function of calretinin in mesothelioma cell lines has been demonstrated in vitro and may be an interesting target for therapeutical approaches.[16]
Hirschsprung disease
In Hirschsprung disease, calretinin immunohistochemistry offers additional diagnostic value in specimens with inadequate amount of submucosa and rarely seen ganglion cells. The presence of ganglion cells consistently correlated with calretinin-positive thin nerve fibrils in the lamina propria, muscularis mucosae and superficial submucosa. These calretinin-positive thin neurofibrils are absent in the aganglionic segments of bowel and in the areas without ganglion cells from the junction of normal with diseased rectum. Calretinin is strongly expressed in the submucosal and subserosal nerve trunks in the ganglionic segment. No calretinin expression is seen in the nerve trunks in the rest of the aganglionic segment. It has faint expression in the thick nerve trunks from the areas without ganglion cells. Faint positivity of the thick submucosal and subserosal nerves in the absence of ganglion cells and calretinin positive nerve fibrils, is characteristic of the junction of the aganglionic-to-normal rectum.[17]
References
- ^ a b c ENSG00000282830 GRCh38: Ensembl release 89: ENSG00000172137, ENSG00000282830 - Ensembl, May 2017
- ^ a b c GRCm38: Ensembl release 89: ENSMUSG00000003657 - Ensembl, May 2017
- ^ "Human PubMed Reference:". National Center for Biotechnology Information, U.S. National Library of Medicine.
- ^ "Mouse PubMed Reference:". National Center for Biotechnology Information, U.S. National Library of Medicine.
- ^ a b c Rogers JH (1987). "Calretinin: a gene for a novel calcium-binding protein expressed principally in neurons". J Cell Biol. 105 (3): 1343–53. doi:10.1083/jcb.105.3.1343. PMC 2114790. PMID 3654755.
- ^ a b "Entrez Gene: calbindin 2".
- ^ Parmentier M, Passage E, Vassart G, Mattei MG (1991). "The human calbindin D28k (CALB1) and calretinin (CALB2) genes are located at 8q21.3----q22.1 and 16q22----q23, respectively, suggesting a common duplication with the carbonic anhydrase isozyme loci". Cytogenetics and Cell Genetics. 57 (1): 41–3. doi:10.1159/000133111. PMID 1906795.
- ^ Barinka F, Druga R (2010). "Calretinin expression in the mammalian neocortex: a review". Physiol Res. 59 (5): 665–77. PMID 20406030.
- ^ Camp AJ, Wijesinghe R (2009). "Calretinin: modulator of neuronal excitability". Int J Biochem Cell Biol. 41 (11): 2118–21. doi:10.1016/j.biocel.2009.05.007. PMID 19450707.
- ^ Tóth K, Maglóczky Z (2014). "The vulnerability of calretinin-containing hippocampal interneurons to temporal lobe epilepsy". Front Neuroanat. 8: 100. doi:10.3389/fnana.2014.00100. PMC 4179514. PMID 25324731.
- ^ Poblet E, Jimenez F, de Cabo C, Prieto-Martin A, Sánchez-Prieto R (Jun 2005). "The calcium-binding protein calretinin is a marker of the companion cell layer of the human hair follicle". The British Journal of Dermatology. 152 (6): 1316–20. doi:10.1111/j.1365-2133.2005.06603.x. PMID 15948999. S2CID 23551756.
- ^ Saydan N, Salicio V, Cappelli-Gotzos B, Gotzos V (2001). "Expression of calretinin in human mesothelioma cell lines and cell cycle analysis by flow cytometry". Anticancer Research. 21 (1A): 181–8. PMID 11299732.
- ^ Gotzos, V.; Vogt, P.; Celio, M. R. (1996-02-01). "The calcium binding protein calretinin is a selective marker for malignant pleural mesotheliomas of the epithelial type". Pathology, Research and Practice. 192 (2): 137–147. doi:10.1016/S0344-0338(96)80208-1. ISSN 0344-0338. PMID 8692714.
- ^ Marchevsky AM (Mar 2008). "Application of immunohistochemistry to the diagnosis of malignant mesothelioma". Archives of Pathology & Laboratory Medicine. 132 (3): 397–401. doi:10.1043/1543-2165(2008)132[397:AOITTD]2.0.CO;2 (inactive 2021-01-14). PMID 18318582.
- ^ Leong, Anthony S-Y; Cooper, Kumarason; Leong, F Joel W-M (2003). Manual of Diagnostic Cytology (2 ed.). Greenwich Medical Media, Ltd. pp. 45–46. ISBN 978-1-84110-100-2.
- ^ Blum, Walter; Schwaller, Beat (2013-11-01). "Calretinin is essential for mesothelioma cell growth/survival in vitro: a potential new target for malignant mesothelioma therapy?" (PDF). International Journal of Cancer. 133 (9): 2077–2088. doi:10.1002/ijc.28218. ISSN 1097-0215. PMID 23595591. S2CID 25380668.
- ^ Alexandrescu S, Rosenberg H, Tatevian N (2013). "Role of calretinin immunohistochemical stain in evaluation of Hirschsprung disease: an institutional experience". International Journal of Clinical and Experimental Pathology. 6 (12): 2955–61. PMC 3843278. PMID 24294384.
Further reading
- Alaeddini M, Etemad-Moghadam S, Baghaii F (Feb 2008). "Comparative expression of calretinin in selected odontogenic tumours: a possible relationship to histogenesis". Histopathology. 52 (3): 299–304. doi:10.1111/j.1365-2559.2007.02948.x. PMID 18269580. S2CID 205299356.
- Guinard-Samuel V, Bonnard A, De Lagausie P, Philippe-Chomette P, Alberti C, El Ghoneimi A, Peuchmaur M, Berrebi-Binczak D (Oct 2009). "Calretinin immunohistochemistry: a simple and efficient tool to diagnose Hirschsprung disease". Modern Pathology. 22 (10): 1379–84. doi:10.1038/modpathol.2009.110. PMID 19648883. S2CID 643637.
- Seress L, Abrahám H, Czéh B, Fuchs E, Léránth C (2008). "Calretinin expression in hilar mossy cells of the hippocampal dentate gyrus of nonhuman primates and humans". Hippocampus. 18 (4): 425–34. doi:10.1002/hipo.20403. PMID 18189312. S2CID 36785826.
- Zhang H, Bu H, Chen H, Wei B, Liu W, Guo J, Li F, Liao D, Tang Y, Zhang Z (Jan 2008). "Comparison of immunohistochemical markers in the differential diagnosis of adrenocortical tumors: immunohistochemical analysis of adrenocortical tumors". Applied Immunohistochemistry & Molecular Morphology. 16 (1): 32–9. doi:10.1097/PAI.0b013e318032cf56. PMID 18091323. S2CID 10136695.
- Vonlanthen S, Kawecki TJ, Betticher DC, Pfefferli M, Schwaller B (2007). "Heterozygosity of SNP513 in intron 9 of the human calretinin gene (CALB2) is a risk factor for colon cancer". Anticancer Research. 27 (6C): 4279–88. PMID 18214032.
- Barbe L, Lundberg E, Oksvold P, Stenius A, Lewin E, Björling E, Asplund A, Pontén F, Brismar H, Uhlén M, Andersson-Svahn H (Mar 2008). "Toward a confocal subcellular atlas of the human proteome". Molecular & Cellular Proteomics. 7 (3): 499–508. doi:10.1074/mcp.M700325-MCP200. PMID 18029348. S2CID 10810250.
- Lee ES, Leong AS, Kim YS, Lee JH, Kim I, Ahn GH, Kim HS, Chun YK (Mar 2006). "Calretinin, CD34, and alpha-smooth muscle actin in the identification of peritoneal invasive implants of serous borderline tumors of the ovary". Modern Pathology. 19 (3): 364–72. doi:10.1038/modpathol.3800539. PMID 16415795. S2CID 12266907.
- Iio K, Nagasawa Y, Iwatani H, Yamamoto R, Horii A, Okuzaki D, Furumatsu Y, Inohara H, Nojima H, Imai E, Isaka Y, Rakugi H (Mar 2010). "Microarray analysis of tonsils in immunoglobulin A nephropathy patients". Biochemical and Biophysical Research Communications. 393 (4): 565–70. doi:10.1016/j.bbrc.2010.01.120. PMID 20138841.
- DeVilliers P, Liu H, Suggs C, Simmons D, Daly B, Zhang S, Raubenheimer E, Larsson A, Wright T (Feb 2008). "Calretinin expression in the differential diagnosis of human ameloblastoma and keratocystic odontogenic tumor". The American Journal of Surgical Pathology. 32 (2): 256–60. doi:10.1097/PAS.0b013e3181452176. PMID 18223328. S2CID 19045101.
- Portugal R, Oliva E (Mar 2009). "Calretinin: diagnostic utility in the female genital tract". Advances in Anatomic Pathology. 16 (2): 118–24. doi:10.1097/PAP.0b013e31819923ce. PMID 19550372. S2CID 22438395.
- Winn B, Tavares R, Fanion J, Noble L, Gao J, Sabo E, Resnick MB (Mar 2009). "Differentiating the undifferentiated: immunohistochemical profile of medullary carcinoma of the colon with an emphasis on intestinal differentiation". Human Pathology. 40 (3): 398–404. doi:10.1016/j.humpath.2008.08.014. PMC 2657293. PMID 18992917.
- Melotti A, Daga A, Marubbi D, Zunino A, Mutti L, Corte G (2010). "In vitro and in vivo characterization of highly purified human mesothelioma derived cells". BMC Cancer. 10: 54. doi:10.1186/1471-2407-10-54. PMC 2850899. PMID 20175889.
- Häner K, Henzi T, Pfefferli M, Künzli E, Salicio V, Schwaller B (Feb 2010). "A bipartite butyrate-responsive element in the human calretinin (CALB2) promoter acts as a repressor in colon carcinoma cells but not in mesothelioma cells" (PDF). Journal of Cellular Biochemistry. 109 (3): 519–31. doi:10.1002/jcb.22429. PMID 19998412. S2CID 206017499.
- Henzi T, Blum WV, Pfefferli M, Kawecki TJ, Salicio V, Schwaller B (Jun 2009). "SV40-induced expression of calretinin protects mesothelial cells from asbestos cytotoxicity and may be a key factor contributing to mesothelioma pathogenesis". The American Journal of Pathology. 174 (6): 2324–36. doi:10.2353/ajpath.2009.080352. PMC 2684196. PMID 19435792.
- Barinka F, Druga R, Marusic P, Krsek P, Zamecnik J (Jan 2010). "Calretinin immunoreactivity in focal cortical dysplasias and in non-malformed epileptic cortex". Epilepsy Research. 88 (1): 76–86. doi:10.1016/j.eplepsyres.2009.09.021. PMID 19854615. S2CID 22595044.
- Mai KT, Teo I, Al Moghrabi H, Marginean EC, Veinot JP (Aug 2008). "Calretinin and CD34 immunoreactivity of the endometrial stroma in normal endometrium and change of the immunoreactivity in dysfunctional uterine bleeding with evidence of 'disordered endometrial stroma'". Pathology. 40 (5): 493–9. doi:10.1080/00313020802197897. PMID 18604736. S2CID 24627207.
- Massouh M, Wallman MJ, Pourcher E, Parent A (Dec 2008). "The fate of the large striatal interneurons expressing calretinin in Huntington's disease". Neuroscience Research. 62 (4): 216–24. doi:10.1016/j.neures.2008.08.007. PMID 18801393. S2CID 23242064.
- Rougemont AL, Sartelet H, Oligny LL, Bensoussan A, Yazbeck S, Fournet JC (2007). "Accessory liver lobe with mesothelial inclusion cysts in an omphalocele: a new malformative association". Pediatric and Developmental Pathology. 10 (3): 224–8. doi:10.2350/06-08-0148.1. PMID 17535091. S2CID 41971082.
- Clements RJ, McDonough J, Freeman EJ (May 2008). "Distribution of parvalbumin and calretinin immunoreactive interneurons in motor cortex from multiple sclerosis post-mortem tissue". Experimental Brain Research. 187 (3): 459–65. doi:10.1007/s00221-008-1317-9. PMID 18297277. S2CID 18256420.
External links
- calretinin at the US National Library of Medicine Medical Subject Headings (MeSH)
This article incorporates text from the United States National Library of Medicine, which is in the public domain.